Skip to main content

Key Product Details

Validated by

Knockout/Knockdown

Species Reactivity

Validated:

Human

Cited:

Human, Transgenic Mouse

Applications

Validated:

Knockout Validated, Western Blot, Immunocytochemistry

Cited:

Immunohistochemistry, Western Blot, Immunocytochemistry, Immunoprecipitation

Label

Unconjugated

Antibody Source

Monoclonal Mouse IgG2A Clone # 348808

Product Specifications

Immunogen

E. coli-derived recombinant human SOD1/Cu‑Zn SOD
Met1-Gln154
Accession # P00441

Specificity

Detects human SOD1/Cu‑Zn SOD in Western blots. In Western blots, no cross-reactivity with recombinant human (rh) SOD2 or rhSOD3 is observed.

Clonality

Monoclonal

Host

Mouse

Isotype

IgG2A

Scientific Data Images for Human SOD1/Cu-Zn SOD Antibody

Detection of Human SOD1/ Cu-Zn SOD antibody by Western Blot.

Detection of Human SOD1/ Cu‑Zn SOD by Western Blot.

Western blot shows lysates of Jurkat human acute T cell leukemia cell line and Ramos human Burkitt's lymphoma cell line. PVDF membrane was probed with 0.5 µg/mL Mouse Anti-Human SOD1/Cu-Zn SOD Monoclonal Antibody (Catalog # MAB3418) followed by HRP-conjugated Anti-Mouse IgG Secondary Antibody (HAF007). For additional reference, recombinant human SOD1, SOD2, and SOD3 (1 ng) were included. A specific band for SOD1/Cu-Zn SOD was detected at approximately 16 kDa (as indicated). This experiment was conducted under reducing conditions and using Immunoblot Buffer Group 2.
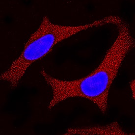
SOD1/Cu-Zn SOD antibody in HeLa Human Cell Line by Immunocytochemistry (ICC).

SOD1/Cu‑Zn SOD in HeLa Human Cell Line.

SOD1/Cu-Zn SOD was detected in immersion fixed HeLa human cervical epithelial carcinoma cell line using Mouse Anti-Human SOD1/Cu-Zn SOD Monoclonal Antibody (Catalog # MAB3418) at 25 µg/mL for 3 hours at room temperature. Cells were stained using the NorthernLights™ 557-conjugated Anti-Mouse IgG Secondary Antibody (red; Catalog # NL007) and counterstained with DAPI (blue). Specific staining was localized to cytoplasm. View our protocol for Fluorescent ICC Staining of Cells on Coverslips.

Western Blot Shows Human SOD1/Cu-Zn SOD Specificity Using Knockout Cell Line.

Western blot shows lysates of HeLa human cervical epithelial carcinoma cell line and SOD1/Cu-Zn SOD knockout HeLa cell line (KO). Nitrocellulose membrane was probed with 0.5 µg/mL of Mouse Anti-Human SOD1/Cu-Zn SOD Monoclonal Antibody (Catalog # MAB3418) followed by HRP-conjugated Anti-Mouse IgG Secondary Antibody. A specific band was detected for SOD1/Cu-Zn SOD at approximately 16 kDa (as indicated) in the parental HeLa cell line, but is not detectable in knockout HeLa cell line. The Ponceau stained transfer of the blot is shown. This experiment was conducted under reducing conditions. Image, protocol, and testing courtesy of YCharOS Inc. See ycharos.com for additional details.

Applications for Human SOD1/Cu-Zn SOD Antibody

Application
Recommended Usage

Immunocytochemistry

15-25 µg/mL
Sample: Immersion fixed HeLa human cervical epithelial carcinoma cell line, HepG2 human hepatocellular carcinoma cell line, and HT1080 human fibrosarcoma cell line

Knockout Validated

SOD1/Cu-Zn SOD is specifically detected in the parental HeLa cell line, but is not detectable in knockout HeLa cell line. 

Western Blot

0.5 µg/mL
Sample: Jurkat human acute T cell leukemia cell line and Ramos human Burkitt's lymphoma cell line

Reviewed Applications

Read 2 reviews rated 4 using MAB3418 in the following applications:

Formulation, Preparation, and Storage

Purification

Protein A or G purified from hybridoma culture supernatant

Reconstitution

Reconstitute at 0.5 mg/mL in sterile PBS. For liquid material, refer to CoA for concentration.

Reconstitution Buffer Available:
Size / Price
Qty
Loading...

Formulation

Lyophilized from a 0.2 μm filtered solution in PBS with Trehalose. *Small pack size (SP) is supplied either lyophilized or as a 0.2 µm filtered solution in PBS.

Shipping

Lyophilized product is shipped at ambient temperature. Liquid small pack size (-SP) is shipped with polar packs. Upon receipt, store immediately at the temperature recommended below.

Stability & Storage

Use a manual defrost freezer and avoid repeated freeze-thaw cycles.
  • 12 months from date of receipt, -20 to -70 °C as supplied.
  • 1 month, 2 to 8 °C under sterile conditions after reconstitution.
  • 6 months, -20 to -70 °C under sterile conditions after reconstitution.

Background: SOD1/Cu-Zn SOD

Superoxide Dismutases (SODs), originally identified as Indophenoloxidase (IPO), are enzymes that catalyze the conversion of naturally-occuring but harmful superoxide radicals into molecular oxygen and hydrogen peroxide. Superoxide Dismutases 1, SOD1, also known as Cu/Zn SOD, soluble SOD and IPO-A, is a soluble, cytoplasmic 16 kDa homodimer. Each SOD1 monomer binds one Cu2+ and one Zn2+ ion. Three isozymes of SOD have been identified and are functionally related but have very modest sequence homology. SOD1 shares 23% and 27% sequence identity with SOD2 and SOD3, respectively. Mutations in SOD1 have been implicated as causes of familial amyotrophic lateral sclerosis (ALS). The ALS-causing mutations of SOD1 are scattered throughout the protein and provide no clear functional or structural clues to the underlying disease mechanism. The oligomerization hypothesis suggests that mutant SOD1 proteins become misfolded and consequently oligomerize into high molecular weight aggregates that result in the death of motor neurons. The oxidative damage hypothesis suggests that loss of function mutation in SOD1 protein results in the accumulation of cellular superoxide radical, leading to free radical-mediated damage, the release of cytochrome c, and apoptosis.

Long Name

Superoxide Dismutase-1

Alternate Names

Cu-Zn SOD, CuZn SOD, Ipo1, IPOA, SOD, cytosolic, SOD, Soluble

Entrez Gene IDs

6647 (Human); 20655 (Mouse); 24786 (Rat)

Gene Symbol

SOD1

UniProt

Additional SOD1/Cu-Zn SOD Products

Product Documents for Human SOD1/Cu-Zn SOD Antibody

Certificate of Analysis

To download a Certificate of Analysis, please enter a lot number in the search box below.

Note: Certificate of Analysis not available for kit components.

Product Specific Notices for Human SOD1/Cu-Zn SOD Antibody

For research use only

Loading...
Loading...
Loading...
Loading...