Skip to main content

Jak1 Antibody (JM75-03)

Novus Biologicals, part of Bio-Techne | Catalog # NBP2-75547

Recombinant Monoclonal Antibody.
Novus Biologicals, part of Bio-Techne
Catalog #
Availability
Size / Price
Qty
Loading...
NBP2-75547

Key Product Details

Species Reactivity

Validated:

Human, Mouse, Rat

Cited:

Rat

Applications

Validated:

Immunohistochemistry, Immunohistochemistry-Paraffin, Western Blot, Flow Cytometry

Cited:

Western Blot

Label

Unconjugated

Antibody Source

Recombinant Monoclonal Rabbit IgG Clone # JM75-03 expressed in HEK293

Concentration

1 mg/ml

Product Specifications

Immunogen

Synthetic peptide within Human Jak1 aa 621-670 / 1,154. (SwissProt: P23458 Human; SwissProt: P52332 Mouse; SwissProt: G3V9W2 Rat)

Localization

Endomembrane system.

Clonality

Monoclonal

Host

Rabbit

Isotype

IgG

Theoretical MW

133 kDa.
Disclaimer note: The observed molecular weight of the protein may vary from the listed predicted molecular weight due to post translational modifications, post translation cleavages, relative charges, and other experimental factors.

Description

Novus Biologicals Rabbit Jak1 Antibody (JM75-03) (NBP2-75547) is a recombinant monoclonal antibody validated for use in IHC, WB and Flow. Anti-Jak1 Antibody: Cited in 1 publication. All Novus Biologicals antibodies are covered by our 100% guarantee.

Scientific Data Images for Jak1 Antibody (JM75-03)

Western Blot: Jak1 Antibody (JM75-03) [NBP2-75547]

Western Blot: Jak1 Antibody (JM75-03) [NBP2-75547]

Western Blot: Jak1 Antibody (JM75-03) [NBP2-75547] - Analysis of JAK1 on different lysates with Rabbit anti-JAK1 antibody at 1/500 dilution. Lane 1: SW480 cell lysate Lane 2: HT-29 cell lysate Lysates/proteins at 10 ug/Lane. Predicted band size: 133 kDa Observed band size: 133 kDa Exposure time: 2 minutes; 6% SDS-PAGE gel. Proteins were transferred to a PVDF membrane and blocked with 5% NFDM/TBST for 1 hour at room temperature. The primary antibody at 1/500 dilution was used in 5% NFDM/TBST at room temperature for 2 hours. Goat Anti-Rabbit IgG - HRP Secondary Antibody at 1:300,000 dilution was used for 1 hour at room temperature.
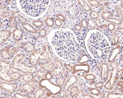
Immunohistochemistry-Paraffin: Jak1 Antibody (JM75-03) [NBP2-75547]

Immunohistochemistry-Paraffin: Jak1 Antibody (JM75-03) [NBP2-75547]

Immunohistochemistry-Paraffin: Jak1 Antibody (JM75-03) [NBP2-75547] - Analysis of paraffin-embedded mouse kidney tissue with Rabbit anti-JAK1 antibody washed with ddH2O and PBS, and then probed with the primary antibody at 1/500 dilution for 1 hour at room temperature. The detection was performed using an HRP conjugated compact polymer system. DAB was used as the chromogen. Tissues were counterstained with hematoxylin and mounted with DPX.
Flow Cytometry: Jak1 Antibody (JM75-03) [NBP2-75547]

Flow Cytometry: Jak1 Antibody (JM75-03) [NBP2-75547]

Flow Cytometry: Jak1 Antibody (JM75-03) [NBP2-75547] - Analysis of SW480 cells with JAK 1 antibody at 1/100 dilution (red) compared with an unlabelled control (cells without incubation with primary antibody; black).

Applications for Jak1 Antibody (JM75-03)

Application
Recommended Usage

Flow Cytometry

1:50-1:100

Immunohistochemistry-Paraffin

1:50-1:500

Western Blot

1:500-1:1000

Formulation, Preparation, and Storage

Purification

Protein A purified

Formulation

TBS (pH7.4), 0.05% BSA, 40% Glycerol

Preservative

0.05% Sodium Azide

Concentration

1 mg/ml

Shipping

The product is shipped with polar packs. Upon receipt, store it immediately at the temperature recommended below.

Stability & Storage

Store at 4C short term. Aliquot and store at -20C long term. Avoid freeze-thaw cycles.

Background: Jak1

Janus kinase 1 (JAK1), is a member of a new class of protein-tyrosine kinases (PTK) characterised by the presence of a second phosphotransferase-related domain immediately N-terminal to the PTK domain. The second phosphotransferase domain bears all the hallmarks of a protein kinase, although its structure differs significantly from that of the PTK and threonine/serine kinase family members. JAK1 is a large, widely expressed membrane-associated phosphoprotein. It is involved in the interferon-alpha/beta and -gamma signal transduction pathways. The reciprocal interdependence between JAK1 and TYK2 activities in the interferon-alpha pathway, and between JAK1 and JAK2 in the interferon-gamma pathway, may reflect a requirement for these kinases in the correct assembly of interferon recpeptor complexes. These kinases couple cytokine ligand binding to tyrosine phosphorylation of various known signalling proteins and a unique family of transcription factors termed the signal transducers and activators of transcription, or STATs.

Long Name

Janus Kinase 1

Alternate Names

EC 2.7.10, JAK-1, JAK1Atyrosine-protein kinase JAK1, JAK1B, Janus kinase 1EC 2.7.10.2, JTK3

Gene Symbol

JAK1

Additional Jak1 Products

Product Documents for Jak1 Antibody (JM75-03)

Certificate of Analysis

To download a Certificate of Analysis, please enter a lot number in the search box below.

Product Specific Notices for Jak1 Antibody (JM75-03)

This product is for research use only and is not approved for use in humans or in clinical diagnosis. Primary Antibodies are guaranteed for 1 year from date of receipt.

Loading...
Loading...
Loading...
Loading...
Loading...