Skip to main content

Integrin alpha 8 Antibody (CL7304) - BSA Free

Novus Biologicals, part of Bio-Techne | Catalog # NBP2-76482

Novus Biologicals, part of Bio-Techne
Catalog #
Availability
Size / Price
Qty
Loading...
NBP2-76482-25ul
NBP2-76482

Key Product Details

Validated by

Orthogonal Validation

Species Reactivity

Validated:

Human

Predicted:

Mouse (91%), Rat (91%). Backed by our 100% Guarantee.

Applications

Immunohistochemistry, Immunohistochemistry-Paraffin, Western Blot

Label

Unconjugated

Antibody Source

Monoclonal Mouse IgG1 Clone # CL7304

Format

BSA Free

Concentration

Concentrations vary lot to lot. See vial label for concentration. If unlisted please contact technical services.

Product Specifications

Immunogen

This antibody was developed using a recombinant protein derived from P53708, with the exact immunogen sequence remaining proprietary.

Clonality

Monoclonal

Host

Mouse

Isotype

IgG1

Description

Novus Biologicals Mouse Integrin alpha 8 Antibody (CL7304) - BSA Free (NBP2-76482) is a monoclonal antibody validated for use in IHC and WB. All Novus Biologicals antibodies are covered by our 100% guarantee.

Scientific Data Images for Integrin alpha 8 Antibody (CL7304) - BSA Free

Western Blot: Integrin alpha 8 Antibody (CL7304) [NBP2-76482]

Western Blot: Integrin alpha 8 Antibody (CL7304) [NBP2-76482]

Western Blot: Integrin alpha 8 Antibody (CL7304) [NBP2-76482] - Analysis in human cell line HEK 293.
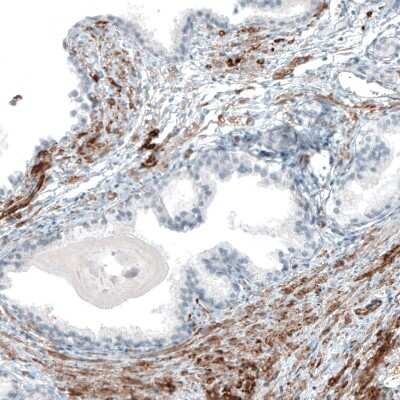
Immunohistochemistry-Paraffin: Integrin alpha 8 Antibody (CL7304) [NBP2-76482]

Immunohistochemistry-Paraffin: Integrin alpha 8 Antibody (CL7304) [NBP2-76482]

Immunohistochemistry-Paraffin: Integrin alpha 8 Antibody (CL7304) [NBP2-76482] - Staining of human prostate shows moderate to strong positivity in smooth muscle cells.
Immunohistochemistry-Paraffin: Integrin alpha 8 Antibody (CL7304) [NBP2-76482]

Immunohistochemistry-Paraffin: Integrin alpha 8 Antibody (CL7304) [NBP2-76482]

Immunohistochemistry-Paraffin: Integrin alpha 8 Antibody (CL7304) [NBP2-76482] - Analysis in human lung and pancreas tissues. Corresponding ITGA8 RNA-seq data are presented for the same tissues.

Applications for Integrin alpha 8 Antibody (CL7304) - BSA Free

Application
Recommended Usage

Immunohistochemistry

1:200 - 1:500

Immunohistochemistry-Paraffin

1:200 - 1:500

Western Blot

1 ug/ml
Application Notes
For IHC-Paraffin, HIER pH 6 retrieval is recommended.

Formulation, Preparation, and Storage

Purification

Protein A purified

Formulation

PBS (pH 7.2) and 40% Glycerol

Format

BSA Free

Preservative

0.02% Sodium Azide

Concentration

Concentrations vary lot to lot. See vial label for concentration. If unlisted please contact technical services.

Shipping

The product is shipped with polar packs. Upon receipt, store it immediately at the temperature recommended below.

Stability & Storage

Store at 4C short term. Aliquot and store at -20C long term. Avoid freeze-thaw cycles.

Background: Integrin alpha 8

ITGA8 is a gene that codes for a protein that functions in the genesis of kidneys and other organs by facilitating the recruitment of mesenchymal cells into epithelial structures as well as working as a neuronal receptor for TNC to regulate neurite outgrowth, and is made up of 1063 amino acids, weighs approximately 117 kDa. Studies are being conducted on several diseases and disorders including keratopathy, carcinoma, kidney disease, laryngitis, Parkinson's disease, glomerulonephritis, Alzheimer's disease, melanoma, hepatitis, and neuronitis. ITGA8 has also been shown to have interactions with FN1, ITGB1, ITGA3, NPNT, and VNT in pathways such as the CDK5, Tec kinases signaling, integrin-mediated cell adhesion, signal transduction, and hypertrophic cardiomyopathy pathways.

Alternate Names

ITGA8

Gene Symbol

ITGA8

Additional Integrin alpha 8 Products

Product Documents for Integrin alpha 8 Antibody (CL7304) - BSA Free

Certificate of Analysis

To download a Certificate of Analysis, please enter a lot number in the search box below.

Product Specific Notices for Integrin alpha 8 Antibody (CL7304) - BSA Free

This product is for research use only and is not approved for use in humans or in clinical diagnosis. Primary Antibodies are guaranteed for 1 year from date of receipt.

Loading...
Loading...
Loading...
Loading...