Skip to main content

LIN7C Antibody - BSA Free

Novus Biologicals, part of Bio-Techne | Catalog # NBP3-06033

Novus Biologicals, part of Bio-Techne

Key Product Details

Species Reactivity

Human

Applications

Immunohistochemistry, Immunohistochemistry-Paraffin, Western Blot

Label

Unconjugated

Antibody Source

Polyclonal Rabbit IgG

Format

BSA Free

Concentration

Please see the vial label for concentration. If unlisted please contact technical services.

Product Specifications

Immunogen

Produced in rabbits immunized with E. coli-derived Human LIN7C fragment.

Clonality

Polyclonal

Host

Rabbit

Isotype

IgG

Description

This antibody can be stored at 2C-8C for one month without detectable loss of activity. Antibody products are stable for twelve months from date of receipt when stored at -20C to -80C. Avoid repeated freeze-thaw cycles.

Scientific Data Images for LIN7C Antibody - BSA Free

Western Blot: LIN7C Antibody [NBP3-06033]

Western Blot: LIN7C Antibody [NBP3-06033]

Western Blot: LIN7C Antibody [NBP3-06033] - Anti-LIN7C rabbit polyclonal antibody at 1:500 dilution Lane A: HepG2 Whole Cell Lysate Lysates/proteins at 30 ug per lane. Secondary: Goat Anti-Rabbit IgG (H+L)HRP at 110000 dilution. Developed using the ECL technique. Performed under reducing conditions. Predicted band size:22 kDa Observed band size:23 kDa
LIN7C Antibody - BSA Free

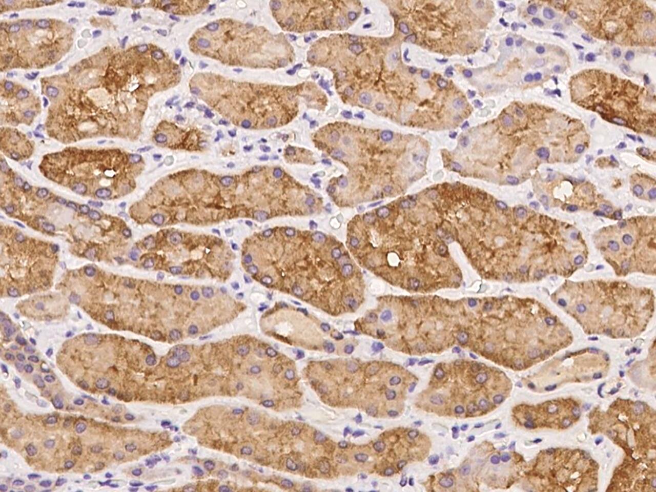
Immunohistochemistry-Paraffin: LIN7C Antibody - BSA Free [NBP3-06033] -

Immunohistochemistry-Paraffin: LIN7C Antibody - BSA Free [NBP3-06033] - Immunochemical staining of human LIN7C in human kidney with NBP3-06033 at 1:100 dilution, formalin-fixed paraffin embedded sections.
LIN7C Antibody - BSA Free

Immunohistochemistry-Paraffin: LIN7C Antibody - BSA Free [NBP3-06033] -

Immunohistochemistry-Paraffin: LIN7C Antibody - BSA Free [NBP3-06033] - Immunochemical staining of human LIN7C in human placenta with NBP3-06033 at 1:100 dilution, formalin-fixed paraffin embedded sections.

Applications for LIN7C Antibody - BSA Free

Application
Recommended Usage

Immunohistochemistry-Paraffin

1:50-1:200

Western Blot

1:500-1:2000

Formulation, Preparation, and Storage

Purification

Antigen and protein A Affinity-purified

Formulation

PBS

Format

BSA Free

Preservative

0.03% Proclin 300

Concentration

Please see the vial label for concentration. If unlisted please contact technical services.

Shipping

The product is shipped with polar packs. Upon receipt, store it immediately at the temperature recommended below.

Stability & Storage

Store at 4C short term. Aliquot and store at -20C long term. Avoid freeze-thaw cycles.

Background: LIN7C

LIN7C plays a role in establishing and maintaining the asymmetric distribution of channels and receptors at the plasma membrane of polarized cells. Forms membrane-associated multiprotein complexes that may regulate delivery and recycling of proteins to the corr

Alternate Names

FLJ11215, lin-7 homolog C (C. elegans), Lin-7C, LIN-7-C, MALS-3LIN-7 protein 3, MALS3protein lin-7 homolog C, Mammalian lin-seven protein 3, veli-3, VELI3Lin7c, Vertebrate lin-7 homolog 3

Gene Symbol

LIN7C

Additional LIN7C Products

Product Documents for LIN7C Antibody - BSA Free

Certificate of Analysis

To download a Certificate of Analysis, please enter a lot number in the search box below.

Product Specific Notices for LIN7C Antibody - BSA Free

This product is for research use only and is not approved for use in humans or in clinical diagnosis. Primary Antibodies are guaranteed for 1 year from date of receipt.

Loading...
Loading...
Loading...
Loading...