Skip to main content

Key Product Details

Species Reactivity

Validated:

Human

Cited:

Human, Mouse

Applications

Validated:

Western Blot

Cited:

Immunohistochemistry, Western Blot

Label

Unconjugated

Antibody Source

Polyclonal Goat IgG

Product Specifications

Immunogen

Mouse myeloma cell line NS0-derived recombinant human Stanniocalcin 2/STC‑2
Thr25-Arg302
Accession # O76061

Specificity

Detects human and mouse Stanniocalcin 2/STC‑2 in direct ELISAs and Western blots. In direct ELISAs, less than 5% cross‑reactivity with recombinant human STC-1 is observed.

Clonality

Polyclonal

Host

Goat

Isotype

IgG

Scientific Data Images for Human Stanniocalcin 2/STC-2 Antibody

Detection of Human Stanniocalcin 2/STC-2 by Immunohistochemistry

Detection of Human Stanniocalcin 2/STC-2 by Immunohistochemistry

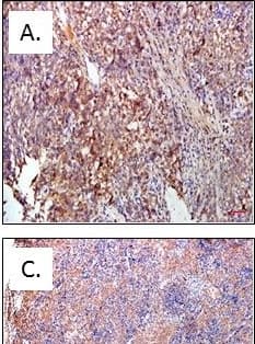
STC2 expression in tumor adjacent nasopharyngeal epithelia with normal morphology and carcinoma cells as determined by immunohistochemistry studies. A: STC2 expressed in local tumor (× 200). B: Traditional HE staining, NPC, (× 200). C: STC2 was overexpressed in the tumor zone (× 100). D: Negative Control: NPC tissue stained at the same conditions except that no specific antibody (anti-STC2) was added (× 100). Scale bar: 50 μm in A and B; 100 μm in C and D. Image collected and cropped by CiteAb from the following publication (https://pubmed.ncbi.nlm.nih.gov/24606961), licensed under a CC-BY license. Not internally tested by R&D Systems.
Detection of Human Stanniocalcin 2/STC-2 by Immunohistochemistry

Detection of Human Stanniocalcin 2/STC-2 by Immunohistochemistry

STC2 expression in tumor adjacent nasopharyngeal epithelia with normal morphology and carcinoma cells as determined by immunohistochemistry studies. A: STC2 expressed in local tumor (× 200). B: Traditional HE staining, NPC, (× 200). C: STC2 was overexpressed in the tumor zone (× 100). D: Negative Control: NPC tissue stained at the same conditions except that no specific antibody (anti-STC2) was added (× 100). Scale bar: 50 μm in A and B; 100 μm in C and D. Image collected and cropped by CiteAb from the following publication (https://pubmed.ncbi.nlm.nih.gov/24606961), licensed under a CC-BY license. Not internally tested by R&D Systems.

Applications for Human Stanniocalcin 2/STC-2 Antibody

Application
Recommended Usage

Western Blot

0.1 µg/mL
Sample: Recombinant Human Stanniocalcin 2/STC‑2

Formulation, Preparation, and Storage

Purification

Antigen Affinity-purified

Reconstitution

Reconstitute at 0.2 mg/mL in sterile PBS. For liquid material, refer to CoA for concentration.

Reconstitution Buffer Available:
Size / Price
Qty
Loading...

Formulation

Lyophilized from a 0.2 μm filtered solution in PBS with Trehalose. *Small pack size (SP) is supplied either lyophilized or as a 0.2 µm filtered solution in PBS.

Shipping

Lyophilized product is shipped at ambient temperature. Liquid small pack size (-SP) is shipped with polar packs. Upon receipt, store immediately at the temperature recommended below.

Stability & Storage

Use a manual defrost freezer and avoid repeated freeze-thaw cycles.
  • 12 months from date of receipt, -20 to -70 °C as supplied.
  • 1 month, 2 to 8 °C under sterile conditions after reconstitution.
  • 6 months, -20 to -70 °C under sterile conditions after reconstitution.

Background: Stanniocalcin 2/STC-2

STC-2 is a secreted disulfide-linked homodimeric glycoprotein hormone that is related to the STC protein first discovered from corpuscles of stannius in fish. STC2 is expressed in a wide variety of tissues. In the ovary, STC2 has been shown to be a paracrine hormone that regulates granulosa cell function. The amino acid sequence of human mature STC2 is 36% identical to that of human STC1. It is also 99%, and 88% identical to that of mature monkey and mouse STC2, respectively.

Alternate Names

STC-2, STC2, STCRP

Entrez Gene IDs

8614 (Human); 20856 (Mouse)

Gene Symbol

STC2

UniProt

Additional Stanniocalcin 2/STC-2 Products

Product Documents for Human Stanniocalcin 2/STC-2 Antibody

Certificate of Analysis

To download a Certificate of Analysis, please enter a lot number in the search box below.

Note: Certificate of Analysis not available for kit components.

Product Specific Notices for Human Stanniocalcin 2/STC-2 Antibody

For research use only

Loading...
Loading...
Loading...
Loading...