Skip to main content

Lgr6 Antibody (JE39-78)

Novus Biologicals, part of Bio-Techne | Catalog # NBP3-32400

Recombinant Monoclonal Antibody
Novus Biologicals, part of Bio-Techne
Catalog #
Availability
Size / Price
Qty
Loading...
NBP3-32400

Key Product Details

Species Reactivity

Human, Mouse, Rat

Applications

Immunohistochemistry, Immunohistochemistry-Paraffin, Western Blot, Immunocytochemistry/ Immunofluorescence

Label

Unconjugated

Antibody Source

Recombinant Monoclonal Rabbit IgG Clone # JE39-78 expressed in HEK293

Concentration

1 mg/ml

Product Specifications

Immunogen

Recombinant protein within Human Lgr6 aa 831-967 / 967. (Uniprot: Q9HBX8)

Localization

Cell membrane.

Clonality

Monoclonal

Host

Rabbit

Isotype

IgG

Theoretical MW

104 kDa.
Disclaimer note: The observed molecular weight of the protein may vary from the listed predicted molecular weight due to post translational modifications, post translation cleavages, relative charges, and other experimental factors.

Description

Novus Biologicals Rabbit Lgr6 Antibody (JE39-78) (NBP3-32400) is a recombinant monoclonal antibody validated for use in IHC, WB and ICC/IF. All Novus Biologicals antibodies are covered by our 100% guarantee.

Scientific Data Images for Lgr6 Antibody (JE39-78)

Lgr6 Antibody (JE39-78)

Western Blot: Lgr6 Antibody (JE39-78) [NBP3-32400]

Western Blot: Lgr6 Antibody (JE39-78) [NBP3-32400] - Western blot analysis of Lgr6 on different lysates with Rabbit anti-Lgr6 antibody (NBP3-32400) at 1/1,000 dilution.

Lane 1: HeLa cell lysate (10 ug/Lane)
Lane 2: MCF7 cell lysate (10 ug/Lane)
Lane 3: SKOV-3 cell lysate (10 ug/Lane)
Lane 4: Mouse testis tissue lysate (20 ug/Lane)

Predicted band size: 104 kDa
Observed band size: 104 kDa

Exposure time: 30 seconds;

4-20% SDS-PAGE gel.

Proteins were transferred to a PVDF membrane and blocked with 5% NFDM/TBST for 1 hour at room temperature. The primary antibody (NBP3-32400) at 1/1,000 dilution was used in 5% NFDM/TBST at room temperature for 2 hours. Goat Anti-Rabbit IgG - HRP Secondary Antibody at 1:100,000 dilution was used for 1 hour at room temperature.
Lgr6 Antibody (JE39-78)

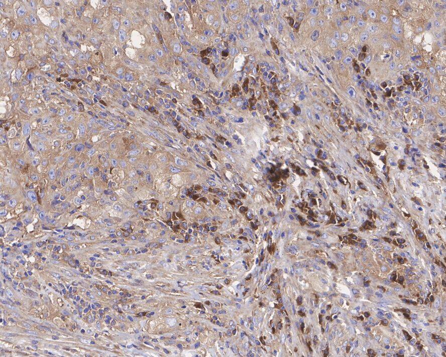
Immunohistochemistry: Lgr6 Antibody (JE39-78) [NBP3-32400]

Immunohistochemistry: Lgr6 Antibody (JE39-78) [NBP3-32400] - Immunohistochemical analysis of paraffin-embedded human lung carcinoma tissue with Rabbit anti-Lgr6 antibody (NBP3-32400) at 1/1,000 dilution.

The section was pre-treated using heat mediated antigen retrieval with Tris-EDTA buffer (pH 9.0) for 20 minutes. The tissues were blocked in 1% BSA for 20 minutes at room temperature, washed with ddH2O and PBS, and then probed with the primary antibody (NBP3-32400) at 1/1,000 dilution for 1 hour at room temperature. The detection was performed using an HRP conjugated compact polymer system. DAB was used as the chromogen. Tissues were counterstained with hematoxylin and mounted with DPX.
Lgr6 Antibody (JE39-78)

Immunocytochemistry/ Immunofluorescence: Lgr6 Antibody (JE39-78) [NBP3-32400]

Immunocytochemistry/ Immunofluorescence: Lgr6 Antibody (JE39-78) [NBP3-32400] - Immunocytochemistry analysis of HeLa cells labeling Lgr6 with Rabbit anti-Lgr6 antibody (NBP3-32400) at 1/100 dilution.

Cells were fixed in 4% paraformaldehyde for 10 minutes at 37 ℃, permeabilized with 0.05% Triton X-100 in PBS for 20 minutes, and then blocked with 2% negative goat serum for 30 minutes at room temperature. Cells were then incubated with Rabbit anti-Lgr6 antibody (NBP3-32400) at 1/100 dilution in 2% negative goat serum overnight at 4 ℃. Goat Anti-Rabbit IgG H&L (iFluor™ 488) was used as the secondary antibody at 1/1,000 dilution. PBS instead of the primary antibody was used as the secondary antibody only control. Nuclear DNA was labelled in blue with DAPI.

Applications for Lgr6 Antibody (JE39-78)

Application
Recommended Usage

Immunocytochemistry/ Immunofluorescence

1:100

Immunohistochemistry-Paraffin

1:1000

Western Blot

1:1000

Formulation, Preparation, and Storage

Purification

Protein A purified

Formulation

1*TBS (pH7.4), 0.05% BSA and 40% Glycerol

Preservative

0.05% Sodium Azide

Concentration

1 mg/ml

Shipping

The product is shipped with polar packs. Upon receipt, store it immediately at the temperature recommended below.

Stability & Storage

Store at 4C short term. Aliquot and store at -20C long term. Avoid freeze-thaw cycles.

Background: Lgr6

LGR6 has been reported to be expressed in rat adrenal, brain, colon, heart, kidney, ovary, oviduct, small intestine, spleen, testis, and uterus Hsu et al., 2000). ESTs have been isolated from human B-cell/lung/testis, blood, brain, colon, eye, germ cell, head/neck, heart, heart/melanocyte/uterus, lung, ovary, stomach, testis, and uterus libraries.

Long Name

Leucine-rich Repeat Containing G Protein-coupled Receptor 6

Alternate Names

FLJ14471, gonadotropin receptor, GPCR, leucine-rich repeat containing G protein-coupled receptor 6, leucine-rich repeat-containing G protein-coupled receptor 6, leucine-rich repeat-containing G-protein coupled receptor 6, VTS20631

Gene Symbol

LGR6

Additional Lgr6 Products

Product Documents for Lgr6 Antibody (JE39-78)

Certificate of Analysis

To download a Certificate of Analysis, please enter a lot number in the search box below.

Product Specific Notices for Lgr6 Antibody (JE39-78)

This product is for research use only and is not approved for use in humans or in clinical diagnosis. Primary Antibodies are guaranteed for 1 year from date of receipt.

Loading...
Loading...
Loading...
Loading...