Skip to main content

IMP Dehydrogenase 2/IMPDH2 Antibody - BSA Free

Novus Biologicals, part of Bio-Techne | Catalog # NBP1-86177

Novus Biologicals, part of Bio-Techne
Catalog #
Availability
Size / Price
Qty
Loading...
NBP1-86177
NBP1-86177-25ul

Key Product Details

Validated by

Knockout/Knockdown

Species Reactivity

Validated:

Human

Cited:

Human

Predicted:

Mouse (98%), Rat (98%). Backed by our 100% Guarantee.

Applications

Validated:

Immunohistochemistry, Immunohistochemistry-Paraffin, Western Blot, Immunocytochemistry/ Immunofluorescence, Knockdown Validated

Cited:

Western Blot, IF/IHC

Label

Unconjugated

Antibody Source

Polyclonal Rabbit IgG

Format

BSA Free

Concentration

Concentrations vary lot to lot. See vial label for concentration. If unlisted please contact technical services.

Product Specifications

Immunogen

This antibody was developed against Recombinant Protein corresponding to amino acids: GFITDPVVLSPKDRVRDVFEAKARHGFCGIPITDTGRMGSRLVGIISSRDIDFLKEEEHDCFLEEIMTKREDLVVAPAGITLKEANEILQRSKKGKLPIVNEDDELVAIIARTDLKKNRDYPLASKD

Reactivity Notes

Human reactivity reported in scientific literature (PMID: 24139804).

Clonality

Polyclonal

Host

Rabbit

Isotype

IgG

Theoretical MW

56 kDa.
Disclaimer note: The observed molecular weight of the protein may vary from the listed predicted molecular weight due to post translational modifications, post translation cleavages, relative charges, and other experimental factors.

Scientific Data Images for IMP Dehydrogenase 2/IMPDH2 Antibody - BSA Free

Immunocytochemistry/ Immunofluorescence: IMP Dehydrogenase 2/IMPDH2 Antibody [NBP1-86177]

Immunocytochemistry/ Immunofluorescence: IMP Dehydrogenase 2/IMPDH2 Antibody [NBP1-86177]

Immunocytochemistry/Immunofluorescence: IMP Dehydrogenase 2/IMPDH2 Antibody [NBP1-86177] - Staining of human cell line A-431 shows localization to cytosol & rods & rings.
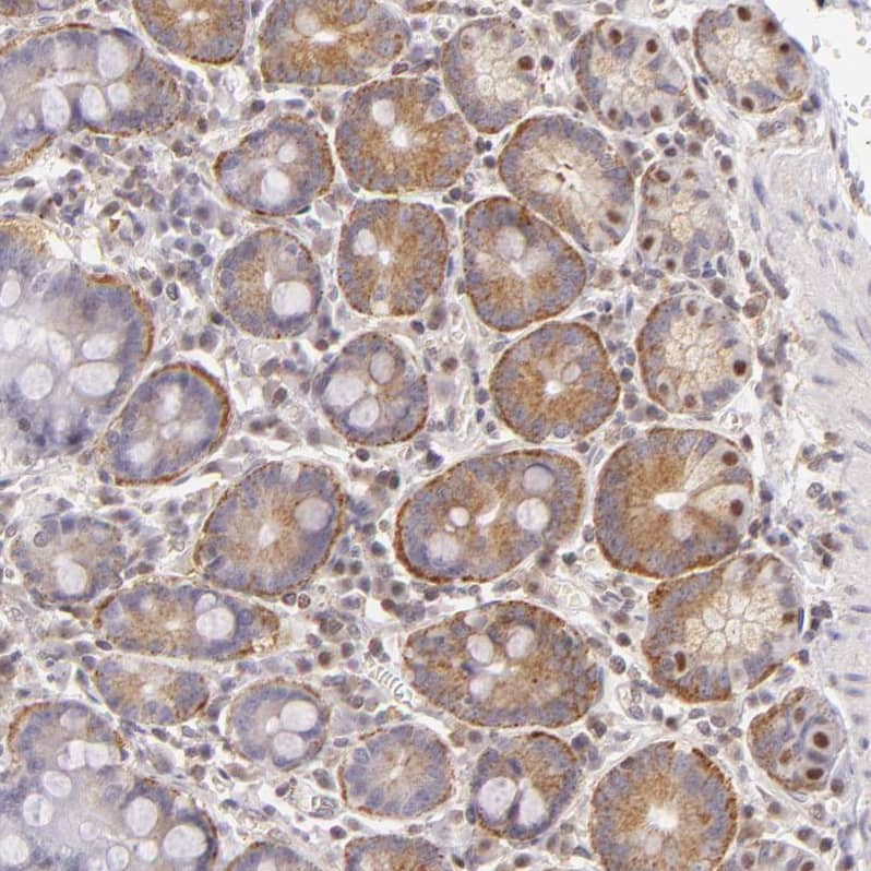
IMP Dehydrogenase 2/IMPDH2 Antibody - BSA Free Immunohistochemistry-Paraffin: IMP Dehydrogenase 2/IMPDH2 Antibody - BSA Free [NBP1-86177]

