Skip to main content

LOK Antibody

Novus Biologicals, part of Bio-Techne | Catalog # NBP2-19368

Novus Biologicals, part of Bio-Techne
Catalog #
Availability
Size / Price
Qty
Loading...
NBP2-19368

Key Product Details

Validated by

Knockout/Knockdown

Species Reactivity

Human

Applications

Knockout Validated, Immunohistochemistry, Immunohistochemistry-Paraffin, Western Blot, Immunocytochemistry/ Immunofluorescence

Label

Unconjugated

Antibody Source

Polyclonal Rabbit IgG

Concentration

Concentrations vary lot to lot. See vial label for concentration. If unlisted please contact technical services.

Product Specifications

Immunogen

Recombinant protein encompassing a sequence within the N-terminus region of human LOK. The exact sequence is proprietary.

Reactivity Notes

Immunogen displays the following percentage of sequence identity for non-tested species: Xenopus laevis (84%), Zebrafish (82%), Xenopus tropicalis (84%).

Clonality

Polyclonal

Host

Rabbit

Isotype

IgG

Theoretical MW

112 kDa.
Disclaimer note: The observed molecular weight of the protein may vary from the listed predicted molecular weight due to post translational modifications, post translation cleavages, relative charges, and other experimental factors.

Description

Novus Biologicals Knockout (KO) Validated Rabbit LOK Antibody (NBP2-19368) is a polyclonal antibody validated for use in IHC, WB and ICC/IF. All Novus Biologicals antibodies are covered by our 100% guarantee.

Scientific Data Images for LOK Antibody

Western Blot: LOK Antibody [NBP2-19368]

Western Blot: LOK Antibody [NBP2-19368]

Western Blot: LOK Antibody [NBP2-19368] - Wild-type (WT) and LOK knockout (KO) HeLa cell extracts (30 ug) were separated by 5% SDS-PAGE, and the membrane was blotted with LOK antibody [N1N2], N-term. HRP-conjugated anti-rabbit IgG antibody was used to detect the primary antibody.
Immunocytochemistry/ Immunofluorescence: LOK Antibody [NBP2-19368]

Immunocytochemistry/ Immunofluorescence: LOK Antibody [NBP2-19368]

Immunocytochemistry/Immunofluorescence: LOK Antibody [NBP2-19368] - Analysis of methanol-fixed A431, using antibody at 1:500 dilution.
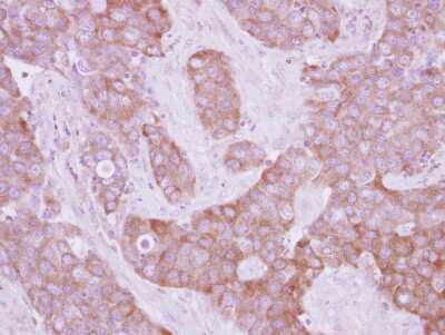
Immunohistochemistry-Paraffin: LOK Antibody [NBP2-19368]

Immunohistochemistry-Paraffin: LOK Antibody [NBP2-19368]

Immunohistochemistry-Paraffin: LOK Antibody [NBP2-19368] - Human breast cancer, using LOK antibody at 1:250 dilution. Antigen Retrieval: Trilogy™ (EDTA based, pH 8.0) buffer, 15min.

Applications for LOK Antibody

Application
Recommended Usage

Immunocytochemistry/ Immunofluorescence

1:100-1:1000

Immunohistochemistry

1:100-1:1000

Immunohistochemistry-Paraffin

1:100-1:1000

Western Blot

1:500-1:3000

Formulation, Preparation, and Storage

Purification

Antigen Affinity-purified

Formulation

PBS, 1% BSA, 20% Glycerol

Preservative

0.01% Thimerosal

Concentration

Concentrations vary lot to lot. See vial label for concentration. If unlisted please contact technical services.

Shipping

The product is shipped with polar packs. Upon receipt, store it immediately at the temperature recommended below.

Stability & Storage

Aliquot and store at -20C or -80C. Avoid freeze-thaw cycles.

Background: LOK

This gene encodes a member of the Ste20 family of serine/threonine protein kinases, and is similar to several known polo-like kinase kinases. The protein can associate with and phosphorylate polo-like kinase 1, and overexpression of a kinase-dead version of the protein interferes with normal cell cycle progression. The kinase can also negatively regulate interleukin 2 expression in T-cells via the mitogen activated protein kinase kinase 1 pathway. [provided by RefSeq]

Alternate Names

EC 2.7.11, EC 2.7.11.1, LOKserine/threonine-protein kinase 10, Lymphocyte-oriented kinase, PRO2729, serine/threonine kinase 10

Gene Symbol

STK10

UniProt

Additional LOK Products

Product Documents for LOK Antibody

Certificate of Analysis

To download a Certificate of Analysis, please enter a lot number in the search box below.

Product Specific Notices for LOK Antibody

This product is for research use only and is not approved for use in humans or in clinical diagnosis. Primary Antibodies are guaranteed for 1 year from date of receipt.

Loading...
Loading...
Loading...
Loading...

⚠ WARNING: This product can expose you to chemicals including mercury, which is known to the State of California to cause reproductive toxicity with developmental effects.  For more information go to www.P65Warnings.ca.gov.