Skip to main content

Insulin Antibody (IRDN/794) - IHC-Prediluted

Novus Biologicals, part of Bio-Techne | Catalog # NBP2-48242

Novus Biologicals, part of Bio-Techne
Catalog #
Availability
Size / Price
Qty
Loading...
NBP2-48242

Key Product Details

Species Reactivity

Human, Mouse, Rat, Porcine, Bovine

Applications

Immunohistochemistry, Immunohistochemistry-Paraffin

Label

Unconjugated

Antibody Source

Monoclonal Mouse IgG1 kappa Clone # IRDN/794

Format

IHC-Prediluted

Concentration

Please see the vial label for concentration. If unlisted please contact technical services.

Product Specifications

Immunogen

Recombinant Insulin protein (Uniprot: P01308)

Localization

Cytoplasmic

Specificity

Recognizes a polypeptide which is identified as insulin, a 51-amino acid polypeptide composed of A and B chains connected through the C-peptide. Proinsulin, which has very little biological activity, is cleaved by proteases within its cell of origin into the insulin molecule and the C-terminal basic residue. Insulin enhances membrane transport of glucose, amino acids, and certain ions. It also promotes glycogen storage, formation of triglycerides, and synthesis of proteins and nucleic acids. Deficiency of insulin results in diabetes mellitus. The main storage site for insulin is the pancreatic islets. Antibodies to insulin are important as beta-cell and insulinoma marker.

Marker

beta-Cell & Insulinoma Marker

Clonality

Monoclonal

Host

Mouse

Isotype

IgG1 kappa

Theoretical MW

6 kDa.
Disclaimer note: The observed molecular weight of the protein may vary from the listed predicted molecular weight due to post translational modifications, post translation cleavages, relative charges, and other experimental factors.

Description

The prediluted antibody does not require any mixing, dilution, reconstitution, or titration; the antibody is ready-to-use and optimized for staining.

Scientific Data Images for Insulin Antibody (IRDN/794) - IHC-Prediluted

Immunohistochemistry-Paraffin: Insulin Antibody (IRDN/794) - IHC-Prediluted [NBP2-48242]

Immunohistochemistry-Paraffin: Insulin Antibody (IRDN/794) - IHC-Prediluted [NBP2-48242]

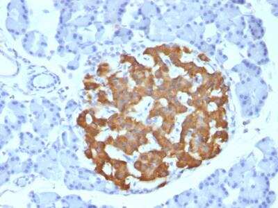
Immunohistochemistry-Paraffin: Insulin Antibody (IRDN/794) - IHC-Prediluted [NBP2-48242] - Insulin IRDN/794 antibody on human pancreas (FFPE), HIER pH 9 antigen retrieval. Image from verified customer review.
Immunohistochemistry-Paraffin: Insulin Antibody (IRDN/794) - IHC-Prediluted [NBP2-48242]

Immunohistochemistry-Paraffin: Insulin Antibody (IRDN/794) - IHC-Prediluted [NBP2-48242]

Immunohistochemistry-Paraffin: Insulin Antibody (IRDN/794) - IHC-Prediluted [NBP2-48242] - Formalin-fixed, paraffin-embedded human Pancreas stained with Insulin Mouse Monoclonal Antibody (IRDN/794).
Immunohistochemistry-Paraffin: Insulin Antibody (IRDN/794) - IHC-Prediluted [NBP2-48242]

Immunohistochemistry-Paraffin: Insulin Antibody (IRDN/794) - IHC-Prediluted [NBP2-48242]

Immunohistochemistry-Paraffin: Insulin Antibody (IRDN/794) - IHC-Prediluted [NBP2-48242] - Formalin-fixed, paraffin-embedded Rat Pancreas stained with Insulin Mouse Monoclonal Antibody (IRDN/794).

Applications for Insulin Antibody (IRDN/794) - IHC-Prediluted

Application
Recommended Usage

Immunohistochemistry

Optimal dilutions of this antibody should be experimentally determined.

Immunohistochemistry-Paraffin

Optimal dilutions of this antibody should be experimentally determined.
Application Notes
Immunohistochemistry (Formalin-fixed): 1-2ug/ml for 30 minutes at RT. Staining of formalin-fixed tissues requires heating tissue sections in 10mM Tris with 1mM EDTA, pH 9.0, for 45 min at 95C followed by cooling at RT for 20 minutes.
Optimal dilution for a specific application should be determined.

Formulation, Preparation, and Storage

Purification

Protein A or G purified

Formulation

10 mM PBS with 0.05% BSA

Format

IHC-Prediluted

Preservative

0.05% Sodium Azide

Concentration

Please see the vial label for concentration. If unlisted please contact technical services.

Shipping

The product is shipped with polar packs. Upon receipt, store it immediately at the temperature recommended below.

Stability & Storage

Store at 4C.

Background: Insulin

After removal of the precursor signal peptide, proinsulin is post-translationally cleaved into two chains (peptide A and peptide B) that are covalently linked via two disulfide bonds. Binding of this mature form of insulin to the insulin receptor (INSR) stimulates glucose uptake. A variety of mutant alleles with changes in the coding region have been identified. There is a read-through gene, INS-IGF2, which overlaps with this gene at the 5' region and with the IGF2 gene at the 3' region. (provided by RefSeq)

Alternate Names

IDDM2, ILPR, INS, IRDN, MODY10

Gene Symbol

INS

Additional Insulin Products

Product Documents for Insulin Antibody (IRDN/794) - IHC-Prediluted

Certificate of Analysis

To download a Certificate of Analysis, please enter a lot number in the search box below.

Product Specific Notices for Insulin Antibody (IRDN/794) - IHC-Prediluted

This product is for research use only and is not approved for use in humans or in clinical diagnosis. Primary Antibodies are guaranteed for 1 year from date of receipt.

Loading...
Loading...
Loading...
Loading...
Loading...