Skip to main content

Human Phospho-ErbB2/Her2 (Y1248) Antibody

R&D Systems, part of Bio-Techne | Catalog # AF1768

R&D Systems, part of Bio-Techne
Catalog #
Availability
Size / Price
Qty
Loading...
AF1768
AF1768-SP

Key Product Details

Validated by

Biological Validation

Species Reactivity

Validated:

Human

Cited:

Human, Transgenic Mouse

Applications

Validated:

Immunohistochemistry, Western Blot, Simple Western

Cited:

Western Blot, Reverse Phase Protein Array, Westen Blot

Label

Unconjugated

Antibody Source

Polyclonal Rabbit IgG

Product Specifications

Immunogen

Phosphopeptide containing human ErbB2 Y1248 site

Specificity

Detects human ErbB2 when phosphorylated at Y1248.

Clonality

Polyclonal

Host

Rabbit

Isotype

IgG

Scientific Data Images for Human Phospho-ErbB2/Her2 (Y1248) Antibody

Detection of Human Phospho-ErbB2/Her2 (Y1248) antibody by Western Blot.

Detection of Human Phospho-ErbB2/Her2 (Y1248) by Western Blot.

Western blot shows lysates of MDA-MB-468 human breast cancer cell line and A431 human epithelial carcinoma cell line untreated (-) or treated (+) with 1 mM Pervanadate (PV) for 10 minutes or with 10 ng/mL Recombinant Human EGF (Catalog # 236-EG) for 5 minutes. PVDF membrane was probed with 0.25 µg/mL of Rabbit Anti-Human Phospho-ErbB2/Her2 (Y1248) Antigen Affinity-purified Polyclonal Antibody (Catalog # AF1768) followed by HRP-conjugated Anti-Rabbit IgG Secondary Antibody (Catalog # HAF008). A specific band was detected for Phospho-ErbB2/Her2 (Y1248) at approximately 170 kDa (as indicated). This experiment was conducted under reducing conditions and using Immunoblot Buffer Group 1.
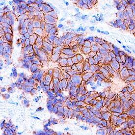
ErbB2/Her2 antibody in Human Breast Cancer Tissue by Immunohistochemistry (IHC-P).

ErbB2/Her2 in Human Breast Cancer Tissue.

ErbB2/Her2 was detected in immersion fixed paraffin-embedded sections of human breast cancer tissue using Rabbit Anti-Human Phospho-ErbB2/Her2 (Y1248) Antigen Affinity-purified Polyclonal Antibody (Catalog # AF1768) at 0.3 µg/mL for 1 hour at room temperature followed by incubation with the Anti-Rabbit IgG VisUCyte™ HRP Polymer Antibody (VC003). Before incubation with the primary antibody, tissue was subjected to heat-induced epitope retrieval using Antigen Retrieval Reagent-Basic (VCTS021). Tissue was stained using DAB (brown) and counterstained with hematoxylin (blue). Specific staining was localized to plasma membrane. View our protocol for IHC Staining with VisUCyte HRP Polymer Detection Reagents.
Detection of Human Phospho-ErbB2/Her2 (Y1248) antibody by Simple WesternTM.

Detection of Human Phospho-ErbB2/Her2 (Y1248) by Simple WesternTM.

Simple Western lane view shows lysates of A431 human epithelial carcinoma cell line untreated (-) or treated (+) with 10 ng/mL Recombinant Human EGF (Catalog # 236-EG) for 5 minutes, loaded at 0.2 mg/mL. A specific band was detected for Phospho-ErbB2/Her2 (Y1248) at approximately 265 kDa (as indicated) using 5 µg/mL of Rabbit Anti-Human Phospho-ErbB2/Her2 (Y1248) Antigen Affinity-purified Polyclonal Antibody (Catalog # AF1768). This experiment was conducted under reducing conditions and using the 66-440 kDa separation system.

Applications for Human Phospho-ErbB2/Her2 (Y1248) Antibody

Application
Recommended Usage

Immunohistochemistry

0.3-15 µg/mL
Sample: Immersion fixed paraffin-embedded sections of human breast cancer tissue

Simple Western

5 µg/mL
Sample: A431 human epithelial carcinoma cell line treated with Recombinant Human EGF (Catalog # 236-EG)

Western Blot

0.25 µg/mL
Sample: MDA‑MB‑468 human breast cancer cell line treated with Pervanadate (PV) and A431 human epithelial carcinoma cell line treated  with Recombinant Human EGF (Catalog # 236-EG)

Formulation, Preparation, and Storage

Purification

Antigen Affinity-purified

Reconstitution

Reconstitute at 0.2 mg/mL in sterile PBS. For liquid material, refer to CoA for concentration.

