IL-17/IL-17A Antibody - BSA Free
Novus Biologicals, part of Bio-Techne | Catalog # NBP1-76337
Conjugate
Catalog #
Key Product Details
Species Reactivity
Validated:
Human, Mouse, Rhesus Macaque
Cited:
Human, Mouse, Primate - Macaca mulatta (Rhesus Macaque)
Applications
Validated:
Immunohistochemistry, Immunohistochemistry-Paraffin, Western Blot, ELISA, Immunocytochemistry/ Immunofluorescence
Cited:
Immunohistochemistry-Paraffin, Western Blot, ELISA, IF/IHC
Label
Unconjugated
Antibody Source
Polyclonal Rabbit IgG
Format
BSA Free
Concentration
1 mg/ml
Product Specifications
Immunogen
Antibody was raised against a peptide corresponding to 16 amino acids near the center of mature human IL-17. The immunogen is located within amino acids 50-100 of IL-17.
Reactivity Notes
Immunogen displays the following percentage of sequence identity for non-tested species: Bovine: (84%), Rat: (81%). Use in Rhesus Macaque reported in scientific literature (PMID:32277724).
Clonality
Polyclonal
Host
Rabbit
Isotype
IgG
Description
Novus Biologicals Rabbit IL-17/IL-17A Antibody - BSA Free (NBP1-76337) is a polyclonal antibody validated for use in IHC, WB, ELISA and ICC/IF. Anti-IL-17/IL-17A Antibody: Cited in 10 publications. All Novus Biologicals antibodies are covered by our 100% guarantee.
Scientific Data Images for IL-17/IL-17A Antibody - BSA Free
Western Blot: IL-17/IL-17A AntibodyBSA Free [NBP1-76337]
Western Blot: IL-17/IL-17A Antibody [NBP1-76337] - Analysis of 1 ng of recombinant human IL-17 with IL-17 antibody at 1 ug/ml.Western Blot: IL-17/IL-17A AntibodyBSA Free [NBP1-76337]
Western Blot: IL-17/IL-17A Antibody [NBP1-76337] - Loading: 10 ug of lysates per lane. Antibodies: IL-17 4887, 1h incubation at RT in 5% NFDM/TBST. Secondary: Goat anti-rabbit IgG HRP conjugate at 1:10000 dilution.Exposure: 1 min Lane 1: 1 ug/mL Lane 2: 2 ug/mLImmunohistochemistry: IL-17/IL-17A Antibody - BSA Free [NBP1-76337] -
