Skip to main content

Ikaros/IKZF1 Antibody (S08-5E4)

Novus Biologicals, part of Bio-Techne | Catalog # NBP3-19660

Recombinant Monoclonal Antibody
Novus Biologicals, part of Bio-Techne
Catalog #
Availability
Size / Price
Qty
Loading...
NBP3-19660-100ul
NBP3-19660-50ul

Key Product Details

Species Reactivity

Human, Mouse, Rat

Applications

Immunohistochemistry, Immunohistochemistry-Paraffin, Western Blot

Label

Unconjugated

Antibody Source

Recombinant Monoclonal Rabbit IgG Clone # S08-5E4 expressed in HEK293

Concentration

0.3 mg/ml

Product Specifications

Immunogen

A synthetic peptide of human Ikaros/IKZF1 (Uniprot # Q13422)

Clonality

Monoclonal

Host

Rabbit

Isotype

IgG

Description

Novus Biologicals Rabbit Ikaros/IKZF1 Antibody (S08-5E4) (NBP3-19660) is a recombinant monoclonal antibody validated for use in IHC and WB. All Novus Biologicals antibodies are covered by our 100% guarantee.

Scientific Data Images for Ikaros/IKZF1 Antibody (S08-5E4)

Western Blot: Ikaros/IKZF1 Antibody (S08-5E4) [NBP3-19660]

Western Blot: Ikaros/IKZF1 Antibody (S08-5E4) [NBP3-19660]

Western Blot: Ikaros/IKZF1 Antibody (S08-5E4) [NBP3-19660] - Western blot detection of Ikaros/IKZF1 in CHO-K1, Jurkat cell lysates using NBP3-19660 (1:500 diluted). Predicted band size: 58kDa. Observed band size: 50-70kDa.
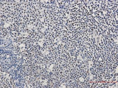
Immunohistochemistry-Paraffin: Ikaros/IKZF1 Antibody (S08-5E4) [NBP3-19660]

Immunohistochemistry-Paraffin: Ikaros/IKZF1 Antibody (S08-5E4) [NBP3-19660]

Immunohistochemistry-Paraffin: Ikaros/IKZF1 Antibody (S08-5E4) [NBP3-19660] - Immunohistochemistry of Ikaros/IKZF1 in paraffin-embedded Human tonsil using NBP3-19660 at dilution 1/50

Applications for Ikaros/IKZF1 Antibody (S08-5E4)

Application
Recommended Usage

Immunohistochemistry

1/200

Western Blot

1/2000

Formulation, Preparation, and Storage

Purification

Affinity purified

Formulation

50mM Tris-Glycine(pH 7.4), 0.15M NaCl, 40% Glycerol, 0.05% BSA

Preservative

0.01% Sodium Azide

Concentration

0.3 mg/ml

Shipping

The product is shipped with polar packs. Upon receipt, store it immediately at the temperature recommended below.

Stability & Storage

Store at 4C short term. Aliquot and store at -20C long term. Avoid freeze-thaw cycles.

Background: Ikaros

Transcription regulator of hematopoietic cell differentiation. Binds gamma-satellite DNA. Binds with higher affinity to gamma satellite A. Plays a role in the development of lymphocytes, B- and T-cells. Binds and activates the enhancer (delta-A element) of the CD3-delta gene. Repressor of the TDT (terminal deoxynucleotidyltransferase) gene during thymocyte differentiation. Regulates transcription through association with both HDAC-dependent and HDAC-independent complexes. Targets the 2 chromatin-remodeling complexes, NuRD and BAF (SWI/SNF), in a single complex (PYR complex), to the beta-globin locus in adult erythrocytes. Increases normal apoptosis in adult erythroid cells. Confers early temporal competence to retinal progenitor cells (RPCs)

Long Name

DNA-binding protein Ikaros

Alternate Names

IK1, IKZF1, LyF-1, LYF1, PRO0758, ZNFN1A1

Gene Symbol

IKZF1

Additional Ikaros Products

Product Documents for Ikaros/IKZF1 Antibody (S08-5E4)

Certificate of Analysis

To download a Certificate of Analysis, please enter a lot number in the search box below.

Product Specific Notices for Ikaros/IKZF1 Antibody (S08-5E4)

This product is for research use only and is not approved for use in humans or in clinical diagnosis. Primary Antibodies are guaranteed for 1 year from date of receipt.

Loading...
Loading...
Loading...
Loading...