Skip to main content

LEF1 Antibody (LEF1/422R)

Novus Biologicals, part of Bio-Techne | Catalog # NBP3-07783

Recombinant Monoclonal Antibody
Novus Biologicals, part of Bio-Techne
Catalog #
Availability
Size / Price
Qty
Loading...
NBP3-07783-100ug
NBP3-07783-20ug

Key Product Details

Species Reactivity

Human

Applications

Immunohistochemistry-Paraffin

Label

Unconjugated

Antibody Source

Recombinant Monoclonal Rabbit IgG Clone # LEF1/422R

Concentration

0.2 mg/ml

Product Specifications

Immunogen

Recombinant fragment (around aa100-200) of human LEF1 protein (exact sequence is proprietary) (Uniprot: Q9UJU2)

Localization

Nucleus.

Specificity

Lymphoid Enhancing Factor 1 (LEF1) is a transcription factor that belongs to the TCF/LEF family. LEF1 participates as a regulator in Wnt signaling pathways. LEF1 is an important factor in lymphopoiesis and is expressed normally in T and pro-B cells but not expressed in mature B cells. Anti-LEF1 may be used as an aid for differentiation of chronic lymphocytic leukemia/small lymphocytic lymphoma from other small B cell lymphomas.

Clonality

Monoclonal

Host

Rabbit

Isotype

IgG

Theoretical MW

44 kDa.
Disclaimer note: The observed molecular weight of the protein may vary from the listed predicted molecular weight due to post translational modifications, post translation cleavages, relative charges, and other experimental factors.

Description

200ug/ml of antibody purified from Bioreactor Concentrate by Protein A or G. Prepared in 10 mM PBS with 0.05% BSA & 0.05% azide. Also available WITHOUT BSA & azide at 1.0 mg/ml. (NBP3-08519)

Antibody with azide store at 2 to 8C. Antibody without azide - store at -20 to -80 C.

Scientific Data Images for LEF1 Antibody (LEF1/422R)

Immunohistochemistry-Paraffin: LEF1 Antibody (LEF1/422R) [NBP3-07783]

Immunohistochemistry-Paraffin: LEF1 Antibody (LEF1/422R) [NBP3-07783]

Immunohistochemistry-Paraffin: LEF1 Antibody (LEF1/422R) [NBP3-07783] - Formalin-fixed, paraffin-embedded analysis of brain. Negative tissue control using LEF1 antibody (LEF1/422R) at 2ug/ml in PBS for 30min RT. HIER: Tris/EDTA, pH9.0, 45min. 2 : HRP-polymer, 30min. DAB, 5min.
Immunohistochemistry-Paraffin: LEF1 Antibody (LEF1/422R) [NBP3-07783]

Immunohistochemistry-Paraffin: LEF1 Antibody (LEF1/422R) [NBP3-07783]

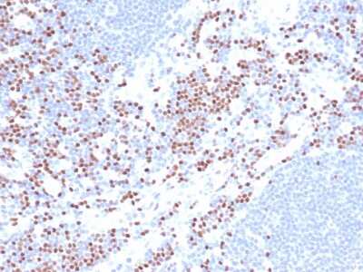
Immunohistochemistry-Paraffin: LEF1 Antibody (LEF1/422R) [NBP3-07783] - Formalin-fixed, paraffin-embedded analysis of human lymph node. Nuclear staining of non-germinal center cells using LEF1 antibody (LEF1/422R) at 2ug/ml in PBS for 30min RT. HIER: Tris/EDTA, pH9.0, 45min. 2 : HRP-polymer, 30min. DAB, 5min.

Applications for LEF1 Antibody (LEF1/422R)

Application
Recommended Usage

Immunohistochemistry-Paraffin

1-2 ug/ml
Application Notes
Immunohistochemistry (Formalin-fixed): 1-2ug/ml for 30 minutes at RT. Staining of formalin-fixed tissues requires heating tissue sections in 10mM Tris with 1mM EDTA, pH 9.0, for 45 min at 95C followed by cooling at RT for 20 minutes.
Optimal dilution for a specific application should be determined.

Formulation, Preparation, and Storage

Purification

Protein A or G purified

Formulation

10 mM PBS with 0.05% BSA

Preservative

0.05% Sodium Azide

Concentration

0.2 mg/ml

Shipping

The product is shipped with polar packs. Upon receipt, store it immediately at the temperature recommended below.

Stability & Storage

Store at 4C.

Background: LEF1

Lymphoid enhancer-binding factor-1 (LEF1) is a 48-kD nuclear protein that is expressed in pre-B and T cells. It binds to a functionally important site in the T-cell receptor-alpha (TCRA; MIM 186880) enhancer and confers maximal enhancer activity. LEF1 belongs to a family of regulatory proteins that share homology with high mobility group protein-1 (HMG1; MIM 163905).[supplied by OMIM]

Long Name

Lymphoid Enhancer-binding Factor 1

Alternate Names

TCF10, TCF1ALPHA, TCF7L3

Gene Symbol

LEF1

UniProt

Additional LEF1 Products

Product Documents for LEF1 Antibody (LEF1/422R)

Certificate of Analysis

To download a Certificate of Analysis, please enter a lot number in the search box below.

Product Specific Notices for LEF1 Antibody (LEF1/422R)

This product is for research use only and is not approved for use in humans or in clinical diagnosis. Primary Antibodies are guaranteed for 1 year from date of receipt.

Loading...
Loading...
Loading...
Loading...