Skip to main content

Jagged 1 Antibody - BSA Free

Novus Biologicals, part of Bio-Techne | Catalog # NB600-1161

Novus Biologicals, part of Bio-Techne
Catalog #
Availability
Size / Price
Qty
Loading...
NB600-1161-0.25mg
NB600-1161

Key Product Details

Species Reactivity

Human, Mouse

Applications

Immunohistochemistry, Immunohistochemistry-Paraffin, Western Blot, ELISA, Immunocytochemistry/ Immunofluorescence

Label

Unconjugated

Antibody Source

Polyclonal Rabbit IgG

Format

BSA Free

Concentration

Please see the vial label for concentration. If unlisted please contact technical services.

Product Specifications

Immunogen

This protein A purified Jagged 1 Antibody was prepared from whole rabbit serum produced by repeated immunizations with a synthetic peptide corresponding to amino acids near the N-terminus of human Jagged-1 protein. (Uniprot: P78504)

Reactivity Notes

A BLAST analysis was used to suggest cross reactivity with Jagged 1 protein from human, chimpanzee, rat and mouse based on 100% homology with the immunizing sequence. Partial reactivity is expected against dog (81%) and Xenopus laevis (85%) based on partial sequence homologies as indicated. Reactivity against homologues from other sources is not known.

Localization

Type I membrane protein.

Clonality

Polyclonal

Host

Rabbit

Isotype

IgG

Description

This protein A purified antibody is directed against human Jagged 1 protein. The product was purified from mono-specific antiserum by affinity chromatography

Store vial at -20C prior to opening. Aliquot contents and freeze at -20C or below for extended storage. Avoid cycles of freezing and thawing. Centrifuge product if not completely clear after standing at room temperature. This product is stable for several weeks at 4C as an undiluted liquid. Dilute only prior to immediate use.

Scientific Data Images for Jagged 1 Antibody - BSA Free

Western Blot: Jagged 1 Antibody [NB600-1161]

Western Blot: Jagged 1 Antibody [NB600-1161]

Western Blot: Jagged 1 Antibody [NB600-1161] - Analysis of Jagged-1 protein in various whole cell lysates: human brain (lane 1), human kidney (lane 2), human liver (lane 3), and mouse liver (lane 5). Lane 4 contained sample buffer only. The band at 134 kDa in lane 5 is believed to be Jagged-1 precursor. The identity of minor reactive bands is unknown. Each lane contains approximately 20 ug of lysate. Primary antibody was used at a 1:500 dilution. The membrane was washed and reacted with a 1:5,000 dilution of HRP conjugated Gt-a-Rabbit IgG. Exposure time was 1 min. Predicted molecular weight is 134 kDa.
Immunocytochemistry/ Immunofluorescence: Jagged 1 Antibody [NB600-1161]

Immunocytochemistry/ Immunofluorescence: Jagged 1 Antibody [NB600-1161]

Immunocytochemistry/Immunofluorescence: Jagged 1 Antibody [NB600-1161]
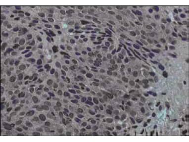
Immunohistochemistry: Jagged 1 Antibody [NB600-1161]

Immunohistochemistry: Jagged 1 Antibody [NB600-1161]

Immunohistochemistry: Jagged 1 Antibody [NB600-1161] - Human cervical cancer tissue (40X magnification) using NB600-1161 Protein A purified anti- Jagged-1 antibody. Tissue was fixed with formalin and embedded in paraffin. Hematoxylin was used to counter-stain cells. A 1:100 dilution of primary antibody was used.

Applications for Jagged 1 Antibody - BSA Free

Application
Recommended Usage

ELISA

1:20000-1:100000

Immunocytochemistry/ Immunofluorescence

1:200-1:1000

Immunohistochemistry

1:100-1:500

Immunohistochemistry-Paraffin

1:10-1:500

Western Blot

1:500-1:2000
Application Notes
This product has been tested for use in ELISA, immunohistochemistry, immunofluorescence microscopy and western blot. Specific conditions for reactivity should be optimized by the end user. Expect a band approximately 150 kDa in size corresponding to Jagged-1 in mouse liver, human liver and human lung whole cell lysates.

Formulation, Preparation, and Storage

Purification

Protein A purified

Formulation

0.02 M Potassium Phosphate, 0.15 M Sodium Chloride, pH 7.2

Format

BSA Free

Preservative

0.01% Sodium Azide

Concentration

Please see the vial label for concentration. If unlisted please contact technical services.

Shipping

The product is shipped with polar packs. Upon receipt, store it immediately at the temperature recommended below.

Stability & Storage

Store at -20C short term. Aliquot and store at -80C long term. Avoid freeze-thaw cycles.

Background: Jagged 1

The jagged 1 protein encoded by JAG1 is the human homolog of the Drosophilia jagged protein. Human jagged 1 is theligand for the receptor notch 1, the latter a human homolog of the Drosophilia jagged receptor notch. Mutations thatalter the jagged 1 protein cause Alagille syndrome. Jagged 1 signalling through notch 1 has also been shown to play arole in hematopoiesis. (provided by RefSeq)

Alternate Names

CD339, JAG1

Entrez Gene IDs

182 (Human); 16449 (Mouse); 29146 (Rat)

Gene Symbol

JAG1

UniProt

Additional Jagged 1 Products

Product Documents for Jagged 1 Antibody - BSA Free

Certificate of Analysis

To download a Certificate of Analysis, please enter a lot number in the search box below.

Product Specific Notices for Jagged 1 Antibody - BSA Free

This product is for research use only and is not approved for use in humans or in clinical diagnosis. Primary Antibodies are guaranteed for 1 year from date of receipt.

Loading...
Loading...
Loading...
Loading...