Skip to main content

Key Product Details

Species Reactivity

Human

Applications

Immunohistochemistry, Western Blot, Simple Western

Label

Unconjugated

Antibody Source

Monoclonal Mouse IgG Clone # 1088319

Product Specifications

Immunogen

Synthetic Peptide
Accession # O60313

Specificity

Detects a synthetic peptide specific for human OPA1 around amino acid 200 in Direct ELISA.

Clonality

Monoclonal

Host

Mouse

Isotype

IgG

Scientific Data Images for Human OPA1 Antibody

Detection of Human OPA1 by Western Blot.

Western Blot shows lysates of MCF-7 human breast cancer cell line and MDA-MB-231 human breast cancer cell line. PVDF membrane was probed with 2 µg/ml of Mouse Anti-Human OPA1 Monoclonal Antibody (Catalog # MAB11631) followed by HRP-conjugated Anti-Mouse IgG Secondary Antibody (Catalog # HAF018). Specific bands were detected for OPA1 at approximately 80 and 100 kDa (as indicated). This experiment was conducted under reducing conditions and using Western Blot Buffer Group 1.

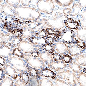
Detection of OPA1 in Human Kidney.

OPA1 was detected in immersion fixed paraffin-embedded sections of human kidney using Mouse Anti-Human OPA1 Monoclonal Antibody (Catalog # MAB11631) at 5 µg/ml for 1 hour at room temperature followed by incubation with the Anti-Mouse IgG VisUCyte™ HRP Polymer Antibody (Catalog # VC001). Before incubation with the primary antibody, tissue was subjected to heat-induced epitope retrieval using VisUCyte Antigen Retrieval Reagent-Basic (Catalog # VCTS021). Tissue was stained using DAB (brown) and counterstained with hematoxylin (blue). Specific staining was localized to the mitochondrial membrane. View our protocol for IHC Staining with VisUCyte HRP Polymer Detection Reagents.

Detection of Human OPA1 by Simple WesternTM.

Simple Western shows lysates of MDA-MB-231 human breast cancer cell line, loaded at 0.5 mg/ml. A specific band was detected for OPA1 at approximately 90 kDa (as indicated) using 100 µg/mL of Mouse Anti-Human OPA1 Monoclonal Antibody (Catalog # MAB11631). This experiment was conducted under reducing conditions and using the 12-230 kDa separation system.

Applications for Human OPA1 Antibody

Application
Recommended Usage

Immunohistochemistry

3-25 µg/mL
Sample: Immersion fixed paraffin-embedded sections of human kidney

Simple Western

100 µg/mL
Sample: MDA-MB-231 human breast cancer cell line

Western Blot

2 µg/mL
Sample: MCF-7 human breast cancer cell line and MDA-MB-231 human breast cancer cell line

Formulation, Preparation, and Storage

Purification

Protein A or G purified from cell culture supernatant

Reconstitution

Reconstitute lyophilized material at 0.2 mg/ml in sterile PBS. For liquid material, refer to CoA for concentration.

Reconstitution Buffer Available:
Size / Price
Qty
Loading...

Formulation

Lyophilized from a 0.2 μm filtered solution in PBS with Trehalose.

Shipping

Lyophilized product is shipped at ambient temperature. Liquid small pack size (-SP) is shipped with polar packs. Upon receipt, store immediately at the temperature recommended below.

Stability & Storage

Use a manual defrost freezer and avoid repeated freeze-thaw cycles.
  • 12 months from date of receipt, -20 to -70 °C as supplied.
  • 1 month, 2 to 8 °C under sterile conditions after reconstitution.
  • 6 months, -20 to -70 °C under sterile conditions after reconstitution.

Background: OPA1

Optic Atrophy-1 (OPA1), aka Dynamin-like 120 kDa protein, mitochondrial, is a Dynamin-related GTPase required for mitochondrial fusion and regulation of apoptosis. OPA1 exists as a single-pass membrane protein in the mitochondrion inner membrane as well as in soluble forms in mitochondrion intermembrane space, and is expressed in retina, brain, testis, heart, skeletal muscles. Human OPA1 binds PARL and interacts with CHCHD3 as well as IMMT (preferentially with soluble OPA1 forms). Proteolytic processing in response to intrinsic apoptotic signals may lead to disassembly of OPA1 oligomers and release of the caspase activator cytochrome C (CYCS) into mitochondrial intermembrane space. OPA1 protein form S1 is an inactive form produced by cleavage at S1 position by metalloendopeptidase OMA1 following stress conditions that induce loss of mitochondrial membrane potential, leading to negative regulation of mitochondrial fusion. Defects in OPA1 have been linked to optic atrophy type 1 (OPA1) and dominant optic atrophy plus syndrome (DOA+).

Long Name

Optic Atrophy Protein 1

Alternate Names

BERHS, EC 3.6.5.5, LargeG, lilr3, MGM1, MTDPS14, NPG, NTG

Entrez Gene IDs

4976 (Human); 74143 (Mouse); 171116 (Rat)

Gene Symbol

OPA1

UniProt

Additional OPA1 Products

Product Documents for Human OPA1 Antibody

Certificate of Analysis

To download a Certificate of Analysis, please enter a lot number in the search box below.

Note: Certificate of Analysis not available for kit components.

Product Specific Notices for Human OPA1 Antibody

For research use only

Loading...
Loading...
Loading...
Loading...