Skip to main content

Lipocalin-2/NGAL Antibody - BSA Free

Novus Biologicals, part of Bio-Techne | Catalog # NBP1-90331

Novus Biologicals, part of Bio-Techne
Catalog #
Availability
Size / Price
Qty
Loading...
NBP1-90331
NBP1-90331-25ul

Key Product Details

Validated by

Knockout/Knockdown, Orthogonal Validation

Species Reactivity

Validated:

Human

Cited:

Human

Applications

Validated:

Immunohistochemistry, Immunohistochemistry-Paraffin, Western Blot, Knockdown Validated

Cited:

Immunohistochemistry-Paraffin, IF/IHC

Label

Unconjugated

Antibody Source

Polyclonal Rabbit IgG

Format

BSA Free

Concentration

Concentrations vary lot to lot. See vial label for concentration. If unlisted please contact technical services.

Product Specifications

Immunogen

This antibody was developed against Recombinant Protein corresponding to amino acids: QDSTSDLIPAPPLSKVPLQQNFQDNQFQGKWYVVGLAGNAILREDKDPQKMYATIYELKEDKSYNVTSVLFRKKKCDYWIRTFVPGCQPGEFTLGNIKSYPGLTSYLVRVVSTNYNQHAMVFFKKVSQNREYFKITL

Reactivity Notes

Human reactivity reported in scientific literature (PMID: 23736029).

Clonality

Polyclonal

Host

Rabbit

Isotype

IgG

Description

Novus Biologicals Rabbit Lipocalin-2/NGAL Antibody - BSA Free (NBP1-90331) is a polyclonal antibody validated for use in IHC and WB. Anti-Lipocalin-2/NGAL Antibody: Cited in 4 publications. All Novus Biologicals antibodies are covered by our 100% guarantee.

Scientific Data Images for Lipocalin-2/NGAL Antibody - BSA Free

Lipocalin-2/NGAL Antibody - BSA Free Immunohistochemistry: Lipocalin-2/NGAL Antibody - BSA Free [NBP1-90331]

Immunohistochemistry: Lipocalin-2/NGAL Antibody - BSA Free [NBP1-90331]

Analysis in human bone marrow and testis tissues using NBP1-90331 antibody. Corresponding LCN2 RNA-seq data are presented for the same tissues.
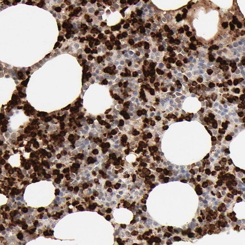
Lipocalin-2/NGAL Antibody - BSA Free Immunohistochemistry: Lipocalin-2/NGAL Antibody - BSA Free [NBP1-90331]

Immunohistochemistry: Lipocalin-2/NGAL Antibody - BSA Free [NBP1-90331]

Staining of human bone marrow shows strong cytoplasmic positivity in hematopoietic cells.
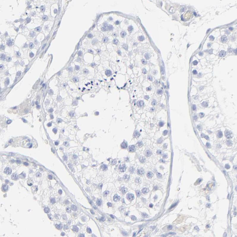
Lipocalin-2/NGAL Antibody - BSA Free Immunohistochemistry: Lipocalin-2/NGAL Antibody - BSA Free [NBP1-90331]

Immunohistochemistry: Lipocalin-2/NGAL Antibody - BSA Free [NBP1-90331]

Staining of human testis shows no positivity in cells in seminiferous ducts as expected.

Applications for Lipocalin-2/NGAL Antibody - BSA Free

Application
Recommended Usage

Immunohistochemistry

1:500 - 1:1000

Immunohistochemistry-Paraffin

1:500 - 1:1000

Western Blot

0.04-0.4 ug/ml
Application Notes
For IHC-Paraffin, HIER pH 6 retrieval is recommended.

Formulation, Preparation, and Storage

Purification

Immunogen affinity purified

Formulation

PBS (pH 7.2) and 40% Glycerol

Format

BSA Free

Preservative

0.02% Sodium Azide

Concentration

Concentrations vary lot to lot. See vial label for concentration. If unlisted please contact technical services.

Shipping

The product is shipped with polar packs. Upon receipt, store it immediately at the temperature recommended below.

Stability & Storage

Store at 4C short term. Aliquot and store at -20C long term. Avoid freeze-thaw cycles.

Background: Lipocalin-2/NGAL

Lipocalin 2 is a member of the lipocalin family which encompass more than 25 members (including proteins like retinol binding protein, a1 microglobulin, b lactoglobulin, apolipoprotein D, odorant binding protein). The members of the lipocalin family are characterized by their ability to bind small lipophilic substances in their hydrophobic core, and thereby serve as transporters of substances.

Long Name

Neutrophil Gelatinase-associated Lipocalin

Alternate Names

24p3, LCN2, Lipocalin2, MSFI, NGAL, Oncogene 24p3, p25, Siderocalin, Uterocalin

Gene Symbol

LCN2

Additional Lipocalin-2/NGAL Products

Product Documents for Lipocalin-2/NGAL Antibody - BSA Free

Certificate of Analysis

To download a Certificate of Analysis, please enter a lot number in the search box below.

Product Specific Notices for Lipocalin-2/NGAL Antibody - BSA Free

This product is for research use only and is not approved for use in humans or in clinical diagnosis. Primary Antibodies are guaranteed for 1 year from date of receipt.

Loading...
Loading...
Loading...
Loading...