Skip to main content

Kallikrein 5 Antibody (KLK5/3845)

Novus Biologicals, part of Bio-Techne | Catalog # NBP3-07860

Novus Biologicals, part of Bio-Techne
Catalog #
Availability
Size / Price
Qty
Loading...
NBP3-07860-100ug
NBP3-07860-20ug

Key Product Details

Species Reactivity

Human

Applications

Immunohistochemistry-Paraffin, Protein Array

Label

Unconjugated

Antibody Source

Monoclonal Mouse IgG2a Kappa Clone # KLK5/3845

Concentration

0.2 mg/ml

Product Specifications

Immunogen

Recombinant fragment of human Kallikrein 5 protein (around aa 36-177) (exact sequence is proprietary) (Uniprot: Q9Y337)

Localization

Secreted

Clonality

Monoclonal

Host

Mouse

Isotype

IgG2a Kappa

Theoretical MW

33 kDa.
Disclaimer note: The observed molecular weight of the protein may vary from the listed predicted molecular weight due to post translational modifications, post translation cleavages, relative charges, and other experimental factors.

Description

200ug/ml of antibody purified from Bioreactor Concentrate by Protein A or G. Prepared in 10 mM PBS with 0.05% BSA & 0.05% azide. Also available WITHOUT BSA & azide at 1.0 mg/ml. (NBP3-08366)

Antibody with azide - store at 2 to 8C. Antibody without azide - store at -20 to -80C.

Scientific Data Images for Kallikrein 5 Antibody (KLK5/3845)

Protein Array: Kallikrein 5 Antibody (KLK5/3845) [NBP3-07860]

Protein Array: Kallikrein 5 Antibody (KLK5/3845) [NBP3-07860]

Protein Array: Kallikrein 5 Antibody (KLK5/3845) [NBP3-07860] - Analysis of Protein Array containing more than 19,000 full-length human proteins using Kallikrein 5 Mouse Monoclonal Antibody (KLK5/3845).
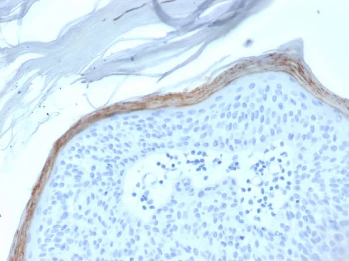
Kallikrein 5 Antibody (KLK5/3845) Immunohistochemistry-Paraffin: Kallikrein 5 Antibody (KLK5/3845) [NBP3-07860] -

Immunohistochemistry-Paraffin: Kallikrein 5 Antibody (KLK5/3845) [NBP3-07860] -

Formalin-fixed, paraffin-embedded human skin stained with Kallikrein 5 Antibody (KLK5/3845).

Applications for Kallikrein 5 Antibody (KLK5/3845)

Application
Recommended Usage

Immunohistochemistry-Paraffin

1-2 ug/ml
Application Notes
Immunohistochemistry (Formalin-fixed): 1-2ug/ml for 30 minutes at RT. Staining of formalin-fixed tissues requires boiling tissue sections in 10mM citrate buffer, pH 6.0, for 10-20 min followed by cooling at RT for 20 minutes.
Optimal dilution for a specific application should be determined.

Formulation, Preparation, and Storage

Purification

Protein A or G purified

Formulation

10 mM PBS with 0.05% BSA

Preservative

0.05% Sodium Azide

Concentration

0.2 mg/ml

Shipping

The product is shipped with polar packs. Upon receipt, store it immediately at the temperature recommended below.

Stability & Storage

Store at 4C.

Background: Kallikrein 5

Kallikreins are a subgroup of serine proteases and are implicated in carcinogenesis. The novel KLK gene, KLK-L2 is expressed in breast, brain, and testis and is up-regulated by estrogens and progestins

Alternate Names

KLK-L2, KLK5, SCTE

Gene Symbol

KLK5

UniProt

Additional Kallikrein 5 Products

Product Documents for Kallikrein 5 Antibody (KLK5/3845)

Certificate of Analysis

To download a Certificate of Analysis, please enter a lot number in the search box below.

Product Specific Notices for Kallikrein 5 Antibody (KLK5/3845)

This product is for research use only and is not approved for use in humans or in clinical diagnosis. Primary Antibodies are guaranteed for 1 year from date of receipt.

Loading...
Loading...
Loading...
Loading...