Skip to main content

Human TIM-3 Antibody

R&D Systems, part of Bio-Techne | Catalog # MAB23652

Recombinant Monoclonal Antibody.
R&D Systems, part of Bio-Techne
Catalog #
Availability
Size / Price
Qty
Loading...
MAB23652-100
MAB23652-SP

Key Product Details

Species Reactivity

Validated:

Human

Cited:

Human

Applications

Validated:

Immunohistochemistry, Western Blot, Flow Cytometry, CyTOF-ready

Cited:

Immunohistochemistry-Paraffin, Western Blot, Immunoprecipitation

Label

Unconjugated

Antibody Source

Recombinant Monoclonal Rabbit IgG Clone # 2321C

Product Specifications

Immunogen

Mouse myeloma cell line NS0-derived recombinant human TIM-3
Met1-Arg200
Accession # Q8TDQ0

Specificity

Detects human TIM-3 in direct ELISAs.

Clonality

Monoclonal

Host

Rabbit

Isotype

IgG

Scientific Data Images for Human TIM-3 Antibody

Detection of Human TIM-3 antibody by Western Blot.

Detection of Human TIM‑3 by Western Blot.

Western blot shows lysates of human spleen tissue, human tonsil tissue, and human thymus tissue. PVDF membrane was probed with 2 µg/mL of Rabbit Anti-Human TIM-3 Monoclonal Antibody (Catalog # MAB23652) followed by HRP-conjugated Anti-Rabbit IgG Secondary Antibody (Catalog # HAF008). A specific band was detected for TIM-3 at approximately 45-70 kDa (as indicated). This experiment was conducted under reducing conditions and using Immunoblot Buffer Group 1.
Detection of Tim-3 antibody in Human PBMC antibody by Flow Cytometry.

Detection of Tim-3 in Human PBMC by Flow Cytometry.

Human PBMC were stained with (A) Rabbit Anti-Human Tim-3 Monoclonal Antibody (Catalog # MAB23652) or (B) Normal Rabbit IgG Control Antibody (Catalog # MAB1050) followed by PE-conjugated Goat anti-Rabbit IgG Secondary Antibody (Catalog # F0110) and Mouse anti-Human CD14 APC-conjugated Monoclonal Antibody (Catalog # FAB3832A). View our protocol for Staining Membrane-associated Proteins.
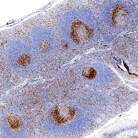
TIM-3 antibody in Human Tonsil by Immunohistochemistry (IHC-P).

TIM‑3 in Human Tonsil.

TIM-3 was detected in immersion fixed paraffin-embedded sections of human tonsil using Rabbit Anti-Human TIM-3 Monoclonal Antibody (Catalog # MAB23652) at 3 µg/mL for 1 hour at room temperature followed by incubation with the Anti-Rabbit IgG VisUCyte™ HRP Polymer Antibody (Catalog # VC003). Before incubation with the primary antibody, tissue was subjected to heat-induced epitope retrieval using Antigen Retrieval Reagent-Basic (Catalog # CTS013). Tissue was stained using DAB (brown) and counterstained with hematoxylin (blue). Specific staining was localized to cytoplasm in lymphocytes. View our protocol for IHC Staining with VisUCyte HRP Polymer Detection Reagents.

Applications for Human TIM-3 Antibody

Application
Recommended Usage

CyTOF-ready

Ready to be labeled using established conjugation methods. No BSA or other carrier proteins that could interfere with conjugation.

Flow Cytometry

0.25 µg/106 cells
Sample: Human PBMC

Immunohistochemistry

3-25 µg/mL
Sample: Immersion fixed paraffin-embedded sections of human tonsil

Western Blot

2 µg/mL
Sample: Human spleen tissue, Human tonsil tissue, and Human thymus tissue

Formulation, Preparation, and Storage

Purification

Protein A or G purified from cell culture supernatant

Reconstitution

Reconstitute at 0.5 mg/mL in sterile PBS. For liquid material, refer to CoA for concentration.

Reconstitution Buffer Available:
Size / Price
Qty
Loading...

Formulation

Lyophilized from a 0.2 μm filtered solution in PBS with Trehalose. *Small pack size (SP) is supplied either lyophilized or as a 0.2 µm filtered solution in PBS.

