Skip to main content

Ketohexokinase Antibody - BSA Free

Novus Biologicals, part of Bio-Techne | Catalog # NBP1-85790

Novus Biologicals, part of Bio-Techne
Catalog #
Availability
Size / Price
Qty
Loading...
NBP1-85790

Key Product Details

Validated by

Orthogonal Validation

Species Reactivity

Validated:

Human, Mouse, Rat

Cited:

Mouse

Applications

Validated:

Immunohistochemistry, Immunohistochemistry-Paraffin, Western Blot

Cited:

Western Blot

Label

Unconjugated

Antibody Source

Polyclonal Rabbit IgG

Format

BSA Free

Concentration

Concentrations vary lot to lot. See vial label for concentration. If unlisted please contact technical services.

Product Specifications

Immunogen

This antibody was developed against Recombinant Protein corresponding to amino acids: YGDVVFVSKDVAKHLGFQSAEEALRGLYGRVRKGAVLVCAWAEEGADALGPDGKLLHSDAFPPPRVVDTLGAGDTFNASVIFSLSQGRSVQEALRFGCQV

Reactivity Notes

Reactivity reported in scientific literature (PMID: 22371574)

Clonality

Polyclonal

Host

Rabbit

Isotype

IgG

Description

Novus Biologicals Rabbit Ketohexokinase Antibody - BSA Free (NBP1-85790) is a polyclonal antibody validated for use in IHC and WB. Anti-Ketohexokinase Antibody: Cited in 3 publications. All Novus Biologicals antibodies are covered by our 100% guarantee.

Scientific Data Images for Ketohexokinase Antibody - BSA Free

Immunohistochemistry-Paraffin: Ketohexokinase Antibody [NBP1-85790]

Immunohistochemistry-Paraffin: Ketohexokinase Antibody [NBP1-85790]

Immunohistochemistry-Paraffin: Ketohexokinase Antibody [NBP1-85790] - Staining in human small intestine and skeletal muscle tissues . Corresponding KHK RNA-seq data are presented for the same tissues.
Immunohistochemistry-Paraffin: Ketohexokinase Antibody [NBP1-85790]

Immunohistochemistry-Paraffin: Ketohexokinase Antibody [NBP1-85790]

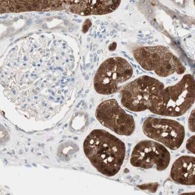
Immunohistochemistry-Paraffin: Ketohexokinase Antibody [NBP1-85790] - Staining of human kidney shows moderate cytoplasmic positivity in cells in tubules.
Immunohistochemistry-Paraffin: Ketohexokinase Antibody [NBP1-85790]

Immunohistochemistry-Paraffin: Ketohexokinase Antibody [NBP1-85790]

Immunohistochemistry-Paraffin: Ketohexokinase Antibody [NBP1-85790] - Staining of human liver shows moderate cytoplasmic positivity in hepatocytes.

Applications for Ketohexokinase Antibody - BSA Free

Application
Recommended Usage

Immunohistochemistry

1:50 - 1:200

Immunohistochemistry-Paraffin

1:50 - 1:200

Western Blot

0.04-0.4 ug/ml
Application Notes
For IHC-Paraffin, HIER pH 6 retrieval is recommended.

Formulation, Preparation, and Storage

Purification

Immunogen affinity purified

Formulation

PBS (pH 7.2) and 40% Glycerol

Format

BSA Free

Preservative

0.02% Sodium Azide

Concentration

Concentrations vary lot to lot. See vial label for concentration. If unlisted please contact technical services.

Shipping

The product is shipped with polar packs. Upon receipt, store it immediately at the temperature recommended below.

Stability & Storage

Store at 4C short term. Aliquot and store at -20C long term. Avoid freeze-thaw cycles.

Background: Ketohexokinase

ketohexokinase encodes ketohexokinase that catalyzes conversion of fructose to fructose-1-phosphate. The product of this gene is the first enzyme with a specialized pathway that catabolizes dietary fructose. Alternatively spliced transcript variants encoding different isoforms have been identified.

Alternate Names

Fructokinase, KHK

Gene Symbol

KHK

Additional Ketohexokinase Products

Product Documents for Ketohexokinase Antibody - BSA Free

Certificate of Analysis

To download a Certificate of Analysis, please enter a lot number in the search box below.

Product Specific Notices for Ketohexokinase Antibody - BSA Free

This product is for research use only and is not approved for use in humans or in clinical diagnosis. Primary Antibodies are guaranteed for 1 year from date of receipt.

Loading...
Loading...
Loading...
Loading...