IL-23A/IL-23 P19 Antibody - BSA Free
Novus Biologicals, part of Bio-Techne | Catalog # NBP1-76697
Conjugate
Catalog #
Key Product Details
Validated by
Tagged Protein Expression
Species Reactivity
Validated:
Human, Mouse
Predicted:
Equine (94%). Backed by our 100% Guarantee.
Applications
Immunohistochemistry, Immunohistochemistry-Paraffin, Western Blot, ELISA, Immunocytochemistry/ Immunofluorescence
Label
Unconjugated
Antibody Source
Polyclonal Rabbit IgG
Format
BSA Free
Concentration
1 mg/ml
Product Specifications
Immunogen
Antibody was raised against a peptide corresponding to 17 amino acids near the amino terminus of human IL-23. The immunogen is located within amino acids 40 - 90 of IL-23. Amino Acid Squence: REEGDEETTNDVPHIQC
Reactivity Notes
Immunogen displays the following percentage of sequence identity for non-tested species: Pig (82%)
Clonality
Polyclonal
Host
Rabbit
Isotype
IgG
Theoretical MW
22 kDa.
Disclaimer note: The observed molecular weight of the protein may vary from the listed predicted molecular weight due to post translational modifications, post translation cleavages, relative charges, and other experimental factors.
Disclaimer note: The observed molecular weight of the protein may vary from the listed predicted molecular weight due to post translational modifications, post translation cleavages, relative charges, and other experimental factors.
Scientific Data Images for IL-23A/IL-23 P19 Antibody - BSA Free
Western Blot: IL-23A/IL-23 P19 AntibodyBSA Free [NBP1-76697]
Western Blot: IL-23A/IL-23 P19 Antibody [NBP1-76697] - Western Blot Validation in Mouse Tissue Lysate. Loading: 15 ug of lysates per lane. Antibodies: IL-23A/IL-23 P19 NBP1-76697 (1 ug/mL), 1h incubation at RT in 5% NFDM/TBST. Secondary: Goat anti-rabbit IgG HRP conjugate at 1:10000 dilution.Immunohistochemistry-Paraffin: IL-23A/IL-23 P19 Antibody - BSA Free [NBP1-76697]
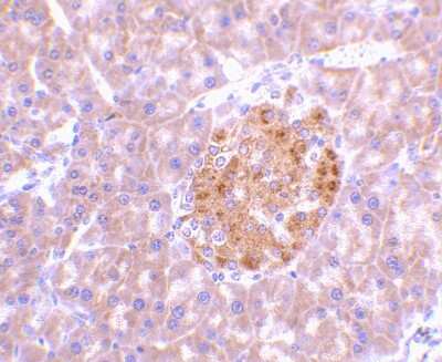
Immunohistochemistry-Paraffin: IL-23A/IL-23 P19 Antibody [NBP1-76697] - Mouse pancreas tissue with IL23 P19 antibody at 2 ug/ml.Western Blot: IL-23A/IL-23 P19 AntibodyBSA Free [NBP1-76697]
Western Blot: IL-23A/IL-23 P19 Antibody [NBP1-76697] - Mouse pancreas tissue lysate with IL-23 P19antibody at (A) 1 and (B) 2 ug/ml.Applications for IL-23A/IL-23 P19 Antibody - BSA Free
Application
Recommended Usage
ELISA
1:100-1:2000
Immunocytochemistry/ Immunofluorescence
20 ug/mL
Immunohistochemistry
2 ug/ml
Immunohistochemistry-Paraffin
2 ug/ml
Western Blot
0.25-2 ug/ml
Formulation, Preparation, and Storage
Purification
Peptide affinity purified
Formulation
PBS
Format
BSA Free
Preservative
0.02% Sodium Azide
Concentration
1 mg/ml
Shipping
The product is shipped with polar packs. Upon receipt, store it immediately at the temperature recommended below.
Stability & Storage
Store at 4C.
Background: IL-23
Long Name
Interleukin 23
Alternate Names
IL-23 p19/IL-12 p40, IL-23p19/IL-12p40, IL23, SGRF
Gene Symbol
IL23A
UniProt
Additional IL-23 Products
Product Documents for IL-23A/IL-23 P19 Antibody - BSA Free
Product Specific Notices for IL-23A/IL-23 P19 Antibody - BSA Free
This product is for research use only and is not approved for use in humans or in clinical diagnosis. Primary Antibodies are guaranteed for 1 year from date of receipt.
Loading...
Loading...
Loading...
Loading...