Shipping

Lyophilized product is shipped at ambient temperature. Liquid small pack size (-SP) is shipped with polar packs. Upon receipt, store immediately at the temperature recommended below.

Stability & Storage

Use a manual defrost freezer and avoid repeated freeze-thaw cycles.
  • 12 months from date of receipt, -20 to -70 °C as supplied.
  • 1 month, 2 to 8 °C under sterile conditions after reconstitution.
  • 6 months, -20 to -70 °C under sterile conditions after reconstitution.

Background: TIM-3

TIM-3 (T cell immunoglobulin and mucin domain-3) is a 60 kDa member of the TIM family of immune regulating molecules. TIMs are type I transmembrane glycoproteins with one Ig-like V-type domain and a Ser/Thr-rich mucin stalk (1-3). There are three TIM genes in human and eight in mouse. Mature human TIM-3 consists of a 181 amino acid (aa) extracellular domain (ECD), a 21 aa transmembrane segment, and a 78 aa cytoplasmic tail (4). An alternately spliced isoform is truncated following a short substitution after the Ig-like domain. Within the ECD, human TIM-3 shares 58% aa sequence identity with mouse and rat TIM-3. TIM-3 is expressed on the surface of effector T cells (CD4+ Th1 and CD8+ Tc1) but not on helper T cells (CD4+ Th2 and CD8+ Tc2) (4, 5). NK cells appear to transcribe the highest amounts of Tim-3 among lymphocytes, and when Tim-3 was cross-linked with antibodies it suppressed NK cell-mediated cytotoxicity (6). In chronic inflammation, autoimmune disorders, and some cancers, TIM-3 is upregulated on several other hematopoietic cell types. It also occurs on hippocampal neurons (7-10). The Ig domain of TIM-3 interacts with a ligand on resting but not activated Th1 and Th2 cells (5, 11). The glycosylated Ig domain of TIM-3 binds cell-associated galectin-9. This induces TIM-3 Tyr phosphorylation and pro-apoptotic signaling (8, 12). TIM-3 functions as a negative regulator of Th1 cell activity. Its blockade results in increased IFN-gamma production, Th1 cell proliferation and cytotoxicity (5, 10, 11), and regulatory T cell development (5). TIM-3 inhibits the antitumor efficacy of DNA vaccines and chemotherapy by binding to the damage-associated molecular pattern molecule, HMGB1 (13).

References

  1. Anderson, A.C. and D.E. Anderson (2006) Curr. Opin. Immunol. 18:665.
  2. Mariat, C. et al. (2005) Phil. Trans. R. Soc. B. 360:1681.
  3. Meyers, J.H. et al. (2005) Trends Mol. Med. 11:362.
  4. Monney, L. et al. (2002) Nature 415:536.
  5. Sanchez-Fueyo, A. et al. (2003) Nat. Immunol. 4:1093.
  6. Ndhlovu, L. et al. (2012) Blood 119:3734.
  7. Wiener, Z. et al. (2007) J. Invest. Dermatol. 127:906.
  8. van de Weyer, P.S. et al. (2006) Biochem. Biophys. Res. Commun. 351:571.
  9. Gielen, A.W. et al. (2005) J. Neuroimmunol. 164:93.
  10. Oikawa, T. et al. (2006) J. Immunol. 177:4281.
  11. Sabatos, C.A. et al. (2003) Nat. Immunol. 4:1102.
  12. Zhu, C. et al. (2005) Nat. Immunol. 6:1245.
  13. Chiba, S. et al. (2012) Nat. Immunol. 13:832.

Long Name

T Cell Immunoglobulin Mucin-3

Alternate Names

CD366, HAVcr-2, HAVCR2, KIM-3, SPTCL, TIM3, TIMD3

Entrez Gene IDs

84868 (Human); 171285 (Mouse); 363578 (Rat); 479318 (Canine); 102141722 (Cynomolgus Monkey)

Gene Symbol

HAVCR2

UniProt

Additional TIM-3 Products

Product Documents for Human TIM-3 Antibody

Certificate of Analysis

To download a Certificate of Analysis, please enter a lot number in the search box below.

Note: Certificate of Analysis not available for kit components.

Product Specific Notices for Human TIM-3 Antibody

For research use only

Loading...
Loading...
Loading...
Loading...
Loading...