Skip to main content

LIM kinase 2 Antibody - BSA Free

Novus Biologicals, part of Bio-Techne | Catalog # NBP1-85783

Novus Biologicals, part of Bio-Techne
Catalog #
Availability
Size / Price
Qty
Loading...
NBP1-85783-25ul
NBP1-85783

Key Product Details

Species Reactivity

Validated:

Human, Rat

Cited:

Rat

Predicted:

Mouse (90%). Backed by our 100% Guarantee.

Applications

Validated:

Immunohistochemistry, Immunohistochemistry-Paraffin, Western Blot, Immunocytochemistry/ Immunofluorescence

Cited:

Western Blot, Immunocytochemistry/ Immunofluorescence

Label

Unconjugated

Antibody Source

Polyclonal Rabbit IgG

Format

BSA Free

Concentration

Concentrations vary lot to lot. See vial label for concentration. If unlisted please contact technical services.

Product Specifications

Immunogen

This antibody was developed against Recombinant Protein corresponding to amino acids: VEEVEDAISQTSQTLQLLIEHDPVSQRLDQLRLEARLAPHMQNAGHPHALSTLDTKENLEGTLRRRSLRRSNSISKSPGPSSPKEPLLFSRDISRSESLRCSSSYSQ

Reactivity Notes

Rat reactivity reported in (PMID: 24561342).

Clonality

Polyclonal

Host

Rabbit

Isotype

IgG

Description

Novus Biologicals Rabbit LIM kinase 2 Antibody - BSA Free (NBP1-85783) is a polyclonal antibody validated for use in IHC, WB and ICC/IF. Anti-LIM kinase 2 Antibody: Cited in 2 publications. All Novus Biologicals antibodies are covered by our 100% guarantee.

Scientific Data Images for LIM kinase 2 Antibody - BSA Free

Immunohistochemistry-Paraffin: LIM kinase 2 Antibody [NBP1-85783]

Immunohistochemistry-Paraffin: LIM kinase 2 Antibody [NBP1-85783]

Immunohistochemistry-Paraffin: LIM kinase 2 Antibody [NBP1-85783] - Staining of human placenta shows weak to moderate cytoplasmic positivity in trophoblastic cells.
Immunohistochemistry-Paraffin: LIM kinase 2 Antibody [NBP1-85783]

Immunohistochemistry-Paraffin: LIM kinase 2 Antibody [NBP1-85783]

Immunohistochemistry-Paraffin: LIM kinase 2 Antibody [NBP1-85783] - Staining of human placenta shows strong cytoplasmic positivity in decidual cells.
Immunohistochemistry-Paraffin: LIM kinase 2 Antibody [NBP1-85783]

Immunohistochemistry-Paraffin: LIM kinase 2 Antibody [NBP1-85783]

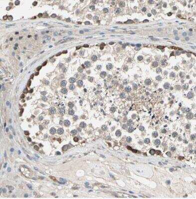
Immunohistochemistry-Paraffin: LIM kinase 2 Antibody [NBP1-85783] - Staining of human testis shows strong cytoplasmic positivity in cells in seminiferous ducts.

Applications for LIM kinase 2 Antibody - BSA Free

Application
Recommended Usage

Immunocytochemistry/ Immunofluorescence

Reactivity reported in (PMID: 24561342)

Immunohistochemistry

1:50 - 1:200

Immunohistochemistry-Paraffin

1:50 - 1:200

Western Blot

Reactivity reported in (PMID: 24561342)
Application Notes
For IHC-Paraffin, HIER pH 6 retrieval is recommended.

Formulation, Preparation, and Storage

Purification

Affinity purified

Formulation

PBS (pH 7.2) and 40% Glycerol

Format

BSA Free

Preservative

0.02% Sodium Azide

Concentration

Concentrations vary lot to lot. See vial label for concentration. If unlisted please contact technical services.

Shipping

The product is shipped with polar packs. Upon receipt, store it immediately at the temperature recommended below.

Stability & Storage

Store at 4C short term. Aliquot and store at -20C long term. Avoid freeze-thaw cycles.

Background: LIM kinase 2

LIM-kinase 2 (LIMK2), a 75-kDa member of the LIM kinase family, is responsible for regulating actin polymerization via phosphorylation and inactivation of the actin depolymerizing factors ADF/cofilin (1). LIMK2 protein is found in the cytoplasm during interphase, redistributed to the mitotic spindle and then to the spindle midzone during anaphase to telophase (2). It has been shown that ROCK, a downstream protein kinase of Rho, activates LIMK2 by directly phosphorylates threonine 505 residue. Since activity of LIMK2 is cell cycle dependant, LIMK2 activity is markedly increased when HeLa cells are synchronized at mitosis with nocodazole treatment (3).

Long Name

LIM domain kinase 2

Alternate Names

LIMK-2, LIMK2

Gene Symbol

LIMK2

Additional LIM kinase 2 Products

Product Documents for LIM kinase 2 Antibody - BSA Free

Certificate of Analysis

To download a Certificate of Analysis, please enter a lot number in the search box below.

Product Specific Notices for LIM kinase 2 Antibody - BSA Free

This product is for research use only and is not approved for use in humans or in clinical diagnosis. Primary Antibodies are guaranteed for 1 year from date of receipt.

Loading...
Loading...
Loading...
Loading...