Skip to main content

Human PDGF-AA Antibody

R&D Systems, part of Bio-Techne | Catalog # AB-221-NA

R&D Systems, part of Bio-Techne
Catalog #
Availability
Size / Price
Qty
Loading...
AB-221-NA

Key Product Details

Species Reactivity

Validated:

Human

Cited:

Human

Applications

Validated:

Immunohistochemistry, Western Blot, Neutralization

Cited:

Neutralization

Label

Unconjugated

Antibody Source

Polyclonal Goat IgG

Product Specifications

Immunogen

E. coli-derived recombinant human PDGF-AA
Ser87-Thr211
Accession # P04085

Specificity

Detects human PDGF‑AA in direct ELISAs and Western blots. Neutralizes the biological activity of human PDGF-AA and will also neutralize the biological activity of recombinant human PDGF-AB, although 2‑3 times the amount of IgG is required. It will not neutralize the biological activity of natural human PDGF-AB, porcine PDGF-BB, or rhPDGF-BB.

Clonality

Polyclonal

Host

Goat

Isotype

IgG

Endotoxin Level

<0.10 EU per 1 μg of the antibody by the LAL method.

Scientific Data Images for Human PDGF-AA Antibody

Cell Proliferation Induced by PDGF‑AA and Neutralization by Human PDGF‑AA Antibody.

Cell Proliferation Induced by PDGF‑AA and Neutralization by Human PDGF‑AA Antibody.

Recombinant Human PDGF-AA (221-AA) stimulates proliferation in the NR6R-3T3 mouse fibroblast cell line in a dose-dependent manner (orange line). Proliferation elicited by Recombinant Human PDGF-AA (25 ng/mL) is neutralized (green line) by increasing concentrations of Goat Anti-Human PDGF-AA Polyclonal Antibody (Catalog # AB-221-NA). The ND50 is typically 5-10 µg/mL.

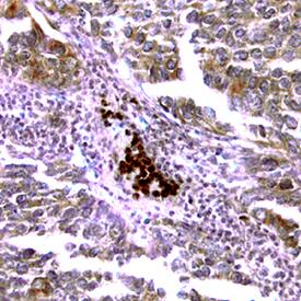
Detection of PDGF-AA in Breast Cancer.

PDGF-AA was detected in immersion fixed paraffin-embedded sections of Breast Cancer using Goat Anti-Human PDGF-AA Polyclonal Antibody (Catalog # AB-221-NA) at 15 µg/mL for 1 hour at room temperature followed by incubation with the Anti-Goat IgG VisUCyte™ HRP Polymer Antibody (Catalog # VC004). Before incubation with the primary antibody, tissue was subjected to heat-induced epitope retrieval using VisUCyte Antigen Retrieval Reagent-Basic (Catalog # VCTS021). Tissue was stained using DAB (brown) and counterstained with hematoxylin (blue). Specific staining was localized to cytoplasm in cancer cells. View our protocol for IHC Staining with VisUCyte HRP Polymer Detection Reagents.

Applications for Human PDGF-AA Antibody

Application
Recommended Usage

Immunohistochemistry

5-15 µg/mL
Sample: Immersion fixed paraffin-embedded sections of human breast cancer tissue

Western Blot

1 µg/mL
Sample: Recombinant Human PDGF-AA (Catalog # 221-AA)

Neutralization

Measured by its ability to neutralize PDGF-AA-induced proliferation in the NR6R-3T3 mouse fibroblast cell line. Raines, E. W. et al. (1985) Methods Enzymol. 109:749. The Neutralization Dose (ND50) is typically 5-10 µg/mL in the presence of 25 ng/mL Recombinant Human PDGF-AA.

Formulation, Preparation, and Storage

Purification

Protein A or G purified

Reconstitution

Reconstitute at 1 mg/mL in sterile PBS.

Reconstitution Buffer Available:
Size / Price
Qty
Loading...

Formulation

Lyophilized from a 0.2 μm filtered solution in PBS with Trehalose.

Shipping

The product is shipped at ambient temperature. Upon receipt, store it immediately at the temperature recommended below.

Stability & Storage

Use a manual defrost freezer and avoid repeated freeze-thaw cycles.
  • 12 months from date of receipt, -20 to -70 °C as supplied.
  • 1 month, 2 to 8 °C under sterile conditions after reconstitution.
  • 6 months, -20 to -70 °C under sterile conditions after reconstitution.

Background: PDGF-AA

Platelet-derived growth factor (PDGF) was discovered as a major mitogenic factor present in serum but absent from plasma. It was found to be secreted from the alpha‑granules of platelets activated during the coagulation of blood to form serum. Subsequent studies have demonstrated that PDGF is not one molecule but three, each a dimeric combination of two distinct but structurally related peptide chains designated A and B. The dimeric isoforms PDGF-AA, AB and BB are differentially expressed in various cell types and their effects are mediated through two distinct receptors, termed alpha and beta. Differences exist in isoform binding to each receptor. In general, PDGF isoforms are potent mitogens for connective tissue cells, including dermal fibroblasts, glial cells, arterial smooth muscle cells and some epithelial and endothelial cells. In addition to its activity as a mitogen, PDGF is chemotactic for fibroblasts, smooth muscle cells, neutrophils and mononuclear cells. Other reported activities for PDGF include stimulation of granule release by neutrophils and monocytes, facilitation of steroid synthesis by Leydig cells, stimulation of neutrophil phagocytosis, inhibition of natural killer (NK) cell activity, stimulation of collagen synthesis, modulation of thrombospondin expression and secretion, stimulation of collagenase activity and secretion, induction of contraction of rat aorta strips in vitro, and transient induction of T cell IL-2 secretion accompanied by a down-regulation of IL-4 and IFN-gamma production, temporary effects that may allow clonal expansion of antigen-activated B and T helper lymphocytes prior to differentiation. PDGF also appears to be ubiquitous in neurons throughout the CNS, where it is suggested to play an important role in neuron survival and regeneration, and in mediation of glial cell proliferation and differentiation.

Long Name

Platelet-derived Growth Factor AA

Alternate Names

PDGFAA

Entrez Gene IDs

5154 (Human); 25266 (Rat)

Gene Symbol

PDGFA

UniProt

Additional PDGF-AA Products

Product Documents for Human PDGF-AA Antibody

Certificate of Analysis

To download a Certificate of Analysis, please enter a lot number in the search box below.

Note: Certificate of Analysis not available for kit components.

Product Specific Notices for Human PDGF-AA Antibody

For research use only

Loading...
Loading...
Loading...
Loading...