Skip to main content

Ikaros/IKZF1 Antibody - BSA Free

Novus Biologicals, part of Bio-Techne | Catalog # NBP2-38242

Novus Biologicals, part of Bio-Techne
Catalog #
Availability
Size / Price
Qty
Loading...
NBP2-38242

Key Product Details

Validated by

Orthogonal Validation, Independent Antibodies

Species Reactivity

Validated:

Human

Predicted:

Mouse (94%), Rat (92%). Backed by our 100% Guarantee.

Applications

Immunohistochemistry, Immunohistochemistry-Paraffin, Simple Western, Western Blot

Label

Unconjugated

Antibody Source

Polyclonal Rabbit IgG

Format

BSA Free

Concentration

Concentrations vary lot to lot. See vial label for concentration. If unlisted please contact technical services.

Product Specifications

Immunogen

This antibody was developed against a recombinant protein corresponding to amino acids: DADEGQDMSQVSGKESPPVSDTPDEGDEPMPIPEDLSTTSGGQQSSKSDRVVASNVKVETQSDEENGRACEMNGEECAEDLRMLDASGEKMNGSH

Clonality

Polyclonal

Host

Rabbit

Isotype

IgG

Description

Novus Biologicals Rabbit Ikaros/IKZF1 Antibody - BSA Free (NBP2-38242) is a polyclonal antibody validated for use in IHC, WB and Simple Western. All Novus Biologicals antibodies are covered by our 100% guarantee.

Scientific Data Images for Ikaros/IKZF1 Antibody - BSA Free

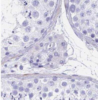
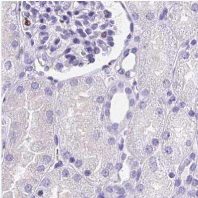
Immunohistochemistry-Paraffin: Ikaros/IKZF1 Antibody [NBP2-38242]

Immunohistochemistry-Paraffin: Ikaros/IKZF1 Antibody [NBP2-38242]

Immunohistochemistry-Paraffin: Ikaros/IKZF1 Antibody [NBP2-38242] - Staining in human tonsil and cerebral cortex tissues using anti-IKZF1 antibody. Corresponding IKZF1 RNA-seq data are presented for the same tissues.
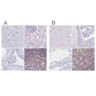
Immunohistochemistry-Paraffin: Ikaros/IKZF1 Antibody [NBP2-38242]

Immunohistochemistry-Paraffin: Ikaros/IKZF1 Antibody [NBP2-38242]

Immunohistochemistry-Paraffin: Ikaros/IKZF1 Antibody [NBP2-38242] - Staining of human cerebral cortex, kidney, testis and tonsil using Anti-IKZF1 antibody NBP2-38242 (A) shows similar protein distribution across tissues to independent antibody NBP2-38241 (B).
Western Blot: Ikaros/IKZF1 Antibody [NBP2-38242]

Western Blot: Ikaros/IKZF1 Antibody [NBP2-38242]

Western Blot: Ikaros/IKZF1 Antibody [NBP2-38242] - Lane 1: Marker [kDa] 230, 130, 95, 72, 56, 36, 28, 17, 11. Lane 2: Human cell line RT-4. Lane 3: Human cell line U-251MG

Applications for Ikaros/IKZF1 Antibody - BSA Free

Application
Recommended Usage

Immunohistochemistry

1:500 -1:1000

Immunohistochemistry-Paraffin

1:500 - 1:1000

Simple Western

1:50

Western Blot

0.04-0.4 ug/ml
Application Notes
For IHC-Paraffin, HIER pH 6 retrieval is recommended. See Simple Western Antibody Database for Simple Western validation: RPMI 8266 cell line at 1.0 mg/ml as sample; separated by size; antibody dilution of 1:50; observed molecular weight was 35-77 kDa; matrix was 12-230 kDa; detected by Chemiluminescence.

Formulation, Preparation, and Storage

Purification

Immunogen affinity purified

Formulation

PBS (pH 7.2) and 40% Glycerol

Format

BSA Free

Preservative

0.02% Sodium Azide

Concentration

Concentrations vary lot to lot. See vial label for concentration. If unlisted please contact technical services.

Shipping

The product is shipped with polar packs. Upon receipt, store it immediately at the temperature recommended below.

Stability & Storage

Store at 4C short term. Aliquot and store at -20C long term. Avoid freeze-thaw cycles.

Background: Ikaros

Transcription regulator of hematopoietic cell differentiation. Binds gamma-satellite DNA. Binds with higher affinity to gamma satellite A. Plays a role in the development of lymphocytes, B- and T-cells. Binds and activates the enhancer (delta-A element) of the CD3-delta gene. Repressor of the TDT (terminal deoxynucleotidyltransferase) gene during thymocyte differentiation. Regulates transcription through association with both HDAC-dependent and HDAC-independent complexes. Targets the 2 chromatin-remodeling complexes, NuRD and BAF (SWI/SNF), in a single complex (PYR complex), to the beta-globin locus in adult erythrocytes. Increases normal apoptosis in adult erythroid cells. Confers early temporal competence to retinal progenitor cells (RPCs)

Long Name

DNA-binding protein Ikaros

Alternate Names

IK1, IKZF1, LyF-1, LYF1, PRO0758, ZNFN1A1

Gene Symbol

IKZF1

UniProt

Additional Ikaros Products

Product Documents for Ikaros/IKZF1 Antibody - BSA Free

Certificate of Analysis

To download a Certificate of Analysis, please enter a lot number in the search box below.

Product Specific Notices for Ikaros/IKZF1 Antibody - BSA Free

This product is for research use only and is not approved for use in humans or in clinical diagnosis. Primary Antibodies are guaranteed for 1 year from date of receipt.

Loading...
Loading...
Loading...
Loading...