Skip to main content

IGF-I R/IGF1R Antibody - BSA Free

Novus Biologicals, part of Bio-Techne | Catalog # NBP1-77680

Novus Biologicals, part of Bio-Techne

Key Product Details

Species Reactivity

Validated:

Human, Mouse, Rat, Equine, Primate

Cited:

Mouse

Predicted:

Bovine (100%). Backed by our 100% Guarantee.

Applications

Validated:

Immunohistochemistry, Immunohistochemistry-Paraffin, Western Blot, Immunocytochemistry/ Immunofluorescence

Cited:

Western Blot

Label

Unconjugated

Antibody Source

Polyclonal Rabbit IgG

Format

BSA Free

Concentration

1.09 mg/ml

Product Specifications

Immunogen

A synthetic peptide made to an internal portion of the human IGF1 Receptor protein (between residues 700-800) [UniProt P08069]

Reactivity Notes

Reactivity with Equine reported via customer feedback. Predicted to react with Bovine (100%).

Localization

Membrane.

Clonality

Polyclonal

Host

Rabbit

Isotype

IgG

Description

Novus Biologicals Rabbit IGF-I R/IGF1R Antibody - BSA Free (NBP1-77680) is a polyclonal antibody validated for use in IHC, WB and ICC/IF. Anti-IGF-I R/IGF1R Antibody: Cited in 2 publications. All Novus Biologicals antibodies are covered by our 100% guarantee.

Scientific Data Images for IGF-I R/IGF1R Antibody - BSA Free

Western Blot: IGF-I R/IGF1R AntibodyBSA Free [NBP1-77680]

Western Blot: IGF-I R/IGF1R AntibodyBSA Free [NBP1-77680]

Western Blot: IGF-I R Antibody [NBP1-77680] - Analysis of IGFR1 in: 1. HeLa, 2. NIH/3T3, 3. SK-BR-3 and 4. COS7.
Immunocytochemistry/ Immunofluorescence: IGF-I R/IGF1R Antibody - BSA Free [NBP1-77680]

Immunocytochemistry/ Immunofluorescence: IGF-I R/IGF1R Antibody - BSA Free [NBP1-77680]

Immunocytochemistry/Immunofluorescence: IGF-I R Antibody [NBP1-77680] - IGF1 receptor (EC) antibody was tested in A431 cells with FITC (green). Nuclei and actin were counterstained with Dapi (blue) and Phalloidin (red).
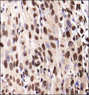
Immunohistochemistry-Paraffin: IGF-I R/IGF1R Antibody - BSA Free [NBP1-77680]

Immunohistochemistry-Paraffin: IGF-I R/IGF1R Antibody - BSA Free [NBP1-77680]

Immunohistochemistry-Paraffin: IGF-I R Antibody [NBP1-77680] - IHC analysis of a formalin fixed paraffin embedded tissue section of the human kidney cancer xenograft using 1:200 dilution of IFG-I R antibody (NBP1-77680). The signal was developed using HRP-DAB method which followed counterstaining of the cells with hematoxylin.

Applications for IGF-I R/IGF1R Antibody - BSA Free

Application
Recommended Usage

Immunocytochemistry/ Immunofluorescence

1:50-1:100

Western Blot

1 ug/ml
Application Notes
This IGFR1 antibody is useful for Immunocytochemistry/Immunofluorescence and Western blot where a band is seen ~100 kDa.

Reviewed Applications

Read 1 review rated 4 using NBP1-77680 in the following applications:

Formulation, Preparation, and Storage

Purification

Immunogen affinity purified

Formulation

PBS and 30% Glycerol

Format

BSA Free

Preservative

0.05% Sodium Azide

Concentration

1.09 mg/ml

Shipping

The product is shipped with polar packs. Upon receipt, store it immediately at the temperature recommended below.

Stability & Storage

Store at 4C short term. Aliquot and store at -20C long term. Avoid freeze-thaw cycles.

Background: IGF-I R/IGF1R

Insulin-like growth factor receptor 1 (IGFR1) is a tyrosine kinase receptor that is important in embryonic development. IGFR1 has effects in breast, prostate, gastric and lung cancers, as it can be a player in drug resistance. It also affects the flow of nutrients from mother to placenta to fetus during development. IGFR1 seems to greatly influence the rate of growth of fetuses and newborn babies; when it is not appropriately expressed or regulated, fetal growth restriction occurs. The major activity of IGFR1 is to mediate the signaling of growth signals to effect downstream growth patterns.

Long Name

Insulin-like Growth Factor I Receptor

Alternate Names

CD221, IGF-1R, IGF-IR, IGF1R, IGFIR

Entrez Gene IDs

3480 (Human); 101883 (Mouse); 25718 (Rat)

Gene Symbol

IGF1R

UniProt

Additional IGF-I R/IGF1R Products

Product Documents for IGF-I R/IGF1R Antibody - BSA Free

Certificate of Analysis

To download a Certificate of Analysis, please enter a lot number in the search box below.

Product Specific Notices for IGF-I R/IGF1R Antibody - BSA Free

This product is for research use only and is not approved for use in humans or in clinical diagnosis. Primary Antibodies are guaranteed for 1 year from date of receipt.

Loading...
Loading...
Loading...
Loading...
Loading...