Skip to main content

Kallikrein 3/PSA Antibody (rKLK3/6947) - Azide and BSA Free

Novus Biologicals, part of Bio-Techne | Catalog # NBP3-20702

Recombinant Monoclonal Antibody
Novus Biologicals, part of Bio-Techne

Key Product Details

Species Reactivity

Human

Applications

Immunohistochemistry-Paraffin

Label

Unconjugated

Antibody Source

Recombinant Monoclonal Mouse IgG1 kappa Clone # rKLK3/6947

Format

Azide and BSA Free

Concentration

1 mg/ml

Product Specifications

Immunogen

Recombinant fragment (around aa150-250) of human Kallikrein 3/PSA protein (exact sequence is proprietary)

Localization

Cytoplasm.

Specificity

This monoclonal antibody is highly specific to PSA and stains prostatic secretory and ductal epithelium in both normal and neoplastic tissues This monoclonal antibody makes an excellent pair with monoclonal antibody 1A7G6B6 for PSA tests

Clonality

Monoclonal

Host

Mouse

Isotype

IgG1 kappa

Description

Positive Controls: PC12 cells. Normal prostate or prostate carcinoma tissues.

Antibody with azide - store at 2 to 8C. Antibody without azide - store at -20 to -80C. Non-hazardous. No MSDS required.

Scientific Data Images for Kallikrein 3/PSA Antibody (rKLK3/6947) - Azide and BSA Free

Kallikrein 3/PSA Antibody (rKLK3/6947) - Azide and BSA Free

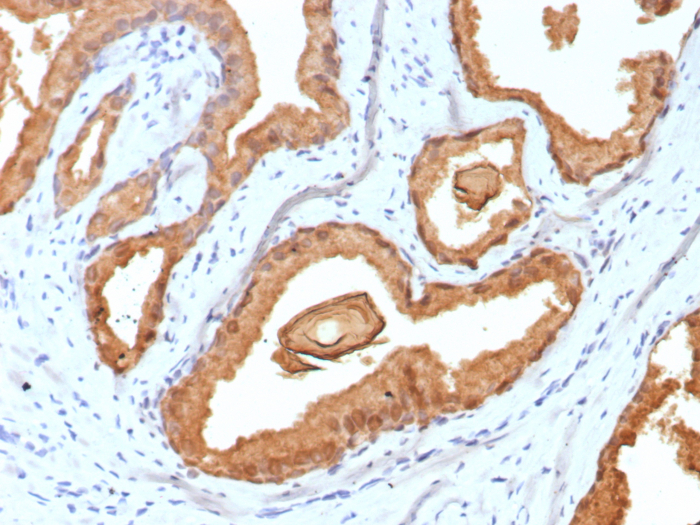
Kallikrein 3/PSA Antibody (rKLK3/6947)

Formalin-fixed, paraffin-embedded human prostate carcinoma stained with Kallikrein 3/PSA antibody (rKLK3/6947). HIER: Tris/EDTA, pH9.0, 45min. Secondary: HRP-polymer, 30min. DAB, 5min.

Applications for Kallikrein 3/PSA Antibody (rKLK3/6947) - Azide and BSA Free

Application
Recommended Usage

Immunohistochemistry-Paraffin

1-2 ug/ml
Application Notes
Immunohistochemistry (Formalin-fixed): 1-2ug/ml for 30 minutes. at RT. Staining of formalin-fixed tissues requires heating tissue sections in 10mM Tris with 1mM EDTA, pH 9.0, for 45 min at 95C followed by cooling at RT for 20 minutes.

Optimal dilution for a specific application should be determined.

Formulation, Preparation, and Storage

Purification

Protein A or G purified

Formulation

10mM PBS

Format

Azide and BSA Free

Preservative

No Preservative

Concentration

1 mg/ml

Shipping

The product is shipped with polar packs. Upon receipt, store it immediately at the temperature recommended below.

Stability & Storage

Store at -20 to -70C. Avoid freeze-thaw cycles.

Background: Kallikrein 3/PSA

PSA is a chymotrypsin-like serine protease (kallikrein family) produced by the prostate epithelium, and abundant in seminal fluid. PSA can be detected in the sera of patients with prostatic carcinoma. It is predominantly complexed to a liverderived serine protease inhibitor, alpha-1-antichymotrypsin (ACT). A higher proportion of serum PSA is complexed to ACT in prostate cancer than in benign prostate hyperplasia.

Alternate Names

KLK3, PSA

Gene Symbol

KLK3

Additional Kallikrein 3/PSA Products

Product Documents for Kallikrein 3/PSA Antibody (rKLK3/6947) - Azide and BSA Free

Certificate of Analysis

To download a Certificate of Analysis, please enter a lot number in the search box below.

Product Specific Notices for Kallikrein 3/PSA Antibody (rKLK3/6947) - Azide and BSA Free

This product is for research use only and is not approved for use in humans or in clinical diagnosis. Primary Antibodies are guaranteed for 1 year from date of receipt.

Loading...
Loading...
Loading...
Loading...