Skip to main content

LIN-28A Antibody (1086) - Azide and BSA Free

Novus Biologicals, part of Bio-Techne | Catalog # NBP2-43673

Novus Biologicals, part of Bio-Techne
Catalog #
Availability
Size / Price
Qty
Loading...
NBP2-43673

Key Product Details

Species Reactivity

Human

Applications

Flow Cytometry, Immunocytochemistry/ Immunofluorescence, Immunohistochemistry, Immunohistochemistry-Paraffin, Western Blot

Label

Unconjugated

Antibody Source

Monoclonal Mouse IgG2B Clone # 1086

Format

Azide and BSA Free

Concentration

Concentrations vary lot to lot. See vial label for concentration. If unlisted please contact technical services.

Product Specifications

Immunogen

Recombinant protein encompassing a sequence within the center region of human LIN-28A. The exact sequence is proprietary.

Clonality

Monoclonal

Host

Mouse

Isotype

IgG2B

Theoretical MW

23 kDa.
Disclaimer note: The observed molecular weight of the protein may vary from the listed predicted molecular weight due to post translational modifications, post translation cleavages, relative charges, and other experimental factors.

Description

Novus Biologicals Mouse LIN-28A Antibody (1086) - Azide and BSA Free (NBP2-43673) is a monoclonal antibody validated for use in IHC, WB, Flow and ICC/IF. All Novus Biologicals antibodies are covered by our 100% guarantee.

Scientific Data Images for LIN-28A Antibody (1086) - Azide and BSA Free

Western Blot: LIN-28A Antibody (1086) [NBP2-43673]

Western Blot: LIN-28A Antibody (1086) [NBP2-43673]

Western Blot: LIN-28A Antibody (1086) [NBP2-43673] - Analysis of A. 30 ug human ESC whole cell lysate/extract 12 % SDS-PAGE Lin28A antibody [717] dilution: 1:1000.
Immunocytochemistry/ Immunofluorescence: LIN-28A Antibody (1086) [NBP2-43673]

Immunocytochemistry/ Immunofluorescence: LIN-28A Antibody (1086) [NBP2-43673]

Immunocytochemistry/Immunofluorescence: LIN-28A Antibody (1086) [NBP2-43673] - Analysis of human embryonic stem cell were fixed in 4% paraformaldehyde for 15 min. Green: LIN28 protein stained by LIN28 antibody diluted at 1:500. Blue: Hoechst 33342 staining. Scale bar = 10 um.
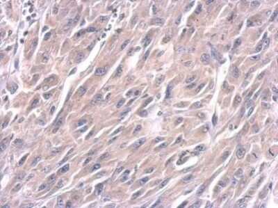
Immunohistochemistry-Paraffin: LIN-28A Antibody (1086) [NBP2-43673]

Immunohistochemistry-Paraffin: LIN-28A Antibody (1086) [NBP2-43673]

Immunohistochemistry-Paraffin: LIN-28A Antibody (1086) [NBP2-43673] - Analysis of U87 xenograft. Lin28A antibody dilution: 1:100.

Applications for LIN-28A Antibody (1086) - Azide and BSA Free

Application
Recommended Usage

Flow Cytometry

1:50-1:200

Immunocytochemistry/ Immunofluorescence

1:100-1:1000

Immunohistochemistry

1:100-1:1000

Immunohistochemistry-Paraffin

1:100-1:1000

Western Blot

1:500-1:3000

Formulation, Preparation, and Storage

Purification

Protein G purified

Formulation

PBS

Format

Azide and BSA Free

Preservative

No Preservative

Concentration

Concentrations vary lot to lot. See vial label for concentration. If unlisted please contact technical services.

Shipping

The product is shipped with polar packs. Upon receipt, store it immediately at the temperature recommended below.

Stability & Storage

Aliquot and store at -20C or -80C. Avoid freeze-thaw cycles.

Background: LIN-28A

lin-28 homolog (C. elegans), also known as CSDD1, ZCCHC1. Entrez Protein NP_078950. LIN28 was first discovered in the nematode C. elegans. It is a heterochronic protein in C. elegans involved in the timing of developmental events and choice of stage specific cell fates. LIN28 expression has been found to be regulated post-transcriptionally by miRNAs in both nematodes and mammals. In humans it is expressed in embryonic stem cells and its expression decreases during differentiation. It is negatively regulated by retinoic acid in neuronal differentiation.

Long Name

RNA-binding Protein LIN-28

Alternate Names

CSDD1, LIN28, LIN28A, Tex17, ZCCHC1

Gene Symbol

LIN28A

Additional LIN-28A Products

Product Documents for LIN-28A Antibody (1086) - Azide and BSA Free

Certificate of Analysis

To download a Certificate of Analysis, please enter a lot number in the search box below.

Product Specific Notices for LIN-28A Antibody (1086) - Azide and BSA Free

This product is for research use only and is not approved for use in humans or in clinical diagnosis. Primary Antibodies are guaranteed for 1 year from date of receipt.

Loading...
Loading...
Loading...
Loading...
Loading...