Skip to main content

Key Product Details

Validated by

Biological Validation

Species Reactivity

Validated:

Human

Cited:

Human, Mouse

Applications

Validated:

Immunohistochemistry, Western Blot, Simple Western

Cited:

Immunohistochemistry-Paraffin, Immunohistochemistry-Frozen, Western Blot

Label

Unconjugated

Antibody Source

Polyclonal Rabbit IgG

Product Specifications

Immunogen

Phosphopeptide containing human Src Y419 site

Specificity

Detects human Src family members when phosphorylated at sites corresponding to Y419 of human Src in Western blots.

Clonality

Polyclonal

Host

Rabbit

Isotype

IgG

Scientific Data Images for Human Phospho-Src (Y419) Antibody

Detection of Human Phospho-Src (Y419) antibody by Western Blot.

Detection of Human Phospho-Src (Y419) by Western Blot.

Western blot shows lysates of MDA-MB-468 human breast cancer cell line and HepG2 human hepatocellular carcinoma cell line untreated (-) or treated (+) with 50 µM pervanadate (PV) for 10 minutes. PVDF membrane was probed with 1 µg/mL of Rabbit Anti-Human Phospho-Src (Y419) Antigen Affinity-purified Polyclonal Antibody (Catalog # AF2685), followed by HRP-conjugated Anti-Rabbit IgG Secondary Antibody (Catalog # HAF008). A specific band was detected for Phospho-Src (Y419) at approximately 56 - 61 kDa (as indicated). This experiment was conducted under reducing conditions and using Immunoblot Buffer Group 1.
Src antibody in Human Colon by Immunohistochemistry (IHC-P).

Src in Human Colon.

Src phosphorylated at Y419 was detected in immersion fixed paraffin-embedded sections of human colon using Rabbit Anti-Human Phospho-Src (Y419) Antigen Affinity-purified Polyclonal Antibody (Catalog # AF2685) at 15 µg/mL overnight at 4 °C. Tissue was stained using the Anti-Rabbit HRP-DAB Cell & Tissue Staining Kit (brown; Catalog # CTS005) and counterstained with hematoxylin (blue). Specific labeling was localized to the cytoplasm of epithelial cells. View our protocol for Chromogenic IHC Staining of Paraffin-embedded Tissue Sections.
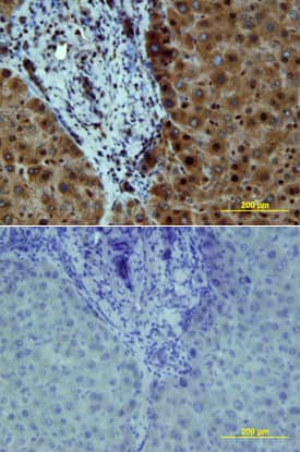
Src antibody in Human Liver Cancer Tissue by Immunohistochemistry (IHC-P).

Src in Human Liver Cancer Tissue.

Src phosphorylated at Y419 was detected in immersion fixed paraffin-embedded sections of human liver cancer tissue using Rabbit Anti-Human Phospho-Src (Y419) Antigen Affinity-purified Polyclonal Antibody (Catalog # AF2685) at 10 µg/mL overnight at 4 °C. Tissue was stained using the Anti-Rabbit HRP-DAB Cell & Tissue Staining Kit (brown; Catalog # CTS005) and counterstained with hematoxylin (blue). Lower panel shows a lack of labeling if primary antibodies are omitted and tissue is stained only with secondary antibody followed by incubation with detection reagents. View our protocol for Chromogenic IHC Staining of Paraffin-embedded Tissue Sections.

Applications for Human Phospho-Src (Y419) Antibody

Application
Recommended Usage

Immunohistochemistry

5-15 µg/mL
Sample: Immersion fixed paraffin-embedded sections of human colon, human liver cancer tissue, and human liver array 

Simple Western

10 µg/mL
Sample: MBA‑MB‑468 human breast cancer cell line treated with Pervanadate (PV)

Western Blot

1 µg/mL
Sample: Pervanadate-treated MDA-MB-468 human breast cancer cell line and HepG2 human hepatocellular carcinoma cell line

Reviewed Applications

Read 1 review rated 4 using AF2685 in the following applications:

Formulation, Preparation, and Storage

Purification

Antigen Affinity-purified

Reconstitution

Reconstitute at 0.2 mg/mL in sterile PBS. For liquid material, refer to CoA for concentration.

Reconstitution Buffer Available:
Size / Price
Qty
Loading...

Formulation

Lyophilized from a 0.2 μm filtered solution in PBS with Trehalose. *Small pack size (SP) is supplied either lyophilized or as a 0.2 µm filtered solution in PBS.

Shipping

Lyophilized product is shipped at ambient temperature. Liquid small pack size (-SP) is shipped with polar packs. Upon receipt, store immediately at the temperature recommended below.

Stability & Storage

Use a manual defrost freezer and avoid repeated freeze-thaw cycles.
  • 12 months from date of receipt, -20 to -70 °C as supplied.
  • 1 month, 2 to 8 °C under sterile conditions after reconstitution.
  • 6 months, -20 to -70 °C under sterile conditions after reconstitution.

Background: Src

Src and other Src family protein tyrosine kinases are proto-oncogenes that play key roles in regulating cell growth and differentiation. Src family activity is regulated by tyrosine phosphorylation at two sites with opposing effects. Phosphorylation at Y419 of human Src up-regulates kinase activity, while phosphorylation at Y530 inactivates Src.

Long Name

v-src Sarcoma [Schmidt-Ruppin A-2] Viral Oncogene Homolog

Alternate Names

ASV, c-Src, RSVgp4

Entrez Gene IDs

6714 (Human); 20779 (Mouse); 83805 (Rat); 1491925 (Viral)

Gene Symbol

SRC

Additional Src Products

Product Documents for Human Phospho-Src (Y419) Antibody

Certificate of Analysis

To download a Certificate of Analysis, please enter a lot number in the search box below.

Note: Certificate of Analysis not available for kit components.

Product Specific Notices for Human Phospho-Src (Y419) Antibody

For research use only

Loading...
Loading...
Loading...
Loading...