Skip to main content

Key Product Details

Species Reactivity

Validated:

Human

Cited:

Human, Mouse

Applications

Validated:

Immunohistochemistry, Western Blot, Immunocytochemistry

Cited:

Immunohistochemistry, Immunofluorescence, Immunoprecipitation

Label

Unconjugated

Antibody Source

Polyclonal Goat IgG

Product Specifications

Immunogen

E. coli-derived recombinant human SOX21
Ser2-Leu276 (Gly102Ser)
Accession # Q9Y651

Specificity

Detects human SOX21 in direct ELISAs and Western blots. In direct ELISAs and Western blots, less than 1% cross-reactivity with recombinant human (rh) SOX1, rhSOX2 and rhSOX15 is observed.

Clonality

Polyclonal

Host

Goat

Isotype

IgG

Scientific Data Images for Human SOX21 Antibody

SOX21 antibody in NTera-2 Human Cell Line by Immunocytochemistry (ICC).

SOX21 in NTera‑2 Human Cell Line.

SOX21 was detected in immersion fixed NTera-2 human testicular embryonic carcinoma cell line using Goat Anti-Human SOX21 Antigen Affinity-purified Polyclonal Antibody (Catalog # AF3538) at 10 µg/mL for 3 hours at room temperature. Cells were stained using the NorthernLights™ 557-conjugated Anti-Goat IgG Secondary Antibody (red; NL001) and counterstained with DAPI (blue). Specific staining was localized to nuclei. View our protocol for Fluorescent ICC Staining of Cells on Coverslips.

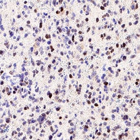
Detection of SOX21 in Human Glioblastoma.

SOX21 was detected in immersion fixed paraffin-embedded sections of human glioblastoma using Goat Anti-Human SOX21 Antigen Affinity-purified Polyclonal Antibody (Catalog # AF3538) at 0.5 µg/ml for 1 hour at room temperature followed by incubation with the HRP-conjugated Anti-Goat IgG Secondary Antibody (Catalog # HAF017) or the Anti-Goat IgG VisUCyte™ HRP Polymer Antibody (Catalog # VC004). Before incubation with the primary antibody, tissue was subjected to heat-induced epitope retrieval using VisUCyte Antigen Retrieval Reagent-Basic (Catalog # VCTS021). Tissue was stained using DAB (brown) and counterstained with hematoxylin (blue). Specific staining was localized to the nucleus. View our protocol for Chromogenic IHC Staining of Paraffin-embedded Tissue Sections.

Applications for Human SOX21 Antibody

Application
Recommended Usage

Immunocytochemistry

5-15 µg/mL
Sample: Immersion fixed NTera‑2 human testicular embryonic carcinoma cell line

Immunohistochemistry

5-15 µg/mL
Sample: Immersion fixed paraffin-embedded sections of human glioblastoma

Western Blot

0.1 µg/mL
Sample: Recombinant Human SOX21

Formulation, Preparation, and Storage

Purification

Antigen Affinity-purified

Reconstitution

Reconstitute at 0.2 mg/mL in sterile PBS. For liquid material, refer to CoA for concentration.

Reconstitution Buffer Available:
Size / Price
Qty
Loading...

Formulation

Lyophilized from a 0.2 μm filtered solution in PBS with Trehalose. See Certificate of Analysis for details.
*Small pack size (-SP) is supplied either lyophilized or as a 0.2 µm filtered solution in PBS.

Shipping

Lyophilized product is shipped at ambient temperature. Liquid small pack size (-SP) is shipped with polar packs. Upon receipt, store immediately at the temperature recommended below.

Stability & Storage

Use a manual defrost freezer and avoid repeated freeze-thaw cycles.
  • 12 months from date of receipt, -20 to -70 °C as supplied.
  • 1 month, 2 to 8 °C under sterile conditions after reconstitution.
  • 6 months, -20 to -70 °C under sterile conditions after reconstitution.

Background: SOX21

SOX21 is a member of the B group of the SOX family HMG-box transcription factors. It is a 276 amino acid residue protein that has an N-terminal HMG-box and a C‑terminal domain that is required for the SOX21 neurogenesis function. Human and mouse SOX 21 share 99% amino acid sequence identity.

Long Name

Transcription Factor SOX21

Alternate Names

SOX25

Entrez Gene IDs

11166 (Human); 223227 (Mouse); 306168 (Rat)

Gene Symbol

SOX21

UniProt

Additional SOX21 Products

Product Documents for Human SOX21 Antibody

Certificate of Analysis

To download a Certificate of Analysis, please enter a lot number in the search box below.

Note: Certificate of Analysis not available for kit components.

Product Specific Notices for Human SOX21 Antibody

For research use only

Loading...
Loading...
Loading...
Loading...