IMP Dehydrogenase 2/IMPDH2 Antibody
Novus Biologicals, part of Bio-Techne | Catalog # NBP2-27195
Key Product Details
Species Reactivity
Validated:
Human, Mouse, Rat, Porcine, Amphibian, Bovine, Canine, Chicken, Chinese Hamster, Equine, Guinea Pig, Opossum, Primate, Rabbit
Predicted:
Chimpanzee (100%), Fish (100%), Orangutan (100%), Zebrafish (100%). Backed by our 100% Guarantee.
Applications
Immunohistochemistry, Immunohistochemistry-Paraffin, Western Blot
Label
Unconjugated
Antibody Source
Polyclonal Rabbit IgG
Concentration
0.5 mg/ml
Product Specifications
Immunogen
Amino acids 221-248 from human IMPDH was used as the immunogen for this antibody.
Reactivity Notes
The amino acid sequence used as immunogen for this antibody is 100% homologous in White-cheeked Gibbon.
Clonality
Polyclonal
Host
Rabbit
Isotype
IgG
Description
Novus Biologicals Rabbit IMP Dehydrogenase 2/IMPDH2 Antibody (NBP2-27195) is a polyclonal antibody validated for use in IHC and WB. All Novus Biologicals antibodies are covered by our 100% guarantee.
Scientific Data Images for IMP Dehydrogenase 2/IMPDH2 Antibody
Western Blot: IMP Dehydrogenase 2/IMPDH2 Antibody [NBP2-27195]
Western Blot: IMP Dehydrogenase 2/IMPDH2 Antibody [NBP2-27195] - Analysis of IMPDH using IMPDH antibody. Jurkat cell lysate in the 1) absence and 2) presence of immunizing peptide probed with 2 ug/ml of IMPDH antibody. Goat anti-rabbit Ig HRP secondary antibody and PicoTect ECL substrate solution were used for this test.Immunohistochemistry-Paraffin: IMP Dehydrogenase 2/IMPDH2 Antibody [NBP2-27195]
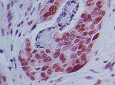
Immunohistochemistry-Paraffin: IMP Dehydrogenase 2/IMPDH2 Antibody [NBP2-27195] - Analysis of IMPDH in human stomach tissue using IMPDH antibody at 5 ug/ml.Applications for IMP Dehydrogenase 2/IMPDH2 Antibody
Application
Recommended Usage
Immunohistochemistry
5ug/ml
Western Blot
2-4ug/ml~
Formulation, Preparation, and Storage
Purification
Protein A purified
Formulation
PBS and 0.05% BSA
Preservative
0.05% Sodium Azide
Concentration
0.5 mg/ml
Shipping
The product is shipped with polar packs. Upon receipt, store it immediately at the temperature recommended below.
Stability & Storage
Store at 4C short term. Aliquot and store at -20C long term. Avoid freeze-thaw cycles.
Background: IMP Dehydrogenase 2/IMPDH2
Long Name
Inosine 5'-Monophosphate Dehydrogenase 2
Alternate Names
IMDH2, IMP Oxireductase 2, IMPD2, IMPDH2
Gene Symbol
IMPDH2
UniProt
Additional IMP Dehydrogenase 2/IMPDH2 Products
Product Documents for IMP Dehydrogenase 2/IMPDH2 Antibody
Product Specific Notices for IMP Dehydrogenase 2/IMPDH2 Antibody
This product is for research use only and is not approved for use in humans or in clinical diagnosis. Primary Antibodies are guaranteed for 1 year from date of receipt.
Loading...
Loading...
Loading...
Loading...