Skip to main content

IFN-alpha/beta R1 Antibody (SR45-08)

Novus Biologicals, part of Bio-Techne | Catalog # NBP2-67339

Recombinant Monoclonal Antibody.
Novus Biologicals, part of Bio-Techne
Catalog #
Availability
Size / Price
Qty
Loading...
NBP2-67339

Key Product Details

Validated by

Biological Validation

Species Reactivity

Validated:

Human, Mouse, Rat

Cited:

Rat

Applications

Validated:

Immunohistochemistry-Paraffin, Western Blot, Flow Cytometry, Immunoprecipitation

Cited:

Western Blot, Flow Cytometry

Label

Unconjugated

Antibody Source

Recombinant Monoclonal Rabbit IgG Clone # SR45-08 expressed in HEK293

Concentration

1 mg/ml

Product Specifications

Immunogen

Synthetic peptide within Human IFN-alpha/beta R1 aa 508-557 / 557. (SwissProt: P17181 Human; SwissProt: P33896 Mouse; SwissProt: D3ZDS9 Rat)

Localization

Cell membrane, Late endosome, Lysosome.

Clonality

Monoclonal

Host

Rabbit

Isotype

IgG

Description

Novus Biologicals Rabbit IFN-alpha/beta R1 Antibody (SR45-08) (NBP2-67339) is a recombinant monoclonal antibody validated for use in IHC, WB, Flow and IP. Anti-IFN-alpha/beta R1 Antibody: Cited in 1 publication. All Novus Biologicals antibodies are covered by our 100% guarantee.

Scientific Data Images for IFN-alpha/beta R1 Antibody (SR45-08)

Western Blot: IFN-alpha/beta R1 Antibody (SR45-08) [NBP2-67339]

Western Blot: IFN-alpha/beta R1 Antibody (SR45-08) [NBP2-67339]

Western Blot: IFN-alpha/beta R1 Antibody (SR45-08) [NBP2-67339] - Analysis using Siha cell lysates at 1/500 dilution.
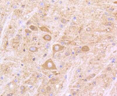
Immunohistochemistry-Paraffin: IFN-alpha/beta R1 Antibody (SR45-08) [NBP2-67339]

Immunohistochemistry-Paraffin: IFN-alpha/beta R1 Antibody (SR45-08) [NBP2-67339]

Immunohistochemistry-Paraffin: IFN-alpha/beta R1 Antibody (SR45-08) [NBP2-67339] - Immunohistochemical analysis of paraffin-embedded rat brain tissue using anti-IFN-alpha/beta R1 antibody. The section was pre-treated using heat mediated antigen retrieval with Tris-EDTA buffer (pH 8.0-8.4) for 20 minutes. The tissues were blocked in 5% BSA for 30 minutes at room temperature, washed with ddH2O and PBS, and then probed with the primary antibody (ET1602-37, 1/200) for 30 minutes at room temperature. The detection was performed using an HRP conjugated compact polymer system. DAB was used as the chromogen. Tissues were counterstained with hematoxylin and mounted with DPX.
Flow Cytometry: IFN-alpha/beta R1 Antibody (SR45-08) [NBP2-67339]

Flow Cytometry: IFN-alpha/beta R1 Antibody (SR45-08) [NBP2-67339]

Flow Cytometry: IFN-alpha/beta R1 Antibody (SR45-08) [NBP2-67339] - Analysis of Jurkat cells with IFNAR1 antibody at 1/50 dilution (blue) compared with an unlabelled control (cells without incubation with primary antibody; red). Alexa Fluor 488-conjugated goat anti rabbit IgG was used as the secondary antibody.

Applications for IFN-alpha/beta R1 Antibody (SR45-08)

Application
Recommended Usage

Flow Cytometry

1:50-1:100

Immunohistochemistry-Paraffin

1:50-1:200

Western Blot

1:500-1:2000

Formulation, Preparation, and Storage

Purification

Protein A purified

Formulation

TBS (pH7.4), 0.05% BSA, 40% Glycerol

Preservative

0.05% Sodium Azide

Concentration

1 mg/ml

Shipping

The product is shipped with polar packs. Upon receipt, store it immediately at the temperature recommended below.

Stability & Storage

Store at 4C short term. Aliquot and store at -20C long term. Avoid freeze-thaw cycles.

Background: IFN-alpha/beta R1

Interferon alpha receptor 1 (IFN-alpha R1) is a class II cytokine receptor which belongs to type I human interferons (IFNs) family. IFNs plays a role in antiviral, antiproliferative, immunomodulatory, antitumor, and antiparasitic activities by inducing transcription of IFN-stimuated genes (ISGs) through activation of the Jak-STAT pathway. Specifically, IFN- R1 is a 135-kda signal transducing subunit of the IFN alpha/beta receptor complex (IFN-alpha R) (1). IFN-alpha R1 is phospholyated through PTK- and PKC-mediated phosphorylation, which initiates docking of STAT proteins to IFNs. This leads to activation of STAT proteins by PTK-mediated phosphorylation. The mechanism behind the amplification of IFN-alpha R complex mediated transmembrane signaling has been linked to tyrosine phosphorylation on IFN-alpha R1 (2).

Long Name

Interferon alpha/beta Receptor 1

Alternate Names

IFN-aR1, IFN-bR1, IFNAR1, IFNbR1

Gene Symbol

IFNAR1

Additional IFN-alpha/beta R1 Products

Product Documents for IFN-alpha/beta R1 Antibody (SR45-08)

Certificate of Analysis

To download a Certificate of Analysis, please enter a lot number in the search box below.

Product Specific Notices for IFN-alpha/beta R1 Antibody (SR45-08)

This product is for research use only and is not approved for use in humans or in clinical diagnosis. Primary Antibodies are guaranteed for 1 year from date of receipt.

Loading...
Loading...
Loading...
Loading...
Loading...