Skip to main content

IFN-beta Antibody - BSA Free

Novus Biologicals, part of Bio-Techne | Catalog # NBP1-77288

Novus Biologicals, part of Bio-Techne
Catalog #
Availability
Size / Price
Qty
Loading...
NBP1-77288-0.025mg
NBP1-77288
Conjugate
Catalog #

Key Product Details

Validated by

Independent Antibodies, Tagged Protein Expression

Species Reactivity

Validated:

Human, Mouse, Rat

Cited:

Human, Mouse

Applications

Validated:

Immunohistochemistry, Immunohistochemistry-Paraffin, Immunohistochemistry-Frozen, Western Blot, ELISA, Immunocytochemistry/ Immunofluorescence

Cited:

Immunohistochemistry, Immunohistochemistry-Paraffin, Immunohistochemistry-Frozen, IF/IHC

Label

Unconjugated

Antibody Source

Polyclonal Rabbit IgG

Format

BSA Free

Concentration

1 mg/ml

Product Specifications

Immunogen

Antibody was raised against a peptide corresponding to 17 amino acids near the center of human IFN-beta. The immunogen is located within amino acids 110-160 of IFN-beta. Amino Acid Sequence: LEEKLEKEDFTRGKRMS

Specificity

Human IFN-beta has one (187aa, 22kD). Mouse IFN-beta has one isoform (182aa, 22kD) and Rat IFN-beta also has one isoform (184aa, 22kD). NBP1-77288 can detect human isoform, and possibly detect mouse and rat.

Clonality

Polyclonal

Host

Rabbit

Isotype

IgG

Theoretical MW

22 kDa.
Disclaimer note: The observed molecular weight of the protein may vary from the listed predicted molecular weight due to post translational modifications, post translation cleavages, relative charges, and other experimental factors.

Scientific Data Images for IFN-beta Antibody - BSA Free

Western Blot: IFN-beta AntibodyBSA Free [NBP1-77288]

Western Blot: IFN-beta AntibodyBSA Free [NBP1-77288]

Western Blot: IFN-beta Antibody [NBP1-77288] - Independent Antibody Validation (IAV) via Protein Expression Profile in Human and Mouse Cell Lines. Loading: 15 ug of lysates per lane. Antibodies: IFN-beta NBP1-77288 (4 ug/mL), IFN-beta from Company B, (5 ug/mL) and beta-actin NBP1-76692 (1 ug/mL), 1h incubation at RT in 5% NFDM/TBST. Secondary: Goat anti-rabbit IgG HRP conjugate at 1:10000 dilution.
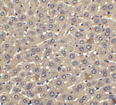
Immunohistochemistry-Paraffin: IFN-beta Antibody - BSA Free [NBP1-77288]

Immunohistochemistry-Paraffin: IFN-beta Antibody - BSA Free [NBP1-77288]

Immunohistochemistry-Paraffin: IFN-beta Antibody [NBP1-77288] - Analysis of paraffin-embedded human liver tissue using anti-IFN-beta at 5 ug/ml. Tissue was fixed with formaldehyde and blocked with 10% serum for 1 h at RT; antigen retrieval was by heat mediation with a citrate buffer (pH6). Samples were incubated with primary antibody overnight at 4C. A goat anti-rabbit IgG H&L (HRP) at 1/250 was used as secondary. Counter stained with Hematoxylin.
Western Blot: IFN-beta AntibodyBSA Free [NBP1-77288]

Western Blot: IFN-beta AntibodyBSA Free [NBP1-77288]

Western Blot: IFN-beta Antibody [NBP1-77288] - Validation in Multiple Tissues and Recombinant ProteinLoading: 15 ug of lysates per lane.Antibodies: IFN-beta (4 ug/mL), 1h incubation at RT in 5% NFDM/TBST.Secondary: Goat anti-rabbit IgG HRP conjugate at 1:10000 dilution.

Applications for IFN-beta Antibody - BSA Free

Application
Recommended Usage

ELISA

1:100-1:2000

Immunocytochemistry/ Immunofluorescence

20ug/ml

Immunohistochemistry

2.5 ug/mL

Immunohistochemistry-Paraffin

2.5ug/ml

Western Blot

4-10 ug/mL
Application Notes
Use in IHC-Fr reported in scientific publication (PMID: 32404939).

Reviewed Applications

Read 1 review rated 4 using NBP1-77288 in the following applications:

Formulation, Preparation, and Storage

Purification

Peptide affinity purified

Formulation

PBS

Format

BSA Free

Preservative

0.02% Sodium Azide

Concentration

1 mg/ml

Shipping

The product is shipped with polar packs. Upon receipt, store it immediately at the temperature recommended below.

Stability & Storage

Store at 4C.

Background: IFN-beta

Type I Interferons (IFN-alpha/beta) are produced primarily in response to viral infection by "Natural IFN-producing cells" (IPCs) as part of the host immune response and can also inhibit the development of tumors. IFN-beta binding by its receptor results in the activation of the tyrosine kinases Jak1 and Tyk2 and phosphorylation of members of the STAT family of transcription factors, leading to the transcription and expression of the immune response genes. More recently, several members of the toll-like receptor (TLR) family were found to stimulate the production IFN-beta. IFN-beta is currently used clinically for treatment of tumors, infections and multiple sclerosis.

Long Name

Interferon beta

Alternate Names

IFB, IFF, IFNB, IFNB1, IFNbeta

Entrez Gene IDs

3456 (Human); 15977 (Mouse)

Gene Symbol

IFNB1

UniProt

Additional IFN-beta Products

Product Documents for IFN-beta Antibody - BSA Free

Certificate of Analysis

To download a Certificate of Analysis, please enter a lot number in the search box below.

Product Specific Notices for IFN-beta Antibody - BSA Free

This product is for research use only and is not approved for use in humans or in clinical diagnosis. Primary Antibodies are guaranteed for 1 year from date of receipt.

Loading...
Loading...
Loading...
Loading...