Ketohexokinase Antibody
Novus Biologicals, part of Bio-Techne | Catalog # NBP1-32778
Key Product Details
Validated by
Orthogonal Validation
Species Reactivity
Human, Mouse, Rat, Porcine
Applications
Immunohistochemistry, Immunohistochemistry-Paraffin, Western Blot
Label
Unconjugated
Antibody Source
Polyclonal Rabbit IgG
Concentration
Concentrations vary lot to lot. See vial label for concentration. If unlisted please contact technical services.
Product Specifications
Immunogen
Full length human Ketohexokinase Recombinant protein.
Reactivity Notes
Dog (85%).
Clonality
Polyclonal
Host
Rabbit
Isotype
IgG
Theoretical MW
33 kDa.
Disclaimer note: The observed molecular weight of the protein may vary from the listed predicted molecular weight due to post translational modifications, post translation cleavages, relative charges, and other experimental factors.
Disclaimer note: The observed molecular weight of the protein may vary from the listed predicted molecular weight due to post translational modifications, post translation cleavages, relative charges, and other experimental factors.
Description
Novus Biologicals Rabbit Ketohexokinase Antibody (NBP1-32778) is a polyclonal antibody validated for use in IHC and WB. All Novus Biologicals antibodies are covered by our 100% guarantee.
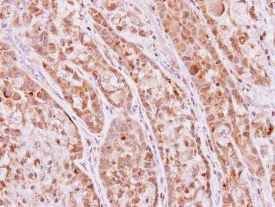
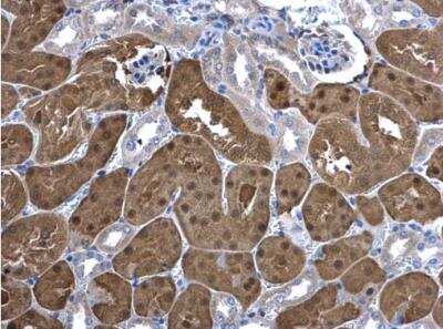
Scientific Data Images for Ketohexokinase Antibody
Western Blot: Ketohexokinase Antibody [NBP1-32778]
Western Blot: Ketohexokinase Antibody [NBP1-32778] - Various whole cell extracts (30 ug) were separated by 12% SDS-PAGE, and the membrane was blotted with Ketohexokinase antibody [N1C3] diluted at 1:1000. The HRP-conjugated anti-rabbit IgG antibody (NBP2-19301) was used to detect the primary antibody.Western Blot: Ketohexokinase Antibody [NBP1-32778]
Western Blot: ketohexokinase Antibody [NBP1-32778] - Sample (20 ug of whole cell lysate) A: mouse Liver 12% SDS PAGE; antibody diluted at 1:10000.Western Blot: Ketohexokinase Antibody [NBP1-32778]
Western Blot: Ketohexokinase Antibody [NBP1-32778] - Various whole cell extracts (30 ug) were separated by 12% SDS-PAGE, and the membrane was blotted with Ketohexokinase antibody diluted at 1:1000. HRP-conjugated anti-rabbit IgG antibody was used to detect the primary antibodyApplications for Ketohexokinase Antibody
Application
Recommended Usage
Immunohistochemistry
1:100-1:1000
Immunohistochemistry-Paraffin
1:100-1:1000
Western Blot
1:1000-1:10000
Formulation, Preparation, and Storage
Purification
Antigen Affinity-purified
Formulation
PBS, 1% BSA, 20% Glycerol
Preservative
0.025% Proclin 300
Concentration
Concentrations vary lot to lot. See vial label for concentration. If unlisted please contact technical services.
Shipping
The product is shipped with polar packs. Upon receipt, store it immediately at the temperature recommended below.
Stability & Storage
Aliquot and store at -20C or -80C. Avoid freeze-thaw cycles.
Background: Ketohexokinase
Alternate Names
Fructokinase, KHK
Gene Symbol
KHK
Additional Ketohexokinase Products
Product Documents for Ketohexokinase Antibody
Product Specific Notices for Ketohexokinase Antibody
This product is for research use only and is not approved for use in humans or in clinical diagnosis. Primary Antibodies are guaranteed for 1 year from date of receipt.
Loading...
Loading...
Loading...
Loading...
⚠ WARNING: This product can expose you to chemicals including mercury, which is known to the State of California to cause reproductive toxicity with developmental effects. For more information go to www.P65Warnings.ca.gov.