Skip to main content

IFI16 Antibody - BSA Free

Novus Biologicals, part of Bio-Techne | Catalog # NBP3-18336

Novus Biologicals, part of Bio-Techne

Key Product Details

Species Reactivity

Validated:

Human, Mouse, Rat

Predicted:

Chimpanzee (100%). Backed by our 100% Guarantee.

Applications

Immunohistochemistry, Immunohistochemistry-Paraffin, Western Blot, ELISA, Immunocytochemistry/ Immunofluorescence

Label

Unconjugated

Antibody Source

Polyclonal Rabbit IgG

Format

BSA Free

Concentration

1 mg/ml

Product Specifications

Immunogen

Antibody was raised against a peptide corresponding to 16 amino acids near the carboxyl terminus of human IFI16. The immunogen is located within the last 50 amino acids of IFI16.

Clonality

Polyclonal

Host

Rabbit

Isotype

IgG

Description

Novus Biologicals Rabbit IFI16 Antibody - BSA Free (NBP3-18336) is a polyclonal antibody validated for use in IHC, WB, ELISA and ICC/IF. All Novus Biologicals antibodies are covered by our 100% guarantee.

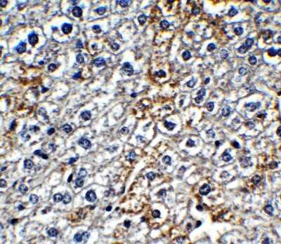
Scientific Data Images for IFI16 Antibody - BSA Free

Western Blot: IFI16 AntibodyBSA Free [NBP3-18336]

Western Blot: IFI16 AntibodyBSA Free [NBP3-18336]

Western Blot: IFI16 Antibody [NBP3-18336] - Western Blot Validation in Rat Testis. Loading: 15 ug of lysate per lane. Antibodies: IFI16 NBP3-18336, 2 ug/mL, 1h incubation at RT in 5% NFDM/TBST. Secondary: Goat anti-rabbit IgG HRP conjugate at 1:10,000 dilution.
Western Blot: IFI16 AntibodyBSA Free [NBP3-18336]

Western Blot: IFI16 AntibodyBSA Free [NBP3-18336]

Western Blot: IFI16 Antibody [NBP3-18336] - WB Validation in Human and Rat Cell Lines. Loading: 15 ug of lysate per lane. Antibodies: IFI16 NBP3-18336, 2 ug/mL, 1 h incubation at RT in 5% NFDM/TBST. Secondary: Goat Anti-Rabbit IgG HRP conjugate at 1:10,000 dilution.
Western Blot: IFI16 AntibodyBSA Free [NBP3-18336]

Western Blot: IFI16 AntibodyBSA Free [NBP3-18336]

Western Blot: IFI16 Antibody [NBP3-18336] - Western Blot Validation in Mouse Tissues. Loading: 15 ug of lysates per lane. Antibodies: IFI16 NBP3-18336, 2 ug/mL, 1h incubation at RT in 5% NFDM/TBST. Secondary: Goat anti-rabbit IgG HRP conjugate at 1:10,000 dilution.

Applications for IFI16 Antibody - BSA Free

Application
Recommended Usage

Immunocytochemistry/ Immunofluorescence

20 ug/mL

Immunohistochemistry

1 ug/ml

Western Blot

2 ug/mL

Formulation, Preparation, and Storage

Purification

Peptide affinity purified

Formulation

PBS

Format

BSA Free

Preservative

0.02% Sodium Azide

Concentration

1 mg/ml

Shipping

The product is shipped with polar packs. Upon receipt, store it immediately at the temperature recommended below.

Stability & Storage

Store at 4C.

Background: IFI16

IFI16 encodes a member of the HIN-200 (hematopoietic interferon-inducible nuclear antigens with 200 amino acid repeats) family of cytokines. The encoded protein contains domains involved in DNA binding, transcriptional regulation, and protein-protein interactions. The protein localizes to the nucleoplasm and nucleoli, and interacts with p53 and retinoblastoma-1. It modulates p53 function, and inhibits cell growth in the Ras/Raf signaling pathway.

Alternate Names

Ifi-16, IFNGIP1gamma-interferon-inducible protein 16, interferon, gamma-inducible protein 16, interferon-gamma induced protein IFI 16, Interferon-inducible myeloid differentiation transcriptional activator, MGC9466, PYHIN2

Gene Symbol

IFI16

Additional IFI16 Products

Product Documents for IFI16 Antibody - BSA Free

Certificate of Analysis

To download a Certificate of Analysis, please enter a lot number in the search box below.

Product Specific Notices for IFI16 Antibody - BSA Free

This product is for research use only and is not approved for use in humans or in clinical diagnosis. Primary Antibodies are guaranteed for 1 year from date of receipt.

Loading...
Loading...
Loading...
Loading...