Skip to main content

Kir6.1 Antibody - BSA Free

Novus Biologicals, part of Bio-Techne | Catalog # NBP1-87710

Novus Biologicals, part of Bio-Techne
Catalog #
Availability
Size / Price
Qty
Loading...
NBP1-87710
NBP1-87710-25ul

Key Product Details

Species Reactivity

Validated:

Human, Mouse

Cited:

Human, Mouse

Predicted:

Rat (97%). Backed by our 100% Guarantee.

Applications

Validated:

Immunohistochemistry, Immunohistochemistry-Paraffin, Western Blot

Cited:

Western Blot

Label

Unconjugated

Antibody Source

Polyclonal Rabbit IgG

Format

BSA Free

Concentration

Concentrations vary lot to lot. See vial label for concentration. If unlisted please contact technical services.

Product Specifications

Immunogen

This antibody was developed against Recombinant Protein corresponding to amino acids: KRSPLYDISATDLANQDLEVIVILEGVVETTGITTQARTSYIAEEIQWGHRFVSIVTEEEGVYSVDYSKFGNTVKVAAPRCSARELDEKPSILIQTLQKSELSHQNSLRKRNSMRRNNSMRRNNSIRRNNSSLMVPKVQFMTPEGNQNT

Reactivity Notes

Mouse reactivity reported in scientific literature (PMID: 30995106).

Clonality

Polyclonal

Host

Rabbit

Isotype

IgG

Description

Novus Biologicals Rabbit Kir6.1 Antibody - BSA Free (NBP1-87710) is a polyclonal antibody validated for use in IHC and WB. Anti-Kir6.1 Antibody: Cited in 2 publications. All Novus Biologicals antibodies are covered by our 100% guarantee.

Scientific Data Images for Kir6.1 Antibody - BSA Free

Immunohistochemistry-Paraffin: Kir6.1 Antibody [NBP1-87710]

Immunohistochemistry-Paraffin: Kir6.1 Antibody [NBP1-87710]

Immunohistochemistry-Paraffin: Kir6.1 Antibody [NBP1-87710] - Staining of human skin shows moderate cytoplasmic positivity in squamous epithelial cells.
Immunohistochemistry-Paraffin: Kir6.1 Antibody [NBP1-87710]

Immunohistochemistry-Paraffin: Kir6.1 Antibody [NBP1-87710]

Immunohistochemistry-Paraffin: Kir6.1 Antibody [NBP1-87710] - Staining of human liver shows moderate cytoplasmic positivity in hepatocytes.
Immunohistochemistry-Paraffin: Kir6.1 Antibody [NBP1-87710]

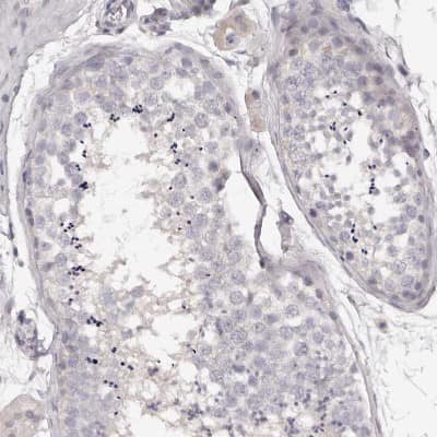
Immunohistochemistry-Paraffin: Kir6.1 Antibody [NBP1-87710]

Immunohistochemistry-Paraffin: Kir6.1 Antibody [NBP1-87710] - Staining of human testis shows very weak cytoplasmic positivity in cells in seminiferous ducts.

Applications for Kir6.1 Antibody - BSA Free

Application
Recommended Usage

Immunohistochemistry

1:20 -1:50

Immunohistochemistry-Paraffin

1:20 - 1:50

Western Blot

Reactivity reported in (PMID: 36282858).
Application Notes
For IHC-Paraffin, HIER pH 6 retrieval is recommended.

Formulation, Preparation, and Storage

Purification

Immunogen affinity purified

Formulation

PBS (pH 7.2) and 40% Glycerol

Format

BSA Free

Preservative

0.02% Sodium Azide

Concentration

Concentrations vary lot to lot. See vial label for concentration. If unlisted please contact technical services.

Shipping

The product is shipped with polar packs. Upon receipt, store it immediately at the temperature recommended below.

Stability & Storage

Store at 4C short term. Aliquot and store at -20C long term. Avoid freeze-thaw cycles.

Background: Kir6.1

The Kir6.1 (KCNJ8) gene is essential in membrane function as it encodes an inward-rectifier potassium channel protein that is 424 amino acids long and has a mass of nearly 48 kDA. Dysfunctions in the Kir6.1 gene may be a cause of J-wave syndromes and sudden infant death syndrome (SIDS). Research is investigating its role in various diseases such as retinitis, hypoxia, pancreatitis, myocardial infarction, spasticity, leiomyoma, acute myocardial infarction, and prinzmetal angina. The Kir6.1 gene plays a significant role in ATP sensitive potassium channels, SIDS susceptibility pathways, dopamine feedback into cAMP pathway, and the CFTR-dependent regulation of ion channels in airway epithelium. It interacts with other genes such as KCNJ2, ABCC8, ABCC9, and KCNJ11.

Long Name

ATP-sensitive inward rectifier potassium channel 8

Alternate Names

KCNJ8, uKATP-1

Gene Symbol

KCNJ8

Additional Kir6.1 Products

Product Documents for Kir6.1 Antibody - BSA Free

Certificate of Analysis

To download a Certificate of Analysis, please enter a lot number in the search box below.

Product Specific Notices for Kir6.1 Antibody - BSA Free

This product is for research use only and is not approved for use in humans or in clinical diagnosis. Primary Antibodies are guaranteed for 1 year from date of receipt.

Loading...
Loading...
Loading...
Loading...