Skip to main content

LMO2 Antibody - BSA Free

Novus Biologicals, part of Bio-Techne | Catalog # NB110-83978

Novus Biologicals, part of Bio-Techne

Key Product Details

Species Reactivity

Validated:

Human, Mouse, Rat, Bovine

Predicted:

Zebrafish (93%). Backed by our 100% Guarantee.

Applications

Immunohistochemistry, Immunohistochemistry-Paraffin, Western Blot, Chromatin Immunoprecipitation (ChIP)

Label

Unconjugated

Antibody Source

Polyclonal Rabbit IgG

Format

BSA Free

Concentration

1 mg/ml

Product Specifications

Immunogen

Synthetic peptide made to an N-terminal portion of the human LMO2 protein (within residues 1-100). [Swiss-Prot# P25791]

Localization

Nuclear (potential)

Clonality

Polyclonal

Host

Rabbit

Isotype

IgG

Description

Novus Biologicals Rabbit LMO2 Antibody - BSA Free (NB110-83978) is a polyclonal antibody validated for use in IHC, WB and ChIP. All Novus Biologicals antibodies are covered by our 100% guarantee.

Scientific Data Images for LMO2 Antibody - BSA Free

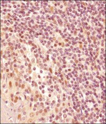
Immunohistochemistry-Paraffin: LMO2 Antibody - BSA Free [NB110-83978]

Immunohistochemistry-Paraffin: LMO2 Antibody - BSA Free [NB110-83978]

Immunohistochemistry-Paraffin: LMO2 Antibody [NB110-83978] - IHC analysis of a formalin fixed and paraffin embedded tissue section of human tonsil using LMO2 antibody NB110-83978 at 1:500 dilution. HRP-labeled secondary antibody and DAB reagent were used for the detection of LMO2 signal and the sections were further counterstained with hematoxylin. This LMO2 antibody generated an expected nuclear staining in a subset of cells in the germinal centers of tonsil section.
Western Blot: LMO2 AntibodyBSA Free [NB110-83978]

Western Blot: LMO2 AntibodyBSA Free [NB110-83978]

Western Blot: LMO2 Antibody [NB110-83978] - Detection of LMO2 in Ramos whole cell lysate using NB110-83978.
Immunohistochemistry-Paraffin: LMO2 Antibody - BSA Free [NB110-83978]

Immunohistochemistry-Paraffin: LMO2 Antibody - BSA Free [NB110-83978]

Immunohistochemistry-Paraffin: LMO2 Antibody [NB110-83978] - IHC analysis of a formalin fixed and paraffin embedded tissue section of human tonsil using LMO2 antibody NB110-83978 at 1:500 dilution. HRP-labeled secondary antibody and DAB reagent were used for the detection of LMO2 signal and the sections were further counterstained with hematoxylin. This LMO2 antibody generated an expected nuclear staining in a subset of cells in the germinal centers of tonsil section.

Applications for LMO2 Antibody - BSA Free

Application
Recommended Usage

Chromatin Immunoprecipitation (ChIP)

1:10-1:500

Immunohistochemistry

1:250 - 1:500

Immunohistochemistry-Paraffin

1:250 - 1:500

Western Blot

0.5 ug/ml
Application Notes
This LMO2 antibody is useful for ChIP and Western blot, where a band is seen at ~24 kDa. In WB, non-specific staining can be seen at higher molecular weights. The observed molecular weight of the protein may vary from the listed predicted molecular weight due to post translational modifications, post translation cleavages, relative charges, and other experimental factors.

Formulation, Preparation, and Storage

Purification

Immunogen affinity purified

Formulation

PBS

Format

BSA Free

Preservative

0.02% Sodium Azide

Concentration

1 mg/ml

Shipping

The product is shipped with polar packs. Upon receipt, store it immediately at the temperature recommended below.

Stability & Storage

Store at 4C short term. Aliquot and store at -20C long term. Avoid freeze-thaw cycles.

Background: LMO2

LMO2 (LIM-only protein 2) is a nuclear transcriptional regulator essential for normal blood cell development and it exerts its effects by mediating protein-protein interactions as well as by nucleating multicomponent transcriptional complexes. LMO2 interacts with LDB1 (LIM domain binding protein 1) through the tandem LIM domains of LMO2 and LID (LIM interaction domain) of LDB1. LMO2 also interacts with bHlH proteins TAL1/SCL, BEX2 and KDM5A, and form complex with TAL1/SCL. It functions with TAL1/SCL in the regulation of RBCs development and with LDB1 to maintain erythroid precursors in immature state. LMO2 has been associated with the maintenance of hematopoietic stem cells, RBCs differentiation, and angiogenesis in both normal development as well as during carcinogenesis. Disruption of LMO2 in mice causes death in midway through embryonic development as they do not develop RBCs. Excessive expression of LMO2 in T-cells, through either chromosomal translocations or retroviral insertion of gene therapy vectors, as well as transgenic overexpression of LMO2 in mouse model leads to the onset of T-cell acute lymphoblastic leukemia (T-ALL).

Long Name

LIM Domain Only 2

Alternate Names

RBTN2, RBTNL1, RHOM2, TTG2

Entrez Gene IDs

4005 (Human); 16909 (Mouse); 362176 (Rat)

Gene Symbol

LMO2

UniProt

Additional LMO2 Products

Product Documents for LMO2 Antibody - BSA Free

Certificate of Analysis

To download a Certificate of Analysis, please enter a lot number in the search box below.

Product Specific Notices for LMO2 Antibody - BSA Free

This product is for research use only and is not approved for use in humans or in clinical diagnosis. Primary Antibodies are guaranteed for 1 year from date of receipt.

Loading...
Loading...
Loading...
Loading...