Skip to main content

Langerin/CD207 Antibody - BSA Free

Novus Biologicals, part of Bio-Techne | Catalog # NBP1-84448

Novus Biologicals, part of Bio-Techne
Catalog #
Availability
Size / Price
Qty
Loading...
NBP1-84448
NBP1-84448-25ul

Key Product Details

Validated by

Orthogonal Validation

Species Reactivity

Human

Applications

Immunohistochemistry, Immunohistochemistry-Paraffin, Western Blot

Label

Unconjugated

Antibody Source

Polyclonal Rabbit IgG

Format

BSA Free

Concentration

Concentrations vary lot to lot. See vial label for concentration. If unlisted please contact technical services.

Product Specifications

Immunogen

This antibody was developed against Recombinant Protein corresponding to amino acids: VKTNVQLLKGRVDNISTLDSEIKKNSDGMEAAGVQIQMVNESLGYVRSQFLKLKTSVEKANAEIQILTRSWEEVSTLNAQIPELKSDLEKASALNTKIRALQGSLENMSKLLKRQNDILQVVSQGWKYFKGNFYYFSLIP

Clonality

Polyclonal

Host

Rabbit

Isotype

IgG

Scientific Data Images for Langerin/CD207 Antibody - BSA Free

Western Blot: Langerin/CD207 Antibody [NBP1-84448]

Western Blot: Langerin/CD207 Antibody [NBP1-84448]

Western Blot: Langerin/CD207 Antibody [NBP1-84448] - Analysis in control (vector only transfected HEK293T lysate) and CD207 over-expression lysate (Co-expressed with a C-terminal myc-DDK tag (3.1 kDa) in mammalian HEK293T cells).
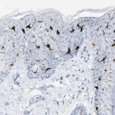
Immunohistochemistry-Paraffin: Langerin/CD207 Antibody [NBP1-84448]

Immunohistochemistry-Paraffin: Langerin/CD207 Antibody [NBP1-84448]

Immunohistochemistry-Paraffin: Langerin/CD207 Antibody [NBP1-84448] - Staining in human skin and pancreas tissues using NBP1-84448 antibody. Corresponding CD207 RNA-seq data are presented for the same tissues.
Immunohistochemistry-Paraffin: Langerin/CD207 Antibody [NBP1-84448]

Immunohistochemistry-Paraffin: Langerin/CD207 Antibody [NBP1-84448]

Immunohistochemistry-Paraffin: Langerin/CD207 Antibody [NBP1-84448] - Staining of human colon shows strong cytoplasmic positivity in a subset of lymphoid cells.

Applications for Langerin/CD207 Antibody - BSA Free

Application
Recommended Usage

Immunohistochemistry

1:500 - 1:1000

Immunohistochemistry-Paraffin

1:500 - 1:1000

Western Blot

0.04-0.4 ug/ml
Application Notes
For IHC-Paraffin, HIER pH 6 retrieval is recommended.

Formulation, Preparation, and Storage

Purification

Affinity purified

Formulation

PBS (pH 7.2) and 40% Glycerol

Format

BSA Free

Preservative

0.02% Sodium Azide

Concentration

Concentrations vary lot to lot. See vial label for concentration. If unlisted please contact technical services.

Shipping

The product is shipped with polar packs. Upon receipt, store it immediately at the temperature recommended below.

Stability & Storage

Store at 4C short term. Aliquot and store at -20C long term. Avoid freeze-thaw cycles.

Background: Langerin/CD207

Langerin (CD207) is a type II membrane-associated C-type lectin known to be expressed exclusively by Langerhans cells. Langerin recognizes mannose residues via its single carbohydrate recognition domain (CRD). Langerin is localized not only on the cell surface, but also intracellularly in close association with Birbeck granules. Transfection of Langerin cDNA into fibroblasts creates a compact network of membrane structures with typical features of Birbeck granules (BG). Langerin is thus a potent inducer of membrane superimposition and zippering leading to BG formation.

Alternate Names

CD207

Gene Symbol

CD207

Additional Langerin/CD207 Products

Product Documents for Langerin/CD207 Antibody - BSA Free

Certificate of Analysis

To download a Certificate of Analysis, please enter a lot number in the search box below.

Product Specific Notices for Langerin/CD207 Antibody - BSA Free

This product is for research use only and is not approved for use in humans or in clinical diagnosis. Primary Antibodies are guaranteed for 1 year from date of receipt.

Loading...
Loading...
Loading...
Loading...