Immunohistochemistry-Paraffin: IMP Dehydrogenase 2/IMPDH2 Antibody - BSA Free [NBP1-86177]

Staining of human small intestine shows strong cytoplasmic positivity in glandular cells.
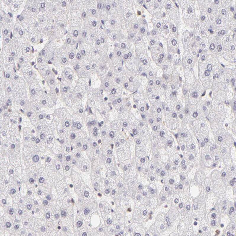
IMP Dehydrogenase 2/IMPDH2 Antibody - BSA Free Immunohistochemistry-Paraffin: IMP Dehydrogenase 2/IMPDH2 Antibody - BSA Free [NBP1-86177]

Immunohistochemistry-Paraffin: IMP Dehydrogenase 2/IMPDH2 Antibody - BSA Free [NBP1-86177]

Staining of human liver shows no cytoplasmic positivity in hepatocytes as expected.

Applications for IMP Dehydrogenase 2/IMPDH2 Antibody - BSA Free

Application
Recommended Usage

Immunocytochemistry/ Immunofluorescence

0.25-2 ug/ml

Immunohistochemistry

1:500 - 1:1000

Immunohistochemistry-Paraffin

1:200-1:500

Western Blot

0.04 - 0.4 ug/ml
Application Notes
IHC reported in scientific literature (PMID: 24139804). For IHC-Paraffin, HIER pH 6 retrieval is recommended. Immunocytochemistry/Immunofluorescence Fixation Permeabilization: Use PFA/Triton X-100.

Formulation, Preparation, and Storage

Purification

Affinity purified

Formulation

PBS (pH 7.2) and 40% Glycerol

Format

BSA Free

Preservative

0.02% Sodium Azide

Concentration

Concentrations vary lot to lot. See vial label for concentration. If unlisted please contact technical services.

Shipping

The product is shipped with polar packs. Upon receipt, store it immediately at the temperature recommended below.

Stability & Storage

Store at 4C short term. Aliquot and store at -20C long term. Avoid freeze-thaw cycles.

Background: IMP Dehydrogenase 2/IMPDH2

IMPDH2 encodes the rate-limiting enzyme in the de novo guanine nucleotide biosynthesis. It is thus involved in maintaining cellular guanine deoxy- and ribonucleotide pools needed for DNA and RNA synthesis. The encoded protein catalyzes the NAD-dependent oxidation of inosine-5'-monophosphate into xanthine-5'-monophosphate, which is then converted into guanosine-5'-monophosphate. This gene is up-regulated in some neoplasms, suggesting it may play a role in malignant transformation.

Long Name

Inosine 5'-Monophosphate Dehydrogenase 2

Alternate Names

IMDH2, IMP Oxireductase 2, IMPD2, IMPDH2

Entrez Gene IDs

3615 (Human)

Gene Symbol

IMPDH2

UniProt

Additional IMP Dehydrogenase 2/IMPDH2 Products

Product Documents for IMP Dehydrogenase 2/IMPDH2 Antibody - BSA Free

Certificate of Analysis

To download a Certificate of Analysis, please enter a lot number in the search box below.

Product Specific Notices for IMP Dehydrogenase 2/IMPDH2 Antibody - BSA Free

This product is for research use only and is not approved for use in humans or in clinical diagnosis. Primary Antibodies are guaranteed for 1 year from date of receipt.

Loading...
Loading...
Loading...
Loading...