Skip to main content

Langerin/CD207 Antibody - BSA Free

Novus Biologicals, part of Bio-Techne | Catalog # NB100-56733

Novus Biologicals, part of Bio-Techne
Catalog #
Availability
Size / Price
Qty
Loading...
NB100-56733
NB100-56733SS

Key Product Details

Species Reactivity

Validated:

Human, Mouse

Cited:

Mouse

Predicted:

Rat (90%). Backed by our 100% Guarantee.

Applications

Validated:

Immunohistochemistry, Immunohistochemistry-Paraffin, Immunohistochemistry-Frozen, Western Blot, Flow Cytometry, Flow (Intracellular)

Cited:

Immunohistochemistry-Frozen, Flow - IC, IF/IHC

Label

Unconjugated

Antibody Source

Polyclonal Rabbit IgG

Format

BSA Free

Concentration

1.0 mg/ml

Product Specifications

Immunogen

Amino acids 26-44 of mouse Langerin were used as immunogen (Uniprot # Q8VBX4)

Clonality

Polyclonal

Host

Rabbit

Isotype

IgG

Description

Novus Biologicals Rabbit Langerin/CD207 Antibody - BSA Free (NB100-56733) is a polyclonal antibody validated for use in IHC, WB and Flow. Anti-Langerin/CD207 Antibody: Cited in 5 publications. All Novus Biologicals antibodies are covered by our 100% guarantee.

Scientific Data Images for Langerin/CD207 Antibody - BSA Free

Western Blot: Langerin/CD207 Antibody [NB100-56733]

Western Blot: Langerin/CD207 Antibody [NB100-56733]

Western Blot: Langerin/CD207 Antibody [NB100-56733] - Analysis of langerin (CD207) in mouse lung tissue lysate using 2 ug/ml of langerin antibody. Lane 1, Without blocking peptide; Lane 2, With blocking peptide.
Immunohistochemistry-Paraffin: Langerin/CD207 Antibody [NB100-56733]

Immunohistochemistry-Paraffin: Langerin/CD207 Antibody [NB100-56733]

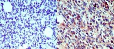
Immunohistochemistry-Paraffin: Langerin/CD207 Antibody [NB100-56733] - Human tonsil tissue. Heat mediated antigen retrieval in citrate buffer, 95C for 30 min. Image from verified customer review.
Immunohistochemistry-Paraffin: Langerin/CD207 Antibody [NB100-56733]

Immunohistochemistry-Paraffin: Langerin/CD207 Antibody [NB100-56733]

Immunohistochemistry-Paraffin: Langerin/CD207 Antibody [NB100-56733] - Tissue microarray from normal mouse organs (NBP2-30225) using rabbit polyclonal Langerin/CD207 antibody at 5ug/ml concentration. The IHC-P protocol involved antigen retrieval with 10mM sodium citrate buffer pH 6.0 and this antibody generated specific staining of the Langerhans cells in mouse ear lobe sections.

Applications for Langerin/CD207 Antibody - BSA Free

Application
Recommended Usage

Flow (Intracellular)

reported in scientific literature (PMID 18369922)

Flow Cytometry

1:20-1:2000

Immunohistochemistry

1:200-1:1000

Immunohistochemistry-Frozen

1:200-1:1000

Immunohistochemistry-Paraffin

1:200-1:1000

Western Blot

1 - 3 ug/ml
Application Notes
A protein band of ~36 kDa is detected in mouse lung tissue lysate. Pre-incubation with the immunizing peptide completely removes langerin reactivity from NB100-56733.

Reviewed Applications

Read 2 reviews rated 5 using NB100-56733 in the following applications:

Formulation, Preparation, and Storage

Purification

Protein G purified

Formulation

PBS

Format

BSA Free

Preservative

0.05% Sodium Azide

Concentration

1.0 mg/ml

Shipping

The product is shipped with polar packs. Upon receipt, store it immediately at the temperature recommended below.

Stability & Storage

Store at 4C short term. Aliquot and store at -20C long term. Avoid freeze-thaw cycles.

Background: Langerin/CD207

Langerin (CD207) is a type II membrane-associated C-type lectin known to be expressed exclusively by Langerhans cells. Langerin recognizes mannose residues via its single carbohydrate recognition domain (CRD). Langerin is localized not only on the cell surface, but also intracellularly in close association with Birbeck granules. Transfection of Langerin cDNA into fibroblasts creates a compact network of membrane structures with typical features of Birbeck granules (BG). Langerin is thus a potent inducer of membrane superimposition and zippering leading to BG formation.

Alternate Names

CD207

Entrez Gene IDs

246278 (Mouse); 502852 (Rat)

Gene Symbol

CD207

UniProt

Additional Langerin/CD207 Products

Product Documents for Langerin/CD207 Antibody - BSA Free

Certificate of Analysis

To download a Certificate of Analysis, please enter a lot number in the search box below.

Product Specific Notices for Langerin/CD207 Antibody - BSA Free

This product is for research use only and is not approved for use in humans or in clinical diagnosis. Primary Antibodies are guaranteed for 1 year from date of receipt.

Loading...
Loading...
Loading...
Loading...
Loading...
Loading...