Skip to main content

IFN-alpha/beta R1 Antibody (A5-A3)

Novus Biologicals, part of Bio-Techne | Catalog # NBP2-75534

Novus Biologicals, part of Bio-Techne
Catalog #
Availability
Size / Price
Qty
Loading...
NBP2-75534

Key Product Details

Species Reactivity

Validated:

Human, Mouse

Cited:

Mouse

Applications

Validated:

Immunohistochemistry, Immunohistochemistry-Paraffin, Western Blot, Immunocytochemistry/ Immunofluorescence

Cited:

Immunohistochemistry-Frozen

Label

Unconjugated

Antibody Source

Monoclonal Mouse IgG1 Clone # A5-A3

Concentration

2 mg/ml

Product Specifications

Immunogen

Recombinant protein within human IFN-alpha/beta R1 aa 28-127 (Extracellular). (SwissProt: P17181 Human; SwissProt: P33896 Mouse)

Reactivity Notes

Mouse blocking reagent may be needed for IHC and ICC experiments to reduce high background signal. You can find these reagents under catalog numbers PK-2200-NB and MP-2400-NB. Please contact Technical Support if you have any. Please note that this antibody is reactive to Mouse and derived from the same host, Mouse. Mouse-On-questions.

Localization

Endosome. Cell membrane.

Clonality

Monoclonal

Host

Mouse

Isotype

IgG1

Theoretical MW

56 kDa.
Disclaimer note: The observed molecular weight of the protein may vary from the listed predicted molecular weight due to post translational modifications, post translation cleavages, relative charges, and other experimental factors.

Scientific Data Images for IFN-alpha/beta R1 Antibody (A5-A3)

Western Blot: IFN-alpha/beta R1 Antibody (A5-A3) [NBP2-75534]

Western Blot: IFN-alpha/beta R1 Antibody (A5-A3) [NBP2-75534]

Western Blot: IFN-alpha/beta R1 Antibody (A5-A3) [NBP2-75534] - Analysis of IFNAR1 on different lysates using anti- IFNAR1 antibody at 1/500 dilution. Positive control: Lane 1: K562 Lane 1: A431 Lane 1: Siha Lane 1: Mouse brain tissue.
Immunocytochemistry/ Immunofluorescence: IFN-alpha/beta R1 Antibody (A5-A3) [NBP2-75534]

Immunocytochemistry/ Immunofluorescence: IFN-alpha/beta R1 Antibody (A5-A3) [NBP2-75534]

Immunocytochemistry/Immunofluorescence: IFN-alpha/beta R1 Antibody (A5-A3) [NBP2-75534] - Staining IFNAR1(green) in SHG-44 cells. Cells were fixed in paraformaldehyde, permeabilised with 0.25% Triton X100/PBS.
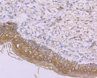
Immunohistochemistry-Paraffin: IFN-alpha/beta R1 Antibody (A5-A3) [NBP2-75534]

Immunohistochemistry-Paraffin: IFN-alpha/beta R1 Antibody (A5-A3) [NBP2-75534]

Immunohistochemistry-Paraffin: IFN-alpha/beta R1 Antibody (A5-A3) [NBP2-75534] - Analysis of paraffin-embedded human skin tissue using anti- IFNAR1 antibody. Counter stained with hematoxylin.

Applications for IFN-alpha/beta R1 Antibody (A5-A3)

Application
Recommended Usage

Immunocytochemistry/ Immunofluorescence

1:50-1:200

Immunohistochemistry-Paraffin

1:50-1:200

Western Blot

1:500

Formulation, Preparation, and Storage

Purification

Protein G purified

Formulation

PBS (pH7.4), 0.2% BSA, 50% Glycerol

Preservative

0.05% Sodium Azide

Concentration

2 mg/ml

Shipping

The product is shipped with polar packs. Upon receipt, store it immediately at the temperature recommended below.

Stability & Storage

Store at 4C short term. Aliquot and store at -20C long term. Avoid freeze-thaw cycles.

Background: IFN-alpha/beta R1

Interferon alpha receptor 1 (IFN-alpha R1) is a class II cytokine receptor which belongs to type I human interferons (IFNs) family. IFNs plays a role in antiviral, antiproliferative, immunomodulatory, antitumor, and antiparasitic activities by inducing transcription of IFN-stimuated genes (ISGs) through activation of the Jak-STAT pathway. Specifically, IFN- R1 is a 135-kda signal transducing subunit of the IFN alpha/beta receptor complex (IFN-alpha R) (1). IFN-alpha R1 is phospholyated through PTK- and PKC-mediated phosphorylation, which initiates docking of STAT proteins to IFNs. This leads to activation of STAT proteins by PTK-mediated phosphorylation. The mechanism behind the amplification of IFN-alpha R complex mediated transmembrane signaling has been linked to tyrosine phosphorylation on IFN-alpha R1 (2).

Long Name

Interferon alpha/beta Receptor 1

Alternate Names

IFN-aR1, IFN-bR1, IFNAR1, IFNbR1

Gene Symbol

IFNAR1

Additional IFN-alpha/beta R1 Products

Product Documents for IFN-alpha/beta R1 Antibody (A5-A3)

Certificate of Analysis

To download a Certificate of Analysis, please enter a lot number in the search box below.

Product Specific Notices for IFN-alpha/beta R1 Antibody (A5-A3)

This product is for research use only and is not approved for use in humans or in clinical diagnosis. Primary Antibodies are guaranteed for 1 year from date of receipt.

Loading...
Loading...
Loading...
Loading...