Skip to main content

Key Product Details

Species Reactivity

Validated:

Human

Cited:

Human, Primate

Applications

Validated:

Immunohistochemistry, Western Blot, ELISA Capture (Matched Antibody Pair), Intracellular Staining by Flow Cytometry, Immunocytochemistry, CyTOF-ready

Cited:

Western Blot, Immunocytochemistry, Cell-based ELISA, Dot Blot, ELISA Capture, Luminex Development, Mass Spectrometry

Label

Unconjugated

Antibody Source

Monoclonal Mouse IgG2B Clone # 63515

Product Specifications

Immunogen

Mouse myeloma cell line NS0-derived recombinant human TIMP-1
Cys24-Ala207
Accession # P01033

Specificity

Detects human TIMP-1 in ELISAs and Western blots. In ELISAs, this antibody does not cross-react with recombinant mouse TIMP‑1 or recombinant human TIMP‑2.

Clonality

Monoclonal

Host

Mouse

Isotype

IgG2B

Scientific Data Images for Human TIMP-1 Antibody

TIMP-1 antibody in Wi-38 Human Cell Line by Immunocytochemistry (ICC).

TIMP‑1 in Wi-38 Human Cell Line.

TIMP-1 was detected in immersion fixed Wi-38 human lung fibroblast cell line using Mouse Anti-Human TIMP-1 Monoclonal Antibody (Catalog # MAB970) at 3 µg/mL for 3 hours at room temperature. Cells were stained using the NorthernLights™ 557-conjugated Anti-Mouse IgG Secondary Antibody (red; Catalog # NL007) and counterstained with DAPI (blue). Specific staining was localized to cytoplasm and endoplasmic reticulum. View our protocol for Fluorescent ICC Staining of Cells on Coverslips.
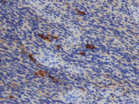
TIMP-1 antibody in Human Astrocytoma by Immunohistochemistry (IHC-P).

TIMP-1 in Human Astrocytoma.

TIMP-1 was detected in immersion fixed paraffin-embedded sections of human astrocytoma using Mouse Anti-Human TIMP-1 Monoclonal Antibody (Catalog # MAB970) at 15 µg/mL overnight at 4 °C. Before incubation with the primary antibody tissue was subjected to heat-induced epitope retrieval using Antigen Retrieval Reagent-Basic (Catalog # CTS013). Tissue was stained using the Anti-Mouse HRP-DAB Cell & Tissue Staining Kit (brown; Catalog # CTS002) and counterstained with hematoxylin (blue). View our protocol for Chromogenic IHC Staining of Paraffin-embedded Tissue Sections.
Detection of TIMP-1 by Western Blot

Detection of TIMP-1 by Western Blot

Abolishment of TGF-beta 1-mediated matrix remodeling by p38 and JNK inhibitors in the primary cultured orbital fibroblasts from patients with Graves’ ophthalmopathy (GO). (A) Orbital fibroblasts from GO patients were preincubated with the p38 inhibitor SB202190 (20 μM) and the JNK inhibitor SP600125 (20 μM), respectively, for 1 h, followed by TGF-beta 1 (5 ng/mL) treatment for another 24 h. Then, the expression levels of TIMP-1, TIMP-3, MMP-2, and MMP-9 were analyzed by Western blots; (B) The relative intensities of TIMP-1, TIMP-3, MMP-2, and MMP-9 expression normalized to each GAPDH control and DMSO control without TGF-beta 1 treatment were defined as 1.0. Then, the other relative intensity (folds) was presented. By three independent Western blot experiments, together data from the same patient strain were averaged. Then, the means of different patient (GO1–GO4, n = 4) strains were averaged; (C) The enzyme activities of MMP-2/-9 from the cultured medium were determined. The representative histogram was plotted based on the mean values of relative fluorescence units from the primary cultured orbital fibroblasts from the four GO patients. Data were presented as means ± S.D. of the results from three independent experiments. * p < 0.05 and ** p < 0.01 vs. control without TGF-beta 1 treatment; # p < 0.05 and ## p < 0.01 vs. TGF-beta 1 treatment. Image collected and cropped by CiteAb from the following open publication (https://pubmed.ncbi.nlm.nih.gov/33799469), licensed under a CC-BY license. Not internally tested by R&D Systems.

