Skip to main content

Key Product Details

Species Reactivity

Human

Applications

Immunohistochemistry, Immunocytochemistry

Label

Unconjugated

Antibody Source

Monoclonal Rat IgG2A Clone # 349121

Product Specifications

Immunogen

E. coli-derived recombinant human Relaxin-2
Val23-Cys185
Accession # P04090

Specificity

Detects human Relaxin-2 in direct ELISAs.

Clonality

Monoclonal

Host

Rat

Isotype

IgG2A

Scientific Data Images for Human Relaxin-2 Antibody

Relaxin-2 in LNCaP Human Cell Line.

Relaxin-2 was detected in immersion fixed LNCaP human prostate cancer cell line (positive staining) and HeLa human cervical epithelial carcinoma cell line (negative control) using Rat Anti-Human Relaxin-2 Monoclonal Antibody (Catalog # MAB28041) at 8 µg/mL for 3 hours at room temperature. Cells were stained using the NorthernLights™ 557-conjugated Anti-Rat IgG Secondary Antibody (red; NL013) and counterstained with DAPI (blue). Specific staining was localized to cell cytoplasm. Staining was performed using our protocol for Fluorescent ICC Staining of Non-adherent Cells.

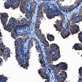
Relaxin-2 in Human Prostate.

Relaxin-2 was detected in immersion fixed paraffin-embedded sections of human prostate using Rat Anti-Human Relaxin-2 Monoclonal Antibody (Catalog # MAB28041) at 15 µg/mL for 1 hour at room temperature followed by incubation with the Anti-Rat IgG VisUCyte™ HRP Polymer Antibody (VC005). Before incubation with the primary antibody, tissue was subjected to heat-induced epitope retrieval using Antigen Retrieval Reagent-Basic (CTS013). Tissue was stained using DAB (brown) and counterstained with hematoxylin (blue). Specific staining was localized to cytoplasm in epithelial cells. Staining was performed using our protocol for IHC Staining with VisUCyte HRP Polymer Detection Reagents.

Applications for Human Relaxin-2 Antibody

Application
Recommended Usage

Immunocytochemistry

8-25 µg/mL
Sample: Immersion fixed LNCaP human prostate cancer cell line

Immunohistochemistry

8-25 µg/mL
Sample: Immersion fixed paraffin-embedded sections of human prostate

Reviewed Applications

Read 1 review rated 5 using MAB28041 in the following applications:

Formulation, Preparation, and Storage

Purification

Protein A or G purified from hybridoma culture supernatant

Reconstitution

Reconstitute at 0.5 mg/mL in sterile PBS. For liquid material, refer to CoA for concentration.

Reconstitution Buffer Available:
Size / Price
Qty
Loading...

Formulation

Lyophilized from a 0.2 μm filtered solution in PBS with Trehalose. *Small pack size (SP) is supplied either lyophilized or as a 0.2 µm filtered solution in PBS.

Shipping

Lyophilized product is shipped at ambient temperature. Liquid small pack size (-SP) is shipped with polar packs. Upon receipt, store immediately at the temperature recommended below.

Stability & Storage

Use a manual defrost freezer and avoid repeated freeze-thaw cycles.
  • 12 months from date of receipt, -20 to -70 °C as supplied.
  • 1 month, 2 to 8 °C under sterile conditions after reconstitution.
  • 6 months, -20 to -70 °C under sterile conditions after reconstitution.

Background: Relaxin-2

Human Relaxin-2/H2 is a 6 kDa member of the insulin/relaxin gene superfamily. Relaxin-2 is synthesized as a 185 aa preprohormone that is proteolytically processed into a nonglycosylated, disulfide-linked, 53 aa mature heterodimer that contains a 29 aa B chain (aa 25‑53) and a 24 aa A chain (aa 161‑185). An alternate splice form of human Relaxin-2 is known that contains the B chain and an uncleaved 47 aa extension. Mature human Relaxin-2 heterodimer is 48%, 44% and 43% aa identical to rat, canine and porcine Relaxin-2, respectively.

Alternate Names

Relaxin2, RLN2, RLXH2

Entrez Gene IDs

6019 (Human)

Gene Symbol

RLN2

UniProt

Additional Relaxin-2 Products

Product Documents for Human Relaxin-2 Antibody

Certificate of Analysis

To download a Certificate of Analysis, please enter a lot number in the search box below.

Note: Certificate of Analysis not available for kit components.

Product Specific Notices for Human Relaxin-2 Antibody

For research use only

Loading...
Loading...
Loading...
Loading...