Skip to main content

ID3 Antibody (OTI8B3)

Novus Biologicals, part of Bio-Techne | Catalog # NBP2-02136

Novus Biologicals, part of Bio-Techne
Catalog #
Availability
Size / Price
Qty
Loading...
NBP2-02136

Key Product Details

Species Reactivity

Human, Mouse, Rat

Applications

Flow Cytometry, Immunocytochemistry/ Immunofluorescence, Immunohistochemistry, Immunohistochemistry-Paraffin, Western Blot

Label

Unconjugated

Antibody Source

Monoclonal Mouse IgG1 Clone # OTI8B3

Concentration

1 mg/ml

Product Specifications

Immunogen

Full length human recombinant protein of human ID3 (NP_002158) produced in HEK293T cell.

Reactivity Notes

Please note that this antibody is reactive to Mouse and derived from the same host, Mouse. Mouse-On-Mouse blocking reagent may be needed for IHC and ICC experiments to reduce high background signal. You can find these reagents under catalog numbers PK-2200-NB and MP-2400-NB. Please contact Technical Support if you have any questions.

Clonality

Monoclonal

Host

Mouse

Isotype

IgG1

Theoretical MW

12.8 kDa.
Disclaimer note: The observed molecular weight of the protein may vary from the listed predicted molecular weight due to post translational modifications, post translation cleavages, relative charges, and other experimental factors.

Description

Novus Biologicals Mouse ID3 Antibody (OTI8B3) (NBP2-02136) is a monoclonal antibody validated for use in IHC, WB, Flow and ICC/IF. All Novus Biologicals antibodies are covered by our 100% guarantee.

Scientific Data Images for ID3 Antibody (OTI8B3)

ID3 Antibody (OTI8B3)

Western Blot: ID3 Antibody (OTI8B3) [NBP2-02136]

Western Blot: ID3 Antibody (OTI8B3) [NBP2-02136] - Analysis of overexpressed lysates (25ug per lane) from HEK293T cells transfected with empty plasmid (PS100001, lane 1), human ID3 plasmid (RC200583, lane 2), mouse ID3 plasmid (MR227292, lane 3) using anti-ID3 antibody at 1:500.
Immunocytochemistry/ Immunofluorescence: ID3 Antibody (OTI8B3) [NBP2-02136]

Immunocytochemistry/ Immunofluorescence: ID3 Antibody (OTI8B3) [NBP2-02136]

Immunocytochemistry/Immunofluorescence: ID3 Antibody (OTI8B3) [NBP2-02136] - Staining of COS7 cells transiently transfected by pCMV6-ENTRY ID3.
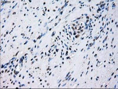
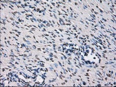
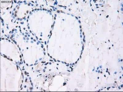
Immunohistochemistry-Paraffin: ID3 Antibody (OTI8B3) [NBP2-02136]

Immunohistochemistry-Paraffin: ID3 Antibody (OTI8B3) [NBP2-02136]

Immunohistochemistry-Paraffin: ID3 Antibody (8B3) [NBP2-02136] - Staining of paraffin-embedded Human thyroid tissue using anti-ID3 mouse monoclonal antibody.

Applications for ID3 Antibody (OTI8B3)

Application
Recommended Usage

Flow Cytometry

1:100

Immunocytochemistry/ Immunofluorescence

1:100

Immunohistochemistry

1:50

Immunohistochemistry-Paraffin

1:50

Western Blot

1:500

Formulation, Preparation, and Storage

Purification

Immunogen affinity purified

Formulation

PBS (pH 7.3), 1.0% BSA and 50% Glycerol

Preservative

0.02% Sodium Azide

Concentration

1 mg/ml

Shipping

The product is shipped with polar packs. Upon receipt, store it immediately at the temperature recommended below.

Stability & Storage

Store at -20C. Avoid freeze-thaw cycles.

Background: ID3

Members of the ID family of helix-loop-helix (HLH) proteins lack a basic DNA-binding domain and inhibit transcription through formation of nonfunctional dimers that are incapable of binding to DNA.[supplied by OMIM].

Alternate Names

BHLHB25, bHLHb251R21, Class B basic helix-loop-helix protein 25, DNA-binding protein inhibitor ID-3, HEIR1, HEIR-1, Helix-loop-helix protein HEIR-1, ID-like protein inhibitor HLH 1R21, Inhibitor of DNA binding 3, inhibitor of DNA binding 3, dominant negative helix-loop-helix protein

Entrez Gene IDs

3399 (Human)

Gene Symbol

ID3

Additional ID3 Products

Product Documents for ID3 Antibody (OTI8B3)

Certificate of Analysis

To download a Certificate of Analysis, please enter a lot number in the search box below.

Product Specific Notices for ID3 Antibody (OTI8B3)

This product is for research use only and is not approved for use in humans or in clinical diagnosis. Primary Antibodies are guaranteed for 1 year from date of receipt.

Loading...
Loading...
Loading...
Loading...
Loading...
Loading...