Skip to main content

IRAK4 Antibody (2H9)

Novus Biologicals, part of Bio-Techne | Catalog # NBP2-37575

Novus Biologicals, part of Bio-Techne
Catalog #
Availability
Size / Price
Qty
Loading...
NBP2-37575
NBP2-37575-0.025ml

Key Product Details

Species Reactivity

Human, Mouse, Monkey

Applications

Validated:

Immunohistochemistry, Immunohistochemistry-Paraffin, Western Blot, ELISA, Flow Cytometry, Immunoprecipitation

Cited:

Immunocytochemistry/ Immunofluorescence, Immunoprecipitation

Label

Unconjugated

Antibody Source

Monoclonal Mouse IgG1 Clone # 2H9

Concentration

This product is unpurified. The exact concentration of antibody is not quantifiable.

Product Specifications

Immunogen

Purified recombinant fragment of human IRAK4 expressed in E. Coli.

Reactivity Notes

Please note that this antibody is reactive to Mouse and derived from the same host, Mouse. Mouse-On-Mouse blocking reagent may be needed for IHC and ICC experiments to reduce high background signal. You can find these reagents under catalog numbers PK-2200-NB and MP-2400-NB. Please contact Technical Support if you have any questions.

Clonality

Monoclonal

Host

Mouse

Isotype

IgG1

Theoretical MW

52 kDa.
Disclaimer note: The observed molecular weight of the protein may vary from the listed predicted molecular weight due to post translational modifications, post translation cleavages, relative charges, and other experimental factors.

Scientific Data Images for IRAK4 Antibody (2H9)

Western Blot: IRAK4 Antibody (2H9)BSA Free [NBP2-37575]

Western Blot: IRAK4 Antibody (2H9)BSA Free [NBP2-37575]

Western Blot: IRAK4 Antibody (2H9) [NBP2-37575] - Analysis using IRAK4 mouse mAb against THP-1 (1), Hela (2), K562 (3), MCF-7 (4), RAW264.7 (5), Jurkat (6) and Cos7 (7) cell lysate.
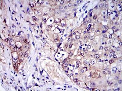
Immunohistochemistry-Paraffin: IRAK4 Antibody (2H9) - BSA Free [NBP2-37575]

Immunohistochemistry-Paraffin: IRAK4 Antibody (2H9) - BSA Free [NBP2-37575]

Immunohistochemistry-Paraffin: IRAK4 Antibody (2H9) [NBP2-37575] - Analysis of human kidney cancer tissues using IRAK4 mouse mAb with DAB staining.
Flow Cytometry: IRAK4 Antibody (2H9) - BSA Free [NBP2-37575]

Flow Cytometry: IRAK4 Antibody (2H9) - BSA Free [NBP2-37575]

Flow Cytometry: IRAK4 Antibody (2H9) [NBP2-37575] - Analysis of Hela cells using IRAK4 mouse mAb (blue) and negative control (red).

Applications for IRAK4 Antibody (2H9)

Application
Recommended Usage

ELISA

1:10000

Flow Cytometry

1:200 - 1:400

Immunohistochemistry

1:200 - 1:1000

Western Blot

1:500 - 1:2000
Application Notes
This IRAK4 Antibody (2H9) is validated for IP from a verified customer review.

Reviewed Applications

Read 1 review rated 5 using NBP2-37575 in the following applications:

Formulation, Preparation, and Storage

Purification

Ascites

Formulation

Ascites

Preservative

0.03% Sodium Azide

Concentration

This product is unpurified. The exact concentration of antibody is not quantifiable.

Shipping

The product is shipped with polar packs. Upon receipt, store it immediately at the temperature recommended below.

Stability & Storage

Store at 4C short term. Aliquot and store at -20C long term. Avoid freeze-thaw cycles.

Background: IRAK4

Interleukin-1 receptor (see IL1R; MIM 147810)-associated kinases (e.g., IRAK1; MIM 300283) are important mediators in the signal transduction of Toll-like receptor (TLR, e.g., TLR4; MIM 603030) and IL1R family members, collectively referred to as TIRs. IRAK4 functions in this signal transduction pathway.[supplied by OMIM]

Long Name

Interleukin-1 Receptor-Associated Kinase 4

Alternate Names

REN64

Gene Symbol

IRAK4

Additional IRAK4 Products

Product Documents for IRAK4 Antibody (2H9)

Certificate of Analysis

To download a Certificate of Analysis, please enter a lot number in the search box below.

Product Specific Notices for IRAK4 Antibody (2H9)

This product is for research use only and is not approved for use in humans or in clinical diagnosis. Primary Antibodies are guaranteed for 1 year from date of receipt.

Loading...
Loading...
Loading...
Loading...
Loading...