IBRDC2 Antibody (OTI9H10) - Azide and BSA Free
Novus Biologicals, part of Bio-Techne | Catalog # NBP2-72470
Conjugate
Catalog #
Key Product Details
Species Reactivity
Human, Mouse, Rat
Applications
Immunohistochemistry, Immunohistochemistry-Paraffin, Western Blot, Flow Cytometry, Immunocytochemistry/ Immunofluorescence, CyTOF-ready
Label
Unconjugated
Antibody Source
Monoclonal Mouse IgG2B Clone # OTI9H10
Format
Azide and BSA Free
Concentration
LYOPH mg/ml
Product Specifications
Immunogen
Human recombinant protein fragment corresponding to amino acids 1-256 of human RNF144B (NP_877434) produced in E. coli.
Reactivity Notes
Please note that this antibody is reactive to Mouse and derived from the same host, Mouse. Mouse-On-Mouse blocking reagent may be needed for IHC and ICC experiments to reduce high background signal. You can find these reagents under catalog numbers PK-2200-NB and MP-2400-NB. Please contact Technical Support if you have any questions.
Clonality
Monoclonal
Host
Mouse
Isotype
IgG2B
Theoretical MW
33.5 kDa.
Disclaimer note: The observed molecular weight of the protein may vary from the listed predicted molecular weight due to post translational modifications, post translation cleavages, relative charges, and other experimental factors.
Disclaimer note: The observed molecular weight of the protein may vary from the listed predicted molecular weight due to post translational modifications, post translation cleavages, relative charges, and other experimental factors.
Description
Novus Biologicals Mouse IBRDC2 Antibody (OTI9H10) - Azide and BSA Free (NBP2-02128) is a monoclonal antibody validated for use in IHC, WB, Flow and ICC/IF. All Novus Biologicals antibodies are covered by our 100% guarantee.
Scientific Data Images for IBRDC2 Antibody (OTI9H10) - Azide and BSA Free
Western Blot: IBRDC2 Antibody (OTI9H10)Azide and BSA Free [NBP2-72470]
Western Blot: IBRDC2 Antibody (OTI9H10) - Azide and BSA Free [NBP2-72470] - HEK293T cells were transfected with the pCMV6-ENTRY control (Left lane) or pCMV6-ENTRY IBRDC2 (Right lane) cDNA for 48 hrs and lysed. Equivalent amounts of cell lysates (5 ug per lane) were separated by SDS-PAGE and immunoblotted with anti-IBRDC2.Immunocytochemistry/ Immunofluorescence: IBRDC2 Antibody (OTI9H10) - Azide and BSA Free [NBP2-72470]
Immunocytochemistry/Immunofluorescence: IBRDC2 Antibody (OTI9H10) - Azide and BSA Free [NBP2-72470] - Staining of COS7 cells transiently transfected by pCMV6-ENTRY IBRDC2.Immunohistochemistry: IBRDC2 Antibody (OTI9H10) - Azide and BSA Free [NBP2-72470]
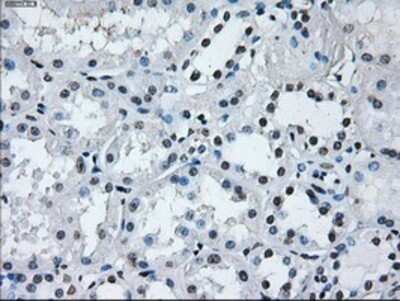
Immunohistochemistry: IBRDC2 Antibody (OTI9H10) - Azide and BSA Free [NBP2-72470] - Staining of paraffin-embedded Human Ovary tissue using anti-IBRDC2 mouse monoclonal antibody.Applications for IBRDC2 Antibody (OTI9H10) - Azide and BSA Free
Application
Recommended Usage
Flow Cytometry
1:100
Immunocytochemistry/ Immunofluorescence
1:50-100
Immunohistochemistry
1:50
Western Blot
1:2000
Formulation, Preparation, and Storage
Purification
Immunogen affinity purified
Reconstitution
we recommend adding 100uL distilled water to a final antibody concentration of about 1 mg/mL. To use this carrier-free antibody for conjugation experiment, we strongly recommend performing another round of desalting process.
Formulation
Lyophilized from PBS (pH 7.3) with 8% Trehalose
Format
Azide and BSA Free
Preservative
No Preservative
Concentration
LYOPH mg/ml
Shipping
The product is shipped with polar packs. Upon receipt, store it immediately at the temperature recommended below.
Stability & Storage
Store at -20C. Avoid freeze-thaw cycles.
Background: IBRDC2
Alternate Names
bA528A10.3, E3 ubiquitin-protein ligase RNF144B, EC 6.3.2, EC 6.3.2.-, IBR domain containing 2, IBR domain-containing protein 2, IBRDC2, KIAA0161, p53-inducible RING finger protein, p53RFP, PIR2, ring finger protein 144BMGC71786
Gene Symbol
RNF144B
Additional IBRDC2 Products
Product Documents for IBRDC2 Antibody (OTI9H10) - Azide and BSA Free
Product Specific Notices for IBRDC2 Antibody (OTI9H10) - Azide and BSA Free
This product is for research use only and is not approved for use in humans or in clinical diagnosis. Primary Antibodies are guaranteed for 1 year from date of receipt.
Loading...
Loading...
Loading...
Loading...
Loading...
Loading...