Skip to main content

Human PSG Pan Specific Antibody

R&D Systems, part of Bio-Techne | Catalog # MAB6799

R&D Systems, part of Bio-Techne
Discontinued Product
MAB6799 has been discontinued. View all PSG products.

Key Product Details

Species Reactivity

Validated:

Human

Cited:

Human, Mouse

Applications

Validated:

Immunohistochemistry, Western Blot

Cited:

Immunohistochemistry, Western Blot

Label

Unconjugated

Antibody Source

Monoclonal Mouse IgG2B Clone # 684701

Product Specifications

Immunogen

Mouse myeloma cell line NS0-derived recombinant human PSG-1
Val36-Pro419
Accession # P11464

Specificity

Detects human PSG-1, -2, -3, -5 and -6 in Western blots.

Clonality

Monoclonal

Host

Mouse

Isotype

IgG2B

Scientific Data Images for Human PSG Pan Specific Antibody

Detection of Human PSG antibody by Western Blot.

Detection of Human PSG by Western Blot.

Western blot shows lysates of human placenta tissue. PVDF membrane was probed with 1 µg/mL of Mouse Anti-Human PSG Pan Specific Monoclonal Antibody (Catalog # MAB6799) followed by HRP-conjugated Anti-Mouse IgG Secondary Antibody (Catalog # HAF007). Specific bands were detected for PSG at approximately 72 and 64 kDa (as indicated). This experiment was conducted under reducing conditions and using Immunoblot Buffer Group 1.
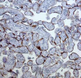
PSG antibody in Human Placenta by Immunohistochemistry (IHC-P).

PSG in Human Placenta.

PSG was detected in immersion fixed paraffin-embedded sections of human placenta using Mouse Anti-Human PSG Pan Specific Mono-clonal Antibody (Catalog # MAB6799) at 15 µg/mL overnight at 4 °C. Tissue was stained using the Anti-Mouse HRP-DAB Cell & Tissue Staining Kit (brown; Catalog # CTS002) and counterstained with hematoxylin (blue). Specific staining was localized to cytotrophoblast cells. View our protocol for Chromogenic IHC Staining of Paraffin-embedded Tissue Sections.

Applications for Human PSG Pan Specific Antibody

Application
Recommended Usage

Immunohistochemistry

8-25 µg/mL
Sample: Immersion fixed paraffin-embedded sections of human placenta

Western Blot

1 µg/mL
Sample: Human placenta tissue

Formulation, Preparation, and Storage

Purification

Protein A or G purified from hybridoma culture supernatant

Reconstitution

Sterile PBS to a final concentration of 0.5 mg/mL. For liquid material, refer to CoA for concentration.

Formulation

Lyophilized from a 0.2 μm filtered solution in PBS with Trehalose. *Small pack size (SP) is supplied either lyophilized or as a 0.2 µm filtered solution in PBS.

Shipping

Lyophilized product is shipped at ambient temperature. Liquid small pack size (-SP) is shipped with polar packs. Upon receipt, store immediately at the temperature recommended below.

Stability & Storage

Use a manual defrost freezer and avoid repeated freeze-thaw cycles.
  • 12 months from date of receipt, -20 to -70 °C as supplied.
  • 1 month, 2 to 8 °C under sterile conditions after reconstitution.
  • 6 months, -20 to -70 °C under sterile conditions after reconstitution.

Background: PSG

Pregnancy-specific beta-1-glycoprotein 1 (PSG-1), also called SP1, PSbG1 or B1G1 and designated CD66f, is a 54-72 kDa, 419 amino acid (aa) secreted glycoprotein of the human PSG family within the CEA (carcinoembryonic antigen) superfamily. PSG-1 shares limited aa sequence identity with mouse PSGs, but 84-91% aa sequence identity with human PSG-3, -4, -6, -7, and -8. Potential isoforms of 417-428 aa vary at the extreme C-terminus. PSG-1 is produced by syncytiotrophoblast cells and its concentration increases in maternal plasma as pregnancy progresses. Low plasma PSG-1 in the first or early second trimester has been correlated with fetal growth restriction. Expression of PSGs has also been detected in choriocarcinomas, hydatiform moles, ovarian adenocarcinomas, and breast tumors. During pregnancy, PSG-1 may play role in placental vascular morphogenesis and creation of an anti-inflammatory uterine environment.

Long Name

Pregnancy-specific beta-1-glycoprotein Pan Specific

Alternate Names

pan-PSG

Entrez Gene IDs

5669 (Human)

Gene Symbol

PSG1

UniProt

Product Documents for Human PSG Pan Specific Antibody

Certificate of Analysis

To download a Certificate of Analysis, please enter a lot number in the search box below.

Note: Certificate of Analysis not available for kit components.

Product Specific Notices for Human PSG Pan Specific Antibody

For research use only

Loading...
Loading...
Loading...
Loading...