Applications for Human TIMP-1 Antibody

Application
Recommended Usage

CyTOF-ready

Ready to be labeled using established conjugation methods. No BSA or other carrier proteins that could interfere with conjugation.

Immunocytochemistry

3-25 µg/mL
Sample: Immersion fixed Wi-38 human lung fibroblast cell line

Immunohistochemistry

8-25 µg/mL
Sample:

Immersion fixed paraffin-embedded sections of human ovarian cancer tissue and astrocytoma tissue

 

Intracellular Staining by Flow Cytometry

2.5 µg/106 cells
Sample: Human T cells fixed with paraformaldehyde and permeabilized with saponin

Western Blot

1 µg/mL
Sample: Recombinant Human TIMP-1 Western Blot Standard (Catalog # WBC021)
under non-reducing conditions only

Human TIMP-1 Sandwich Immunoassay

ELISA Capture (Matched Antibody Pair)
Recommended Concentration: 2-8 µg/mL
Use in combination with these reagents:
  • Detection Reagent: Human TIMP-1 Biotinylated Antibody (Catalog # BAF970)
  • Standard: Recombinant Human TIMP-1 Protein, CF (Catalog # 970-TM)
Please Note: Optimal dilutions of this antibody should be experimentally determined.

Reviewed Applications

Read 4 reviews rated 5 using MAB970 in the following applications:

Formulation, Preparation, and Storage

Purification

Protein A or G purified from hybridoma culture supernatant

Reconstitution

Reconstitute at 0.5 mg/mL in sterile PBS. For liquid material, refer to CoA for concentration.

Reconstitution Buffer Available:
Size / Price
Qty
Loading...

Formulation

Lyophilized from a 0.2 μm filtered solution in PBS with Trehalose. *Small pack size (SP) is supplied either lyophilized or as a 0.2 µm filtered solution in PBS.

Shipping

Lyophilized product is shipped at ambient temperature. Liquid small pack size (-SP) is shipped with polar packs. Upon receipt, store immediately at the temperature recommended below.

Stability & Storage

Use a manual defrost freezer and avoid repeated freeze-thaw cycles.
  • 12 months from date of receipt, -20 to -70 °C as supplied.
  • 1 month, 2 to 8 °C under sterile conditions after reconstitution.
  • 6 months, -20 to -70 °C under sterile conditions after reconstitution.

Background: TIMP-1

Tissue inhibitors of metalloproteinases or TIMPs are a family of proteins that regulate the activation and proteolytic activity of the zinc enzymes known as matrix metalloproteinases (MMPs). There are four members of the family, TIMP-1, TIMP-2, TIMP-3, and TIMP-4. TIMP-1 is a glycoprotein with a molecular mass of 28 kDa produced by a wide range of cell types. TIMP-1 inhibits active MMP-mediated proteolysis by forming an N-terminal, non-covalent binary complex with the MMP active site. TIMP-1 also associates C-terminally with Pro-MMP-9 in a complex which may play a role in regulating activation. Independent of MMPs, TIMP-1 has been shown to have a role in tissue homeostasis.

Long Name

Tissue Inhibitors of Metalloproteinases 1

Alternate Names

TIMP1

Entrez Gene IDs

7076 (Human); 21857 (Mouse); 116510 (Rat)

Gene Symbol

TIMP1

UniProt

Additional TIMP-1 Products

Product Documents for Human TIMP-1 Antibody

Certificate of Analysis

To download a Certificate of Analysis, please enter a lot number in the search box below.

Note: Certificate of Analysis not available for kit components.

Product Specific Notices for Human TIMP-1 Antibody

For research use only

Loading...
Loading...
Loading...
Loading...
Loading...