Skip to main content

IGF2BP1 Antibody - BSA Free

Novus Biologicals, part of Bio-Techne | Catalog # NBP2-38956

Catalog #
Availability
Size / Price
Qty
Loading...
NBP2-38956
NBP2-38956-25ul

Key Product Details

Validated by

Orthogonal Validation, Independent Antibodies

Species Reactivity

Validated:

Human

Predicted:

Mouse (96%), Rat (100%). Backed by our 100% Guarantee.

Applications

Immunohistochemistry, Immunohistochemistry-Paraffin, Western Blot, Simple Western, Chromatin Immunoprecipitation

Label

Unconjugated

Antibody Source

Polyclonal Rabbit IgG

Format

BSA Free

Concentration

Concentrations vary lot to lot. See vial label for concentration. If unlisted please contact technical services.

Product Specifications

Immunogen

This antibody was developed against a recombinant protein corresponding to amino acids: HALKVSYIPDEQIAQGPENGRRGGFGSRGQPRQGSPVAAGAPAKQQQVDI

Clonality

Polyclonal

Host

Rabbit

Isotype

IgG

Scientific Data Images for IGF2BP1 Antibody - BSA Free

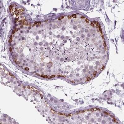
Immunohistochemistry-Paraffin: IGF2BP1 Antibody [NBP2-38956]

Immunohistochemistry-Paraffin: IGF2BP1 Antibody [NBP2-38956]

Immunohistochemistry-Paraffin: IGF2BP1 Antibody [NBP2-38956] - Staining in human testis and liver tissues using NBP2-38956 antibody. Corresponding IGF2BP1 RNA-seq data are presented for the same tissues.
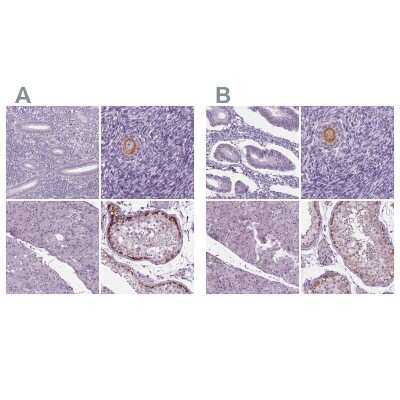
Immunohistochemistry-Paraffin: IGF2BP1 Antibody [NBP2-38956]

Immunohistochemistry-Paraffin: IGF2BP1 Antibody [NBP2-38956]

Immunohistochemistry-Paraffin: IGF2BP1 Antibody [NBP2-38956] - Staining of human endometrium, ovary, pancreas and testis using Anti-IGF2BP1 antibody NBP2-38956 (A) shows similar protein distribution across tissues to independent antibody NBP1-83108 (B).
Western Blot: IGF2BP1 Antibody [NBP2-38956]

Western Blot: IGF2BP1 Antibody [NBP2-38956]

Western Blot: IGF2BP1 Antibody [NBP2-38956] - Lane 1: Marker [kDa] 250, 130, 100, 70, 55, 35, 25, 15, 10
Lane 2: Human cell line CACO-2

Applications for IGF2BP1 Antibody - BSA Free

Application
Recommended Usage

Chromatin Immunoprecipitation

1-10µg per reaction

Immunohistochemistry

1:500 - 1:1000

Immunohistochemistry-Paraffin

1:500 - 1:1000

Simple Western

1:10

Western Blot

0.04-0.4 ug/ml
Application Notes
IHC-Paraffin, HIER pH 6 retrieval is recommended. In Simple Western only 10-15 uL of the recommended dilution is used per data point.
See Simple Western Antibody Database for Simple Western validation: Tested in HT-29 and HCT 116 lysates, separated by Size, antibody dilution of 1:1

Formulation, Preparation, and Storage

Purification

Affinity purified

Formulation

PBS (pH 7.2) and 40% Glycerol

Format

BSA Free

Preservative

0.02% Sodium Azide

Concentration

Concentrations vary lot to lot. See vial label for concentration. If unlisted please contact technical services.

Shipping

The product is shipped with polar packs. Upon receipt, store it immediately at the temperature recommended below.

Stability & Storage

Store at 4C short term. Aliquot and store at -20C long term. Avoid freeze-thaw cycles.

Background: IGF2BP1

The IGF2BP1 gene encodes a member of the insulin-like growth factor 2 mRNA-binding protein family. The protein encoded by this gene contains four K homology domains and two RNA recognition motifs. It functions by binding to the mRNAs of certain genes, including

Alternate Names

Coding region determinant-binding protein, CRD-BP, CRDBPIGF-II mRNA-binding protein 1, IGF II mRNA binding protein 1, IMP1, IMP-1ZBP-1, insulin-like growth factor 2 mRNA binding protein 1, insulin-like growth factor 2 mRNA-binding protein 1, VICKZ family member 1, VICKZ1, ZBP1IGF2 mRNA-binding protein 1, Zip code-binding protein 1, Zipcode-binding protein 1

Gene Symbol

IGF2BP1

UniProt

Additional IGF2BP1 Products

Product Documents for IGF2BP1 Antibody - BSA Free

Certificate of Analysis

To download a Certificate of Analysis, please enter a lot number in the search box below.

Product Specific Notices for IGF2BP1 Antibody - BSA Free

This product is for research use only and is not approved for use in humans or in clinical diagnosis. Primary Antibodies are guaranteed for 1 year from date of receipt.

Loading...
Loading...
Loading...
Loading...