Skip to main content

IGF2BP1 Antibody

Novus Biologicals, part of Bio-Techne | Catalog # NBP1-52044

Catalog #
Availability
Size / Price
Qty
Loading...
NBP1-52044

Key Product Details

Species Reactivity

Human

Applications

Immunohistochemistry, Immunohistochemistry-Paraffin, Western Blot, Peptide ELISA

Label

Unconjugated

Antibody Source

Polyclonal Goat IgG

Concentration

0.5 mg/ml

Product Specifications

Immunogen

Peptide with sequence C-EKVFAEHKISYSGQ corresponding to internal region according to NP_001153895.1.

Epitope

C-EKVFAEHKISYSGQ

Reactivity Notes

Expected from sequence similarity: Mouse, Rat, Canine, Bovine

Specificity

This antibody is expected to recognize both reported isoforms (NP_006537.3; NP_001153895.1).

Clonality

Polyclonal

Host

Goat

Isotype

IgG

Scientific Data Images for IGF2BP1 Antibody

Western Blot: IGF2BP1 Antibody [NBP1-52044]

Western Blot: IGF2BP1 Antibody [NBP1-52044]

Western Blot: IGF2BP1 Antibody [NBP1-52044] - (0.3ug/ml) staining of K562 lysate (35ug protein in RIPA buffer). Primary incubation was 1 hour. Detected by chemiluminescence.
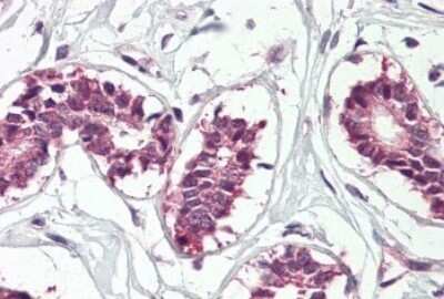
Immunohistochemistry-Paraffin: IGF2BP1 Antibody [NBP1-52044]

Immunohistochemistry-Paraffin: IGF2BP1 Antibody [NBP1-52044]

Immunohistochemistry-Paraffin: IGF2BP1 Antibody [NBP1-52044] - 3.75ug/ml staining of paraffin embedded Human Breast. Steamed antigen retrieval with citrate buffer pH 6, AP-staining.

Applications for IGF2BP1 Antibody

Application
Recommended Usage

Immunohistochemistry

0.3-1ug/ml

Peptide ELISA

Detection limit 1:16000

Western Blot

1:100-1:2000
Application Notes
Western blot: Approx 65kDa band observed in lysates of cell line K562 (calculated MW of 63.5kDa according to NP_006537.3). Primary incubation was 1 hour
IHC: Paraffin embedded Human Breast.

Formulation, Preparation, and Storage

Purification

Immunogen affinity purified

Formulation

Tris saline (20 mM Tris pH 7.3, 150 mM NaCl), 0.5% BSA

Preservative

0.02% Sodium Azide

Concentration

0.5 mg/ml

Shipping

The product is shipped with polar packs. Upon receipt, store it immediately at the temperature recommended below.

Stability & Storage

Store at -20C. Avoid freeze-thaw cycles.

Background: IGF2BP1

The IGF2BP1 gene encodes a member of the insulin-like growth factor 2 mRNA-binding protein family. The protein encoded by this gene contains four K homology domains and two RNA recognition motifs. It functions by binding to the mRNAs of certain genes, including

Alternate Names

Coding region determinant-binding protein, CRD-BP, CRDBPIGF-II mRNA-binding protein 1, IGF II mRNA binding protein 1, IMP1, IMP-1ZBP-1, insulin-like growth factor 2 mRNA binding protein 1, insulin-like growth factor 2 mRNA-binding protein 1, VICKZ family member 1, VICKZ1, ZBP1IGF2 mRNA-binding protein 1, Zip code-binding protein 1, Zipcode-binding protein 1

Entrez Gene IDs

10642 (Human); 140486 (Mouse); 303477 (Rat)

Gene Symbol

IGF2BP1

Additional IGF2BP1 Products

Product Documents for IGF2BP1 Antibody

Certificate of Analysis

To download a Certificate of Analysis, please enter a lot number in the search box below.

Product Specific Notices for IGF2BP1 Antibody

This product is for research use only and is not approved for use in humans or in clinical diagnosis. Primary Antibodies are guaranteed for 1 year from date of receipt.

Loading...
Loading...
Loading...
Loading...