Reconstitution Buffer Available:
Size / Price
Qty
Loading...

Formulation

Lyophilized from a 0.2 μm filtered solution in PBS with Trehalose. *Small pack size (SP) is supplied either lyophilized or as a 0.2 µm filtered solution in PBS.

Shipping

Lyophilized product is shipped at ambient temperature. Liquid small pack size (-SP) is shipped with polar packs. Upon receipt, store immediately at the temperature recommended below.

Stability & Storage

Use a manual defrost freezer and avoid repeated freeze-thaw cycles.
  • 12 months from date of receipt, -20 to -70 °C as supplied.
  • 1 month, 2 to 8 °C under sterile conditions after reconstitution.
  • 6 months, -20 to -70 °C under sterile conditions after reconstitution.

Background: ErbB2/Her2

ErbB2, also called Neu and Her2 (human epidermal growth factor receptor 2), is a type I membrane glycoprotein that is a member of the ErbB family of tyrosine kinase receptors. ErbB family members serve as receptors for the epidermal growth factor (EGF) family of growth factors. ErbB2 is widely expressed in epithelial cells and has also been found to be over-expressed in a large number of breast carcinomas. Among ErbB family members, ErbB2 is unique in that it has no identified ligands. Rather, ErbB2 heterodimerizes with the other members of the ErbB family (ErbB1 (EGFR), ErbB3, ErbB4) to form higher affinity signaling complexes. Because ErbB3 contains a defective kinase domain, the kinase domain of ErbB2 is responsible for initiating the tyrosine phosphorylation signal through the heterodimeric receptor. It has been found that a discrete three amino acid signal in the ErbB3 cytoplasmic domain is critical for transactivation of ErbB2. Interestingly, this same three amino acid signal has also been found in ErbB1 and ErbB4. Phosphoinositide 3-kinase has been shown to play a role in ErbB2 signal transduction. The cytoplasmic domain of ErbB2 has been shown to associate with beta-catenin and plakoglobin. Human ErbB2 consists of 1255 amino acids (aa) with a 21 aa signal sequence, a 631 aa extracellular domain, a 23 aa transmembrane region, and a 580 aa cytoplasmic domain. ErbB2 can be shed from the cell surface by proteolytic cleavage by an unidentified protease. ErbB2 appears to play roles in development, cancer, communication at the neuromuscular junction and regulation of cell growth and differentiation (1-10).

References

  1. Coussens, L. et. al. (1985) Science 230:1132.
  2. Yamamoto, T. et. al. (1986) Nature 319:230.
  3. Kanai, Y. et. al. (1995) Biochem. Biophys. Res. Commun. 208:1067.
  4. Codony-Servat, J. et. al. (1999) Cancer Res. 59:1196.
  5. Carraway, K.L. 3rd et. al.  (1994) J. Biol. Chem. 269:14303.
  6. Emkey, R. and C.R. Kahn (1997) J. Biol. Chem. 272:31172.
  7. Schaefer, G. et. al. (1999) J. Biol. Chem. 274:859.
  8. Schlessinger, J. (2000) Cell 103:211.
  9. Hellyer, N.J. et. al. (2001) J. Biol. Chem. 276:42153.
  10. Daly, R.J. (1999) Growth Factors 16:255.

Long Name

Receptor Tyrosine Protein Kinase ErbB2

Alternate Names

CD340, HER2, Neu Oncogene, NGL, TKR1

Entrez Gene IDs

2064 (Human); 13866 (Mouse); 24337 (Rat); 102146608 (Cynomolgus Monkey)

Gene Symbol

ERBB2

Additional ErbB2/Her2 Products

Product Documents for Human Phospho-ErbB2/Her2 (Y1248) Antibody

Certificate of Analysis

To download a Certificate of Analysis, please enter a lot number in the search box below.

Note: Certificate of Analysis not available for kit components.

Product Specific Notices for Human Phospho-ErbB2/Her2 (Y1248) Antibody

For research use only

Loading...
Loading...
Loading...
Loading...