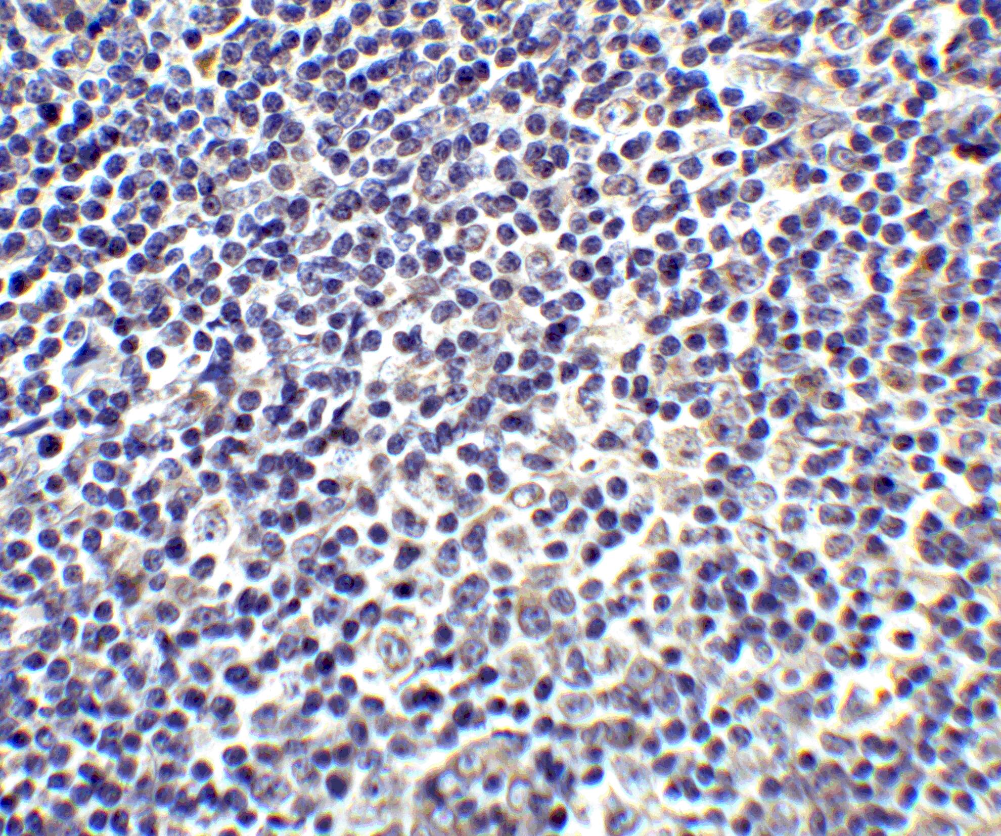
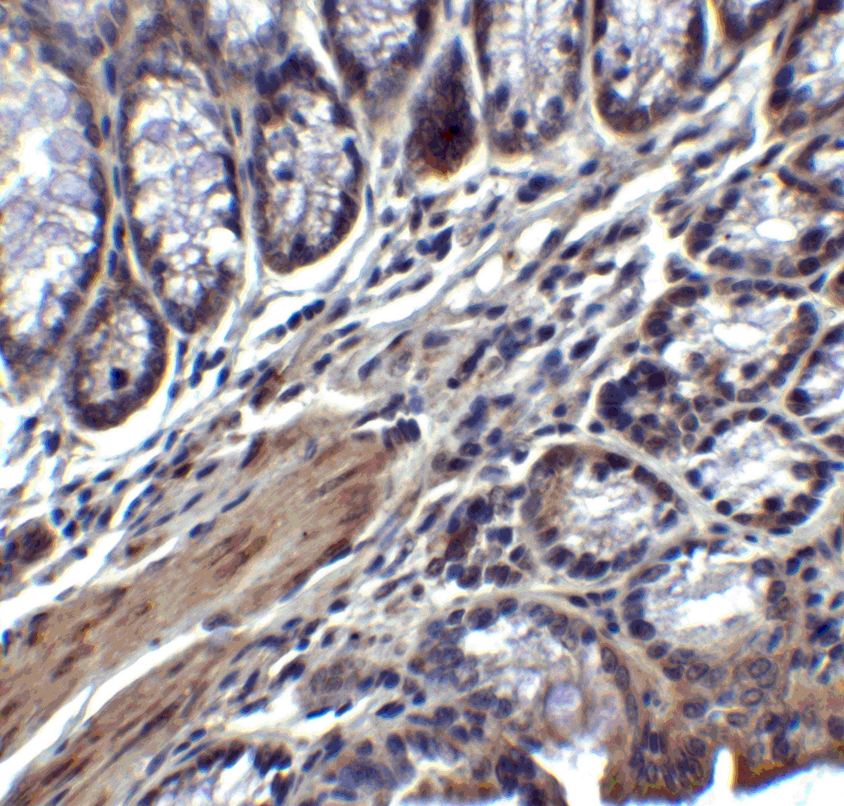
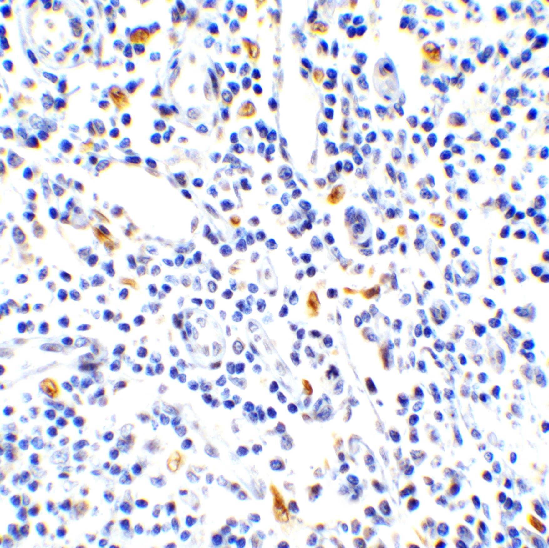
Immunohistochemistry: IL-17/IL-17A Antibody - BSA Free [NBP1-76337] - Validation of IL-17/IL-17A in Mouse Colon Tissue. Immunohistochemical analysis of paraffin-embedded mouse colon tissue using anti-IL-17/IL-17A antibody at 2 ug/mL. Tissue was fixed with formaldehyde and blocked with 10% serum for 1 h at RT; antigen retrieval was by heat mediation with a citrate buffer (pH6). Samples were incubated with primary antibody overnight at 4C. A goat anti-rabbit IgG H&L (HRP) at 1/250 was used as secondary. Counter stained with Hematoxylin.Applications for IL-17/IL-17A Antibody - BSA Free
Application
Recommended Usage
ELISA
1:100-1:2000
Immunocytochemistry/ Immunofluorescence
5-20 ug/ml
Immunohistochemistry
1-5 ug/ml
Immunohistochemistry-Paraffin
1-5 ug/ml
Western Blot
0.125-2 ug/mL
Formulation, Preparation, and Storage
Purification
Peptide affinity purified
Formulation
PBS
Format
BSA Free
Preservative
0.02% Sodium Azide
Concentration
1 mg/ml
Shipping
The product is shipped with polar packs. Upon receipt, store it immediately at the temperature recommended below.
Stability & Storage
Store at 4C.
Background: IL-17/IL-17A
Long Name
Interleukin 17
Alternate Names
CTLA-8, CTLA8, IL-17A, IL17, IL17A
Gene Symbol
IL17A
UniProt
Additional IL-17/IL-17A Products
Product Documents for IL-17/IL-17A Antibody - BSA Free
Product Specific Notices for IL-17/IL-17A Antibody - BSA Free
This product is for research use only and is not approved for use in humans or in clinical diagnosis. Primary Antibodies are guaranteed for 1 year from date of receipt.
Loading...
Loading...
Loading...
Loading...
Loading...