Skip to main content

Lgr5/GPR49 Antibody (CL13579) - BSA Free

Novus Biologicals, part of Bio-Techne | Catalog # NBP3-24571

Novus Biologicals, part of Bio-Techne
Catalog #
Availability
Size / Price
Qty
Loading...
NBP3-24571-100ul
NBP3-24571-25ul

Key Product Details

Validated by

Orthogonal Validation

Species Reactivity

Validated:

Human

Predicted:

Mouse (91%). Backed by our 100% Guarantee.

Applications

Immunohistochemistry, Immunohistochemistry-Paraffin

Label

Unconjugated

Antibody Source

Monoclonal Mouse IgG1 Clone # CL13579

Format

BSA Free

Concentration

Concentrations vary lot to lot. See vial label for concentration. If unlisted please contact technical services.

Product Specifications

Immunogen

This antibody was developed using a synthetic peptide derived from O75473, with the exact immunogen sequence remaining proprietary.

Clonality

Monoclonal

Host

Mouse

Isotype

IgG1

Description

Novus Biologicals Mouse Lgr5/GPR49 Antibody (CL13579) - BSA Free (NBP3-24571) is a monoclonal antibody validated for use in IHC. All Novus Biologicals antibodies are covered by our 100% guarantee.

Scientific Data Images for Lgr5/GPR49 Antibody (CL13579) - BSA Free

Immunohistochemistry-Paraffin: Lgr5/GPR49 Antibody (CL13579) [NBP3-24571]

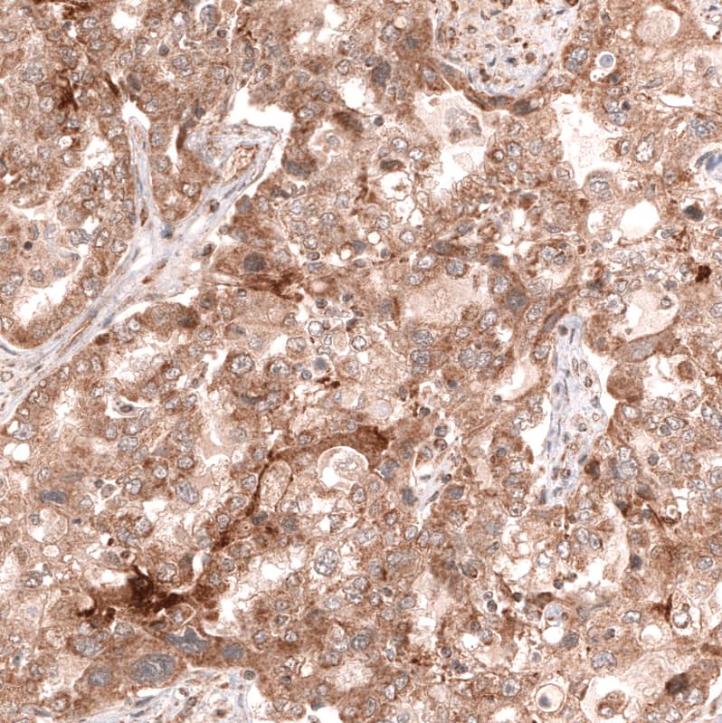
Analysis in human placenta and tonsil tissues using NBP3-24571 antibody. Corresponding LGR5 RNA-seq data are presented for the same tissues.

Immunohistochemistry-Paraffin: Lgr5/GPR49 Antibody (CL13579) [NBP3-24571]

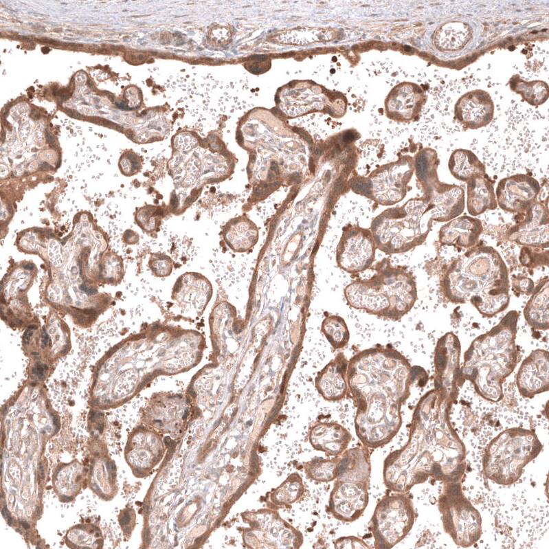
Staining of human placenta shows moderate cytoplasmic and membranous positivity in trophoblastic cells.

Immunohistochemistry-Paraffin: Lgr5/GPR49 Antibody (CL13579) [NBP3-24571]

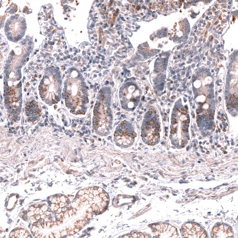
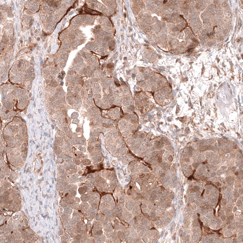
Staining of human duodenum shows moderate cytoplasmic and membranous positivity in glandular cells.

Applications for Lgr5/GPR49 Antibody (CL13579) - BSA Free

Application
Recommended Usage

Immunohistochemistry

1:200 - 1:500

Immunohistochemistry-Paraffin

1:200 - 1:500
Application Notes
For IHC-Paraffin, we recommend using Heat-Induced Epitope Retrieval (HIER) with a pH level of 6. This optimized retrieval method ensures the best results for your experiments.

Formulation, Preparation, and Storage

Purification

Protein A purified

Formulation

PBS (pH 7.2) and 40% Glycerol

Format

BSA Free

Preservative

0.02% Sodium Azide

Concentration

Concentrations vary lot to lot. See vial label for concentration. If unlisted please contact technical services.

Shipping

The product is shipped with polar packs. Upon receipt, store it immediately at the temperature recommended below.

Stability & Storage

Store at 4C short term. Aliquot and store at -20C long term. Avoid freeze-thaw cycles.

Background: Lgr5/GPR49

Leucine-rich repeat-containing LGR5, also known as GPR49, is an Orphan-A G-protein coupled receptor with an unknown ligand. GPR49 is a stem cell marker of the intestinal epithelium and the hair follicule, and is often expressed in the brain, skeletal muscle, placenta, and spinal cord. Because LGR5 is typically found in mouse hair follicles it may potentially be used to regrow hair in mice. GPR49/LGR5 antibodies are useful tools for research on hair loss and hair follicule development.

Long Name

Leucine-rich Repeat Containing G Protein-coupled Receptor 5

Alternate Names

FEX, GPR49, GPR67, HG38

Gene Symbol

LGR5

Additional Lgr5/GPR49 Products

Product Documents for Lgr5/GPR49 Antibody (CL13579) - BSA Free

Certificate of Analysis

To download a Certificate of Analysis, please enter a lot number in the search box below.

Product Specific Notices for Lgr5/GPR49 Antibody (CL13579) - BSA Free

This product is for research use only and is not approved for use in humans or in clinical diagnosis. Primary Antibodies are guaranteed for 1 year from date of receipt.

Loading...
Loading...
Loading...
Loading...