KIF1B Antibody - BSA Free
Novus Biologicals, part of Bio-Techne | Catalog # NBP3-46394
Key Product Details
Species Reactivity
Human, Mouse, Rat
Applications
ELISA, Immunohistochemistry, Western Blot
Label
Unconjugated
Antibody Source
Polyclonal Rabbit IgG
Format
BSA Free
Concentration
Please see the vial label for concentration. If unlisted please contact technical services.
Product Specifications
Immunogen
kinesin family member 1B. (Uniprot# O60333)
Clonality
Polyclonal
Host
Rabbit
Isotype
IgG
Theoretical MW
200 kDa.
Disclaimer note: The observed molecular weight of the protein may vary from the listed predicted molecular weight due to post translational modifications, post translation cleavages, relative charges, and other experimental factors.
Disclaimer note: The observed molecular weight of the protein may vary from the listed predicted molecular weight due to post translational modifications, post translation cleavages, relative charges, and other experimental factors.
Description
Novus Biologicals Rabbit KIF1B Antibody - BSA Free (NBP3-46394) is a polyclonal antibody validated for use in IHC, WB and ELISA. All Novus Biologicals antibodies are covered by our 100% guarantee.
Scientific Data Images for KIF1B Antibody - BSA Free
Western Blot: KIF1B Antibody - BSA Free [NBP3-46394] -
Western Blot: KIF1B Antibody - BSA Free [NBP3-46394] - HeLa cells were subjected to SDS PAGE followed by western blot with (KIF1B antibody) at dilution of 1:1000Immunohistochemistry: KIF1B Antibody - BSA Free [NBP3-46394] -
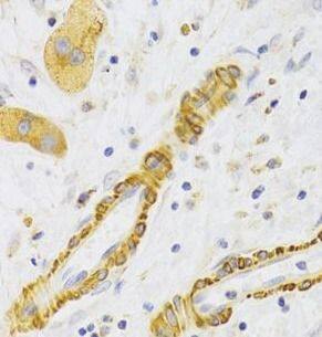
Immunohistochemistry: KIF1B Antibody - BSA Free [NBP3-46394] - Immunohistochemistry of paraffin-embedded human liver cancer using (KIF1B antibody) at dilution of 1:100Applications for KIF1B Antibody - BSA Free
Application
Recommended Usage
Immunohistochemistry
1:50 - 1:200
Western Blot
1:500 - 1:2000
Formulation, Preparation, and Storage
Purification
Immunogen affinity purified
Formulation
PBS, 50% Glycerol, pH (7.3)
Format
BSA Free
Preservative
0.02% Sodium Azide
Concentration
Please see the vial label for concentration. If unlisted please contact technical services.
Shipping
The product is shipped with polar packs. Upon receipt, store it immediately at the temperature recommended below.
Stability & Storage
Store at -20C. Avoid freeze-thaw cycles.
Background: KIF1B
Alternate Names
CMT2, CMT2A, CMT2A1, HMSNII, KIAA0591FLJ23699, KIAA1448, kinesin family member 1B, kinesin superfamily protein KIF1B, kinesin-like protein KIF1B, KLP, MGC134844, NBLST1
Gene Symbol
KIF1B
Additional KIF1B Products
Product Documents for KIF1B Antibody - BSA Free
Product Specific Notices for KIF1B Antibody - BSA Free
This product is for research use only and is not approved for use in humans or in clinical diagnosis. Primary Antibodies are guaranteed for 1 year from date of receipt.
Loading...
Loading...
Loading...
Loading...