Skip to main content

IFI16 Antibody - BSA Free

Novus Biologicals, part of Bio-Techne | Catalog # NBP1-83118

Novus Biologicals, part of Bio-Techne
Catalog #
Availability
Size / Price
Qty
Loading...
NBP1-83118
NBP1-83118-25ul

Key Product Details

Validated by

Orthogonal Validation

Species Reactivity

Validated:

Human

Cited:

Human

Applications

Validated:

Immunohistochemistry, Immunohistochemistry-Paraffin, Western Blot, Immunocytochemistry/ Immunofluorescence

Cited:

Immunohistochemistry-Paraffin

Label

Unconjugated

Antibody Source

Polyclonal Rabbit IgG

Format

BSA Free

Concentration

Concentrations vary lot to lot. See vial label for concentration. If unlisted please contact technical services.

Product Specifications

Immunogen

This antibody was developed against Recombinant Protein corresponding to amino acids: KEKFTPKKIIAIANYVCRNGFLEVYPFTLVADVNADRNMEIPKGLIRSASVTPKINQLCSQTKGSFVNGVFEVHKKNVRGEFTYYEIQDNTGKMEVVVHGRLTTINCEEGDKLKLTCFELAPKSGNTGELRSVIHSHIKVIK

Clonality

Polyclonal

Host

Rabbit

Isotype

IgG

Description

Novus Biologicals Rabbit IFI16 Antibody - BSA Free (NBP1-83118) is a polyclonal antibody validated for use in IHC, WB and ICC/IF. Anti-IFI16 Antibody: Cited in 3 publications. All Novus Biologicals antibodies are covered by our 100% guarantee.

Scientific Data Images for IFI16 Antibody - BSA Free

Immunohistochemistry: IFI16 Antibody [NBP1-83118]

Immunohistochemistry: IFI16 Antibody [NBP1-83118]

IFI16-Antibody-Immunohistochemistry-NBP1-83118-img0015.jpg
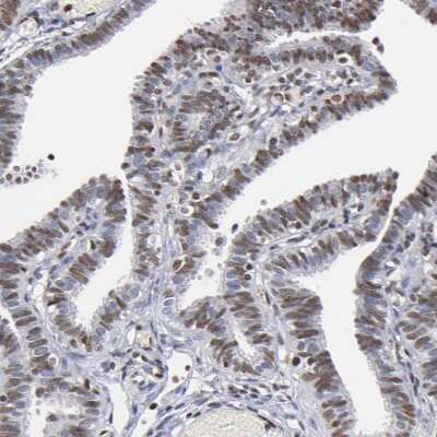
Immunohistochemistry-Paraffin: IFI16 Antibody [NBP1-83118]

Immunohistochemistry-Paraffin: IFI16 Antibody [NBP1-83118]

Immunohistochemistry-Paraffin: IFI16 Antibody [NBP1-83118] - Staining in human lymph node and skeletal muscle tissues using NBP1-83118 antibody. Corresponding IFI16 RNA-seq data are presented for the same tissues.
Western Blot: IFI16 Antibody [NBP1-83118]

Western Blot: IFI16 Antibody [NBP1-83118]

Western Blot: IFI16 Antibody [NBP1-83118] - Analysis in human cell lines SK-MEL-30 and Caco-2 using Anti-IFI16 antibody. Corresponding IFI16 RNA-seq data are presented for the same cell lines. Loading control: Anti-HSP90B1.

Applications for IFI16 Antibody - BSA Free

Application
Recommended Usage

Immunocytochemistry/ Immunofluorescence

0.25-2 ug/ml

Immunohistochemistry

1:200 - 1:500

Immunohistochemistry-Paraffin

1:200 - 1:500

Western Blot

0.04-0.4 ug/ml
Application Notes
For IHC-Paraffin, HIER pH 6 retrieval is recommended. ICC/IF Fixation Permeabilization: Use PFA/Triton X-100.

Formulation, Preparation, and Storage

Purification

Immunogen affinity purified

Formulation

PBS (pH 7.2) and 40% Glycerol

Format

BSA Free

Preservative

0.02% Sodium Azide

Concentration

Concentrations vary lot to lot. See vial label for concentration. If unlisted please contact technical services.

Shipping

The product is shipped with polar packs. Upon receipt, store it immediately at the temperature recommended below.

Stability & Storage

Store at 4C short term. Aliquot and store at -20C long term. Avoid freeze-thaw cycles.

Background: IFI16

IFI16 encodes a member of the HIN-200 (hematopoietic interferon-inducible nuclear antigens with 200 amino acid repeats) family of cytokines. The encoded protein contains domains involved in DNA binding, transcriptional regulation, and protein-protein interactions. The protein localizes to the nucleoplasm and nucleoli, and interacts with p53 and retinoblastoma-1. It modulates p53 function, and inhibits cell growth in the Ras/Raf signaling pathway.

Alternate Names

Ifi-16, IFNGIP1gamma-interferon-inducible protein 16, interferon, gamma-inducible protein 16, interferon-gamma induced protein IFI 16, Interferon-inducible myeloid differentiation transcriptional activator, MGC9466, PYHIN2

Gene Symbol

IFI16

Additional IFI16 Products

Product Documents for IFI16 Antibody - BSA Free

Certificate of Analysis

To download a Certificate of Analysis, please enter a lot number in the search box below.

Product Specific Notices for IFI16 Antibody - BSA Free

This product is for research use only and is not approved for use in humans or in clinical diagnosis. Primary Antibodies are guaranteed for 1 year from date of receipt.

Loading...
Loading...
Loading...
Loading...