Skip to main content

Human Phospho-EGFR (Y1173) Antibody

R&D Systems, part of Bio-Techne | Catalog # AF1095

Catalog #
Availability
Size / Price
Qty
Loading...
AF1095
AF1095-SP

Key Product Details

Validated by

Biological Validation

Species Reactivity

Validated:

Human

Cited:

Human, Mouse

Applications

Validated:

Immunohistochemistry, Western Blot, Intracellular Staining by Flow Cytometry, Immunocytochemistry, Simple Western, CyTOF-ready

Cited:

Immunohistochemistry, Immunohistochemistry-Paraffin, Western Blot, Flow Cytometry, Immunocytochemistry, Simple Western, Immunoprecipitation

Label

Unconjugated

Antibody Source

Polyclonal Rabbit IgG

Product Specifications

Immunogen

Phosphopeptide containing human EGFR Y1173 site

Specificity

Detects human EGFR when phosphorylated at Y1173 in Western blots.

Clonality

Polyclonal

Host

Rabbit

Isotype

IgG

Scientific Data Images for Human Phospho-EGFR (Y1173) Antibody

Detection of Human Phospho-EGFR (Y1173) antibody by Western Blot.

Detection of Human Phospho-EGFR (Y1173) by Western Blot.

Western blot shows lysates of A431 human epithelial carcinoma cell line untreated (-) or treated (+) with 100 µM pervanadate (PV) for 10 minutes. PVDF membrane was probed with 0.2 µg/mL of Rabbit Anti-Human Phospho-EGFR (Y1173) Antigen Affinity-purified Polyclonal Antibody, followed by HRP-conjugated Anti-Rabbit IgG Secondary Antibody (Catalog # HAF008). A specific band was detected for Phospho-EGFR (Y1173) at approximately 185 kDa (as indicated). This experiment was conducted under reducing conditions and using Immunoblot Buffer Group 1.
Phospho-EGFR (Y1173) antibody in A431 Human Cell Line by Immunocytochemistry (ICC).

Phospho-EGFR (Y1173) in A431 Human Cell Line.

EGFR phosphorylated at Y1173 was detected in immersion fixed A431 human epithelial carcinoma cell line untreated (lower panel) or treated (upper panel) with pervanadate using Rabbit Anti-Human Phospho-EGFR (Y1173) Antigen Affinity-purified Polyclonal Antibody (Catalog # AF1095) at 10 µg/mL for 3 hours at room temperature. Cells were stained using the NorthernLights™ 557-conjugated Anti-Rabbit IgG Secondary Antibody (red; Catalog # NL004) and counterstained with DAPI (blue). View our protocol for Fluorescent ICC Staining of Cells on Coverslips.
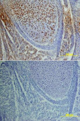
Phospho-EGFR (Y1173) antibody in Mouse Embryo by Immunohistochemistry (IHC-Fr).

Phospho-EGFR (Y1173) in Mouse Embryo.

EGFR phosphorylated at Y1173 was detected in immersion fixed frozen sections of mouse embryo using Rabbit Anti-Human Phospho-EGFR (Y1173) Antigen Affinity-purified Polyclonal Antibody (Catalog # AF1095) at 15 µg/mL overnight at 4 °C. Tissue was stained using the Anti-Rabbit HRP-DAB Cell & Tissue Staining Kit (brown; Catalog # CTS005) and counterstained with hematoxylin (blue). Lower panel shows a lack of labeling if primary antibodies are omitted and tissue is stained only with secondary antibody followed by incubation with detection reagents. View our protocol for Chromogenic IHC Staining of Frozen Tissue Sections.

Applications for Human Phospho-EGFR (Y1173) Antibody

Application
Recommended Usage

CyTOF-ready

Ready to be labeled using established conjugation methods. No BSA or other carrier proteins that could interfere with conjugation.

Immunocytochemistry

5-15 µg/mL
Sample: Immersion fixed A431 human epithelial carcinoma cell line treated with pervanadate

Immunohistochemistry

0.5-15 µg/mL
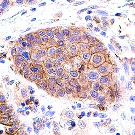
Sample: Immersion fixed frozen sections of mouse embryo (E13.5-15.5) and human lung cancer

Intracellular Staining by Flow Cytometry

2.5 µg/106 cells
Sample: A431 human epithelial carcinoma cell line treated with Recombinant Human EGF (Catalog # 236-EG), fixed with paraformaldehyde, and permeabilized with saponin

Simple Western

2 µg/mL
Sample: A431 human epithelial carcinoma cell line treated with Recombinant Human EGF (Catalog # 236-EG)

Western Blot

0.2 µg/mL
Sample: Pervanadate-treated A431 human epithelial carcinoma cell line

Formulation, Preparation, and Storage

Purification

Antigen Affinity-purified

Reconstitution

Reconstitute at 0.2 mg/mL in sterile PBS. For liquid material, refer to CoA for concentration.

Reconstitution Buffer Available:
Size / Price
Qty
Loading...

Formulation

Lyophilized from a 0.2 μm filtered solution in PBS with Trehalose. *Small pack size (SP) is supplied either lyophilized or as a 0.2 µm filtered solution in PBS.

Shipping

Lyophilized product is shipped at ambient temperature. Liquid small pack size (-SP) is shipped with polar packs. Upon receipt, store immediately at the temperature recommended below.

Stability & Storage

Use a manual defrost freezer and avoid repeated freeze-thaw cycles.
  • 12 months from date of receipt, -20 to -70 °C as supplied.
  • 1 month, 2 to 8 °C under sterile conditions after reconstitution.
  • 6 months, -20 to -70 °C under sterile conditions after reconstitution.

Background: EGFR

Epidermal growth factor receptor (EGFR, also known as ErbB1 and HER1) is the founding member of the ErbB family of receptor tyrosine kinases. Ligand binding induces receptor dimerization and autophosphorylation on multiple tyrosine residues. Phosphorylation of Y1173 creates a binding site for the protein tyrosine phosphatase SHP-1, leading to attenuation of receptor signaling.

Long Name

Epidermal Growth Factor Receptor

Alternate Names

EGF R, ErbB, ErbB1, HER-1

Entrez Gene IDs

1956 (Human); 13649 (Mouse); 24329 (Rat); 102138724 (Cynomolgus Monkey)

Gene Symbol

EGFR

Additional EGFR Products

Product Documents for Human Phospho-EGFR (Y1173) Antibody

Certificate of Analysis

To download a Certificate of Analysis, please enter a lot number in the search box below.

Note: Certificate of Analysis not available for kit components.

Product Specific Notices for Human Phospho-EGFR (Y1173) Antibody

For research use only

Loading...
Loading...
Loading...
Loading...
Loading...